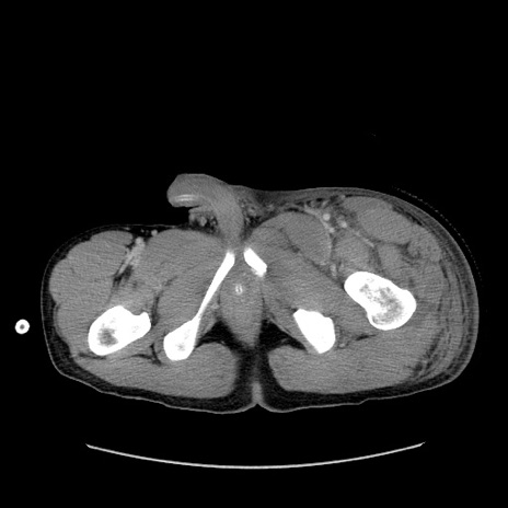
症例40 骨盤CT(横断像)

 

症例

【症例】20歳代男性
【主訴】骨盤骨折
【現病歴】3日前にスノーボード中に木に衝突して受傷。遠方であり、当院紹介受診。

異常所見と診断は?

骨盤レントゲン(他院)
正面像

骨盤CT(他院)
横断像
冠状断像
3D再構成

骨盤CT
冠状断像
3D再構成