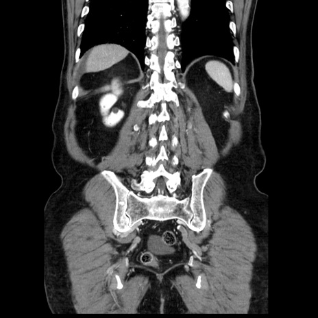
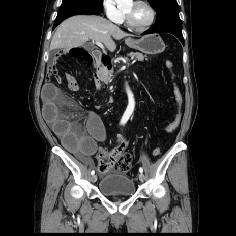
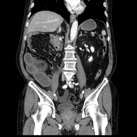
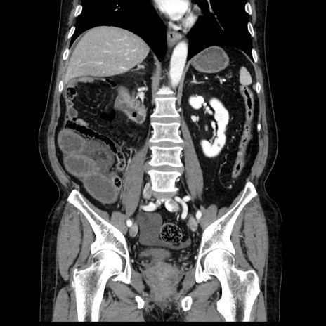
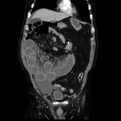
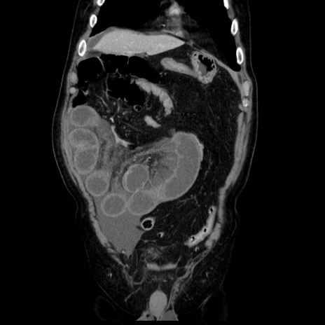
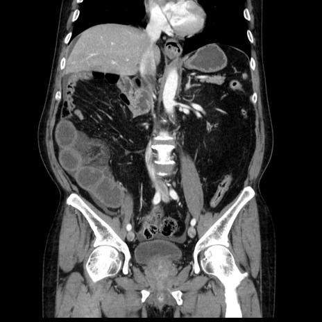
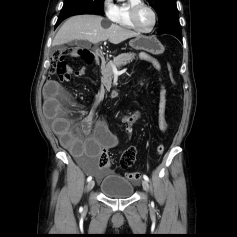
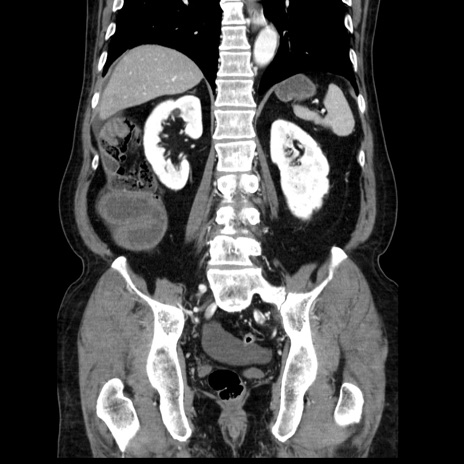
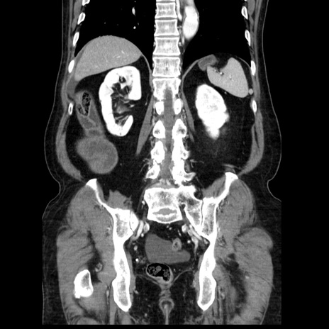
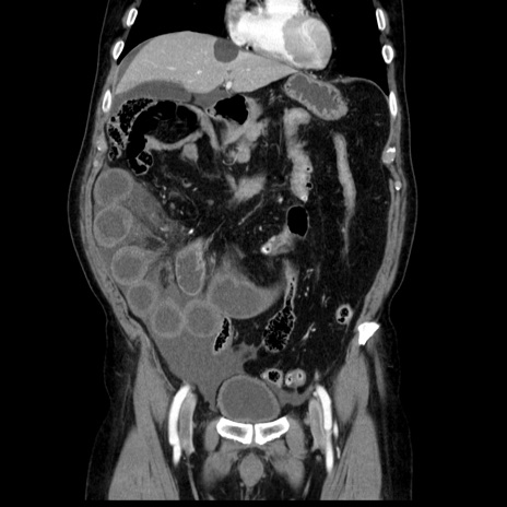
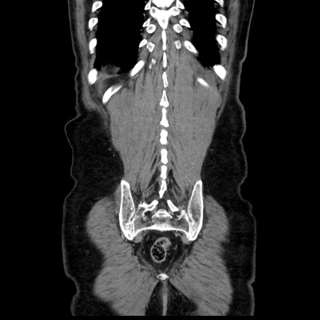
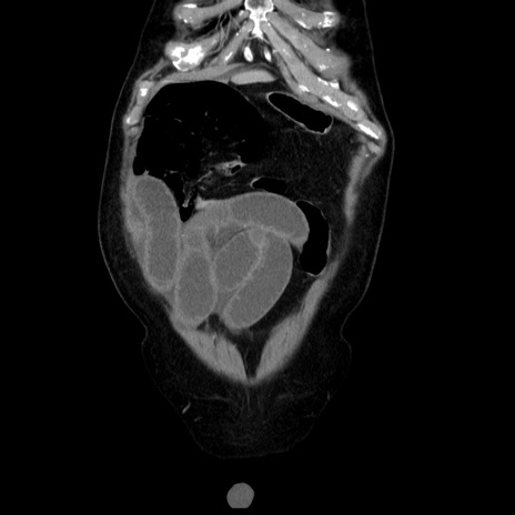
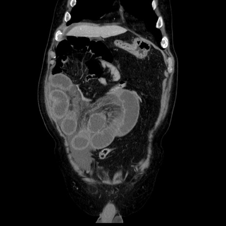
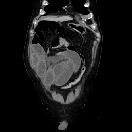
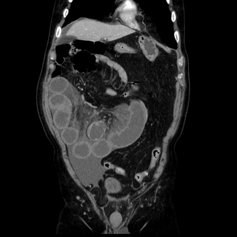
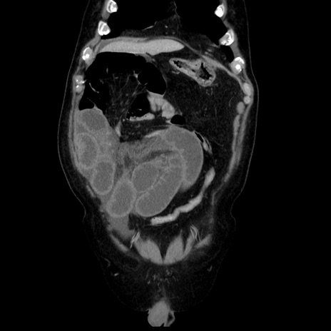
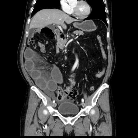
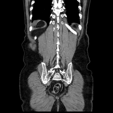
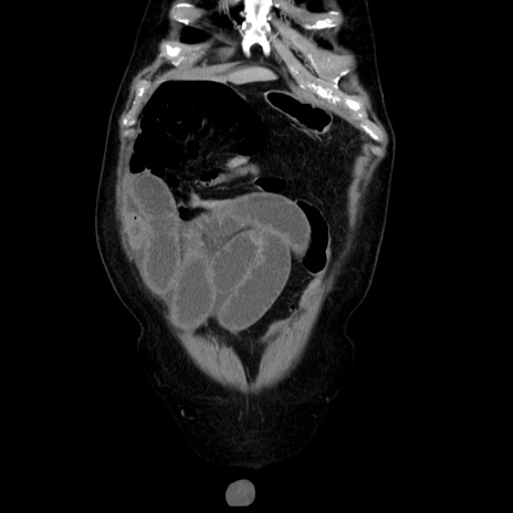
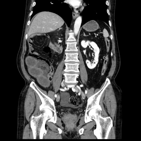
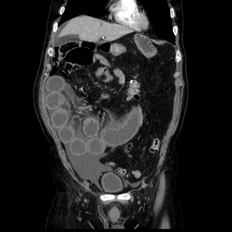
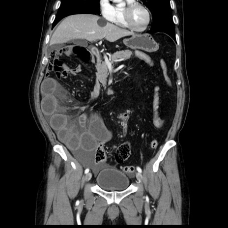
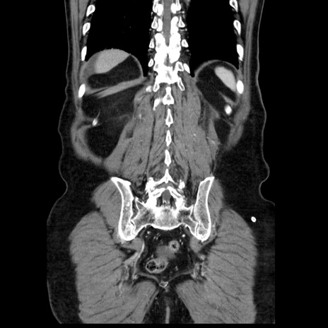
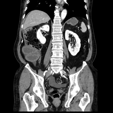
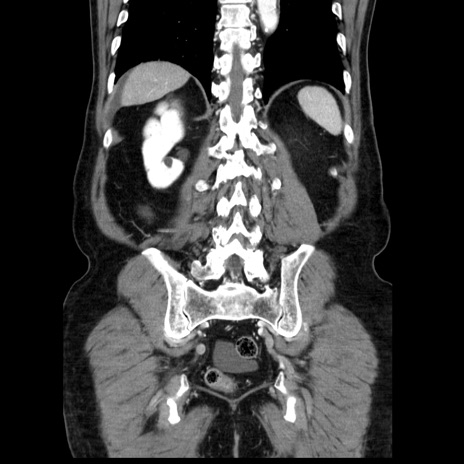
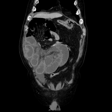
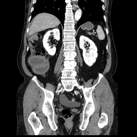
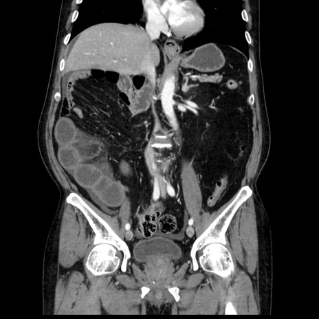
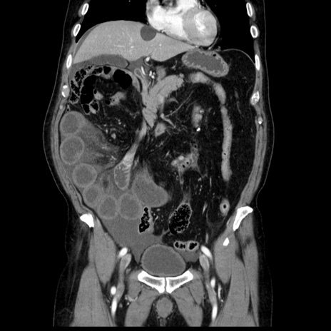
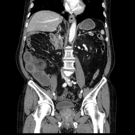
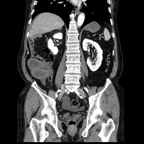
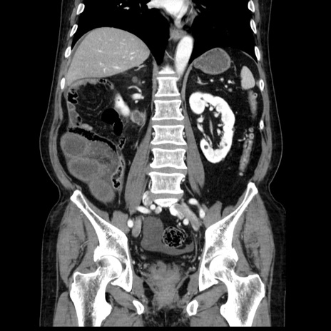
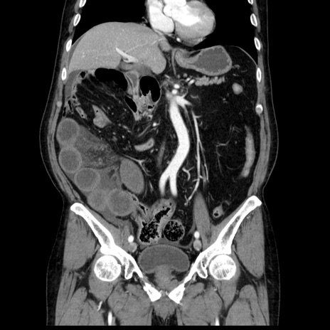
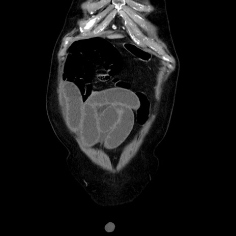
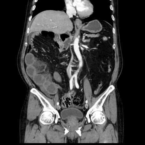
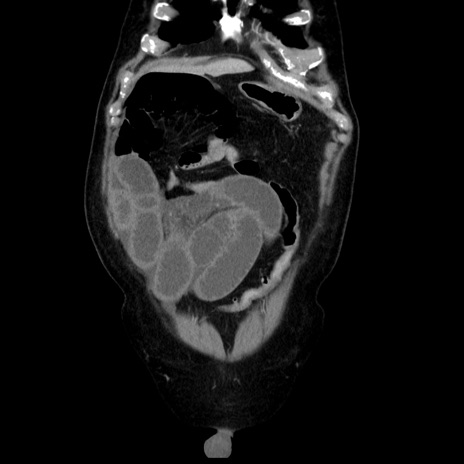
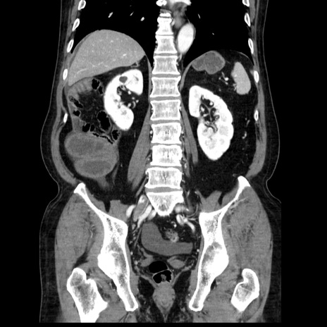
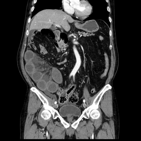
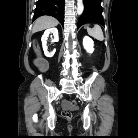
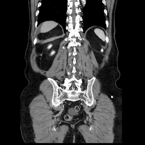
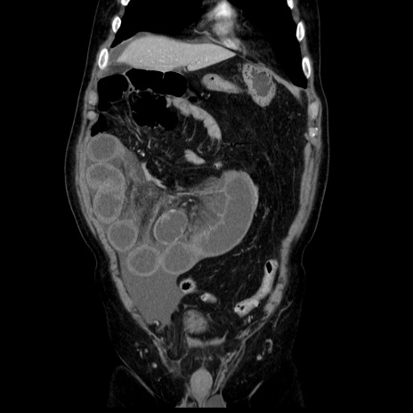
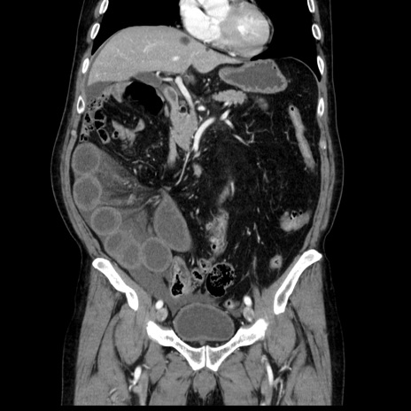
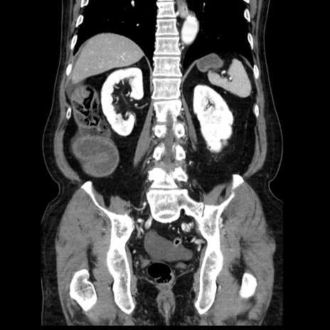
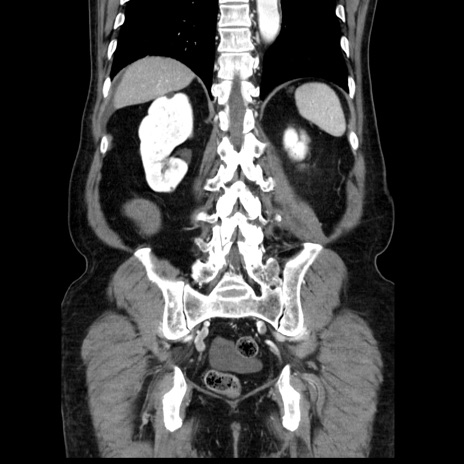
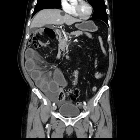
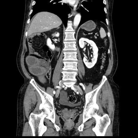
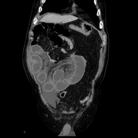
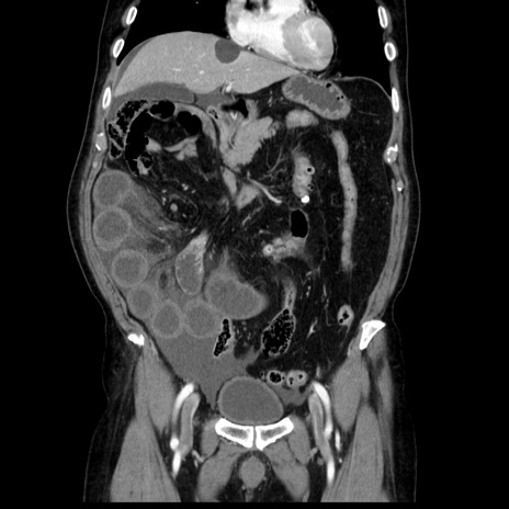
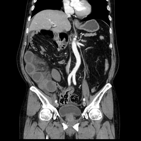
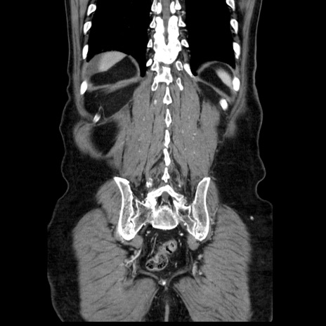
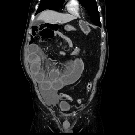
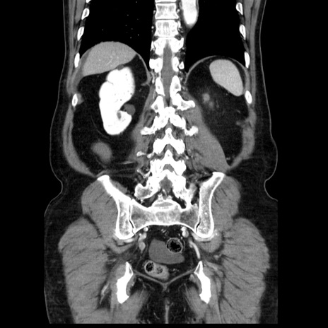
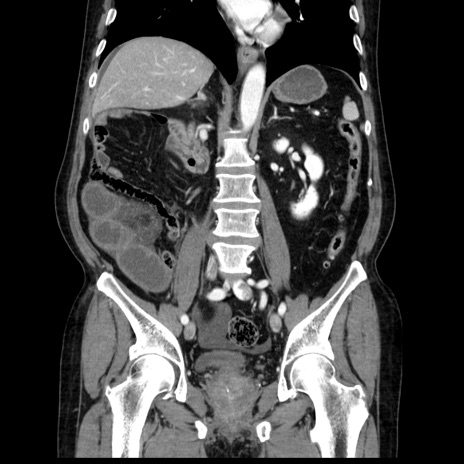
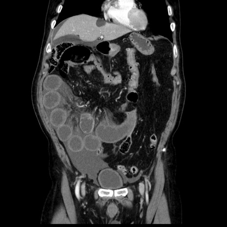
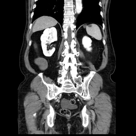
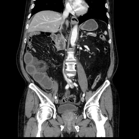
症例30(冠状断像)

 

症例

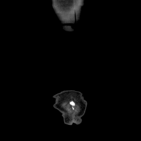
【症例】80歳代男性
【主訴】臍周囲痛

【現病歴】約6時間前から臍下部痛が出現。次第に腹部膨隆・背部痛も生じてきたため来院。背部痛の場所は変化しない。
【既往歴】腎盂腎炎
【身体所見】意識清明、BT 36.3℃、BP  131/87mmHg、P 87bpm、SpO2 100%(RA)、臍周囲自発痛・圧痛あり、反跳痛なし、自発痛部位に一致して板状硬あり、腹部膨隆、腸雑音減弱、CVA tenderness両側陰性。
【データ】WBC 19600、CRP 0.33

横断像