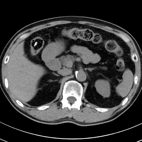
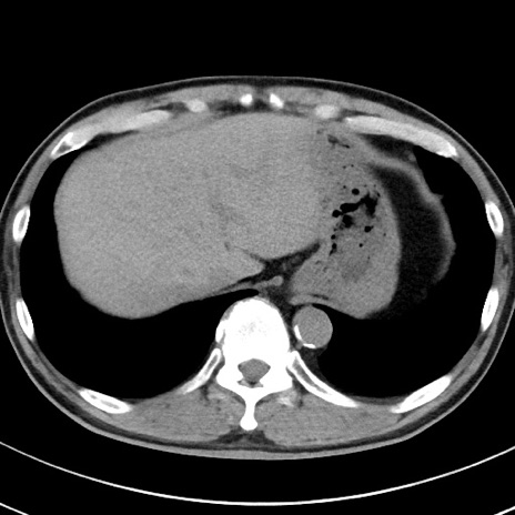
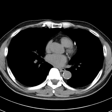
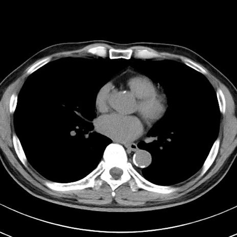
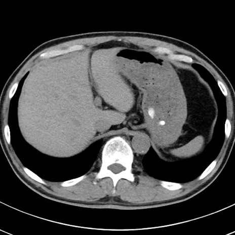
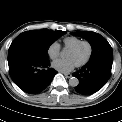
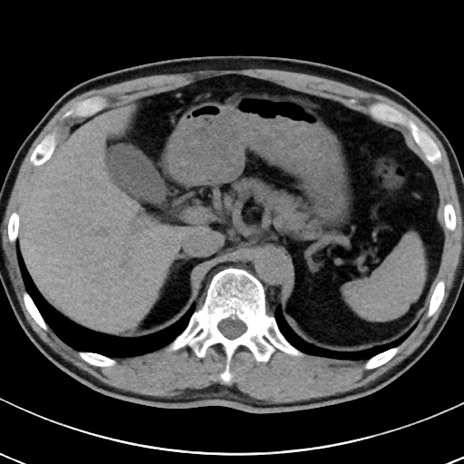
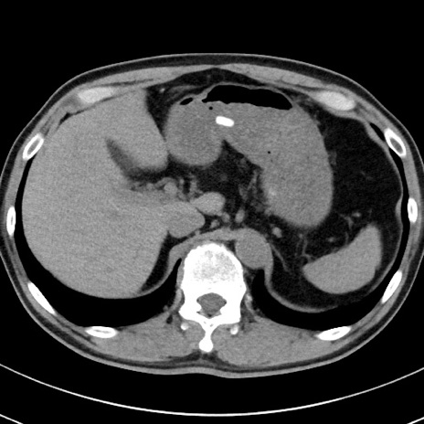
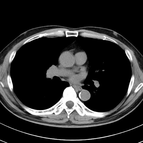
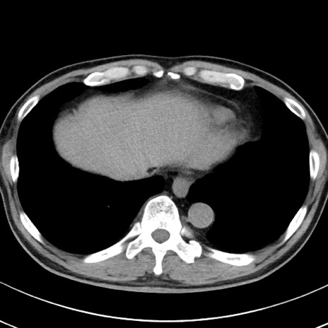
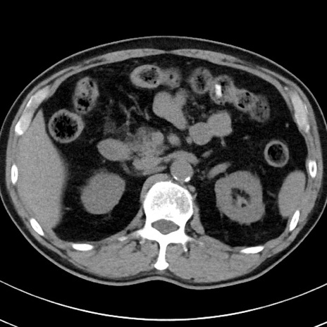
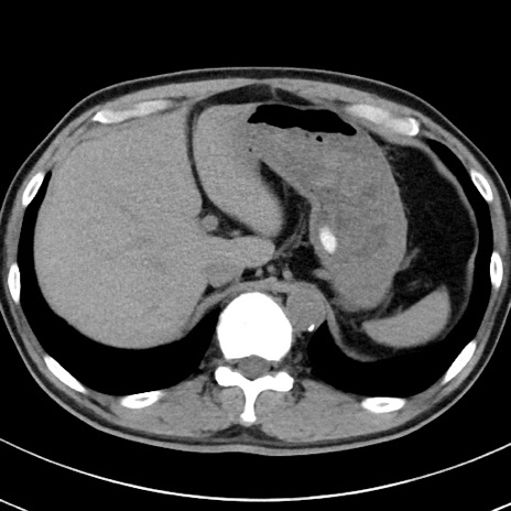
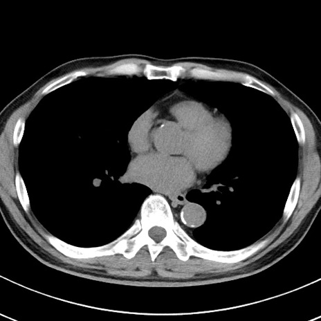
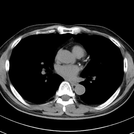
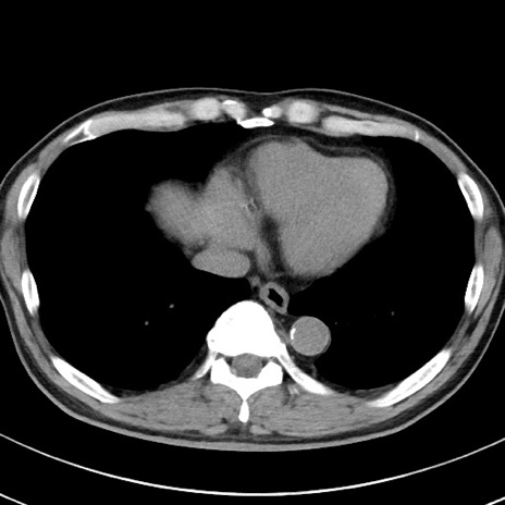
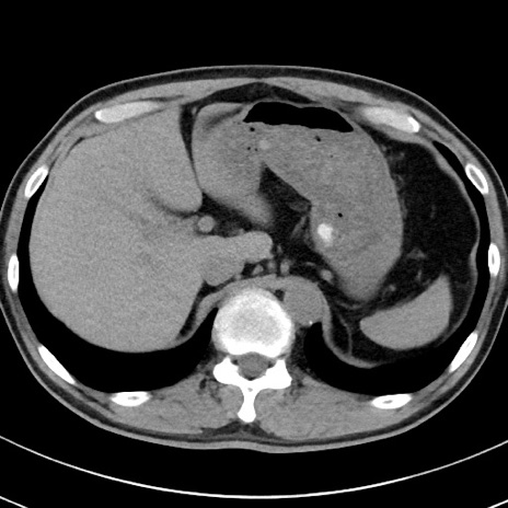
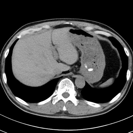
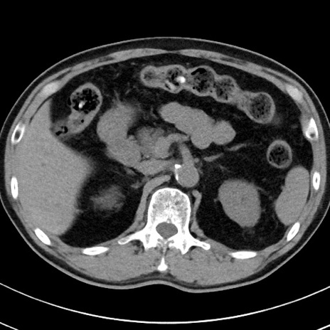
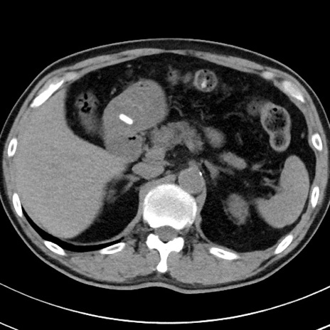
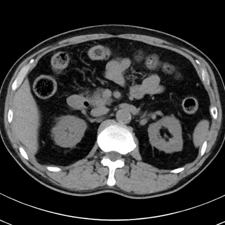
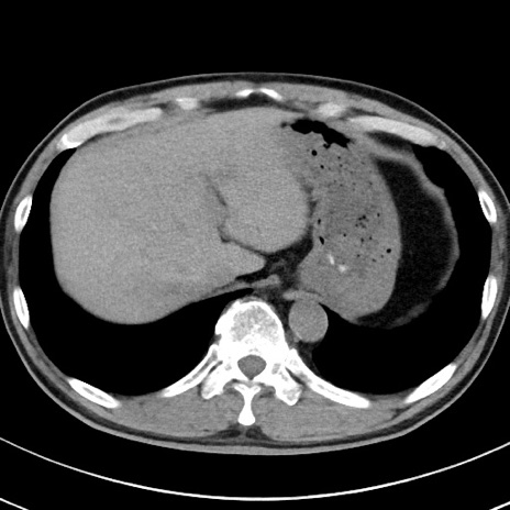
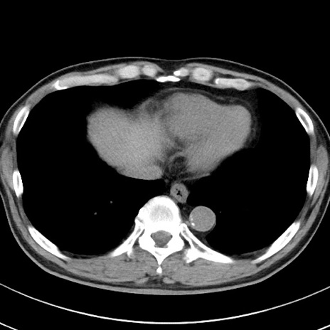
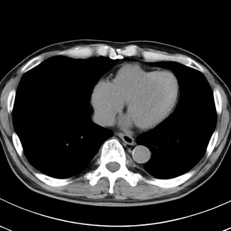
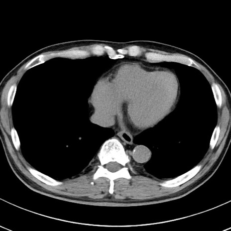
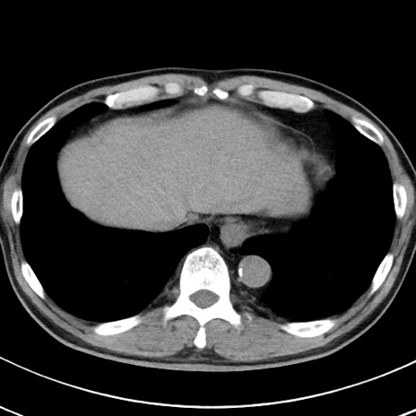
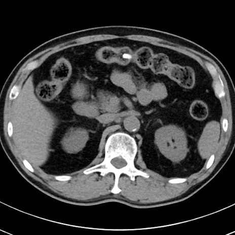
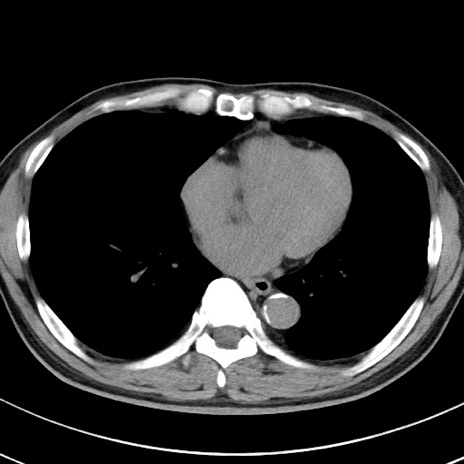
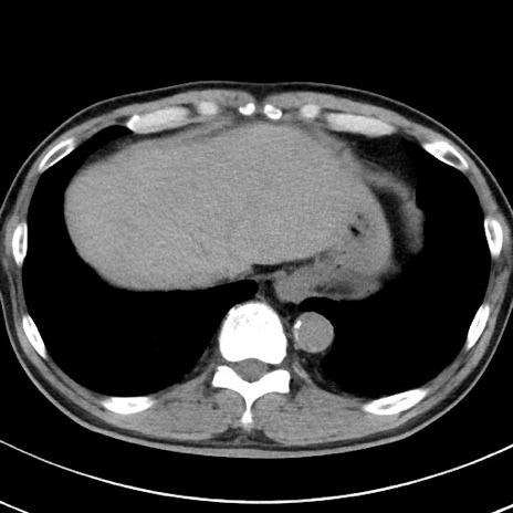
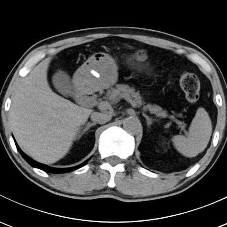
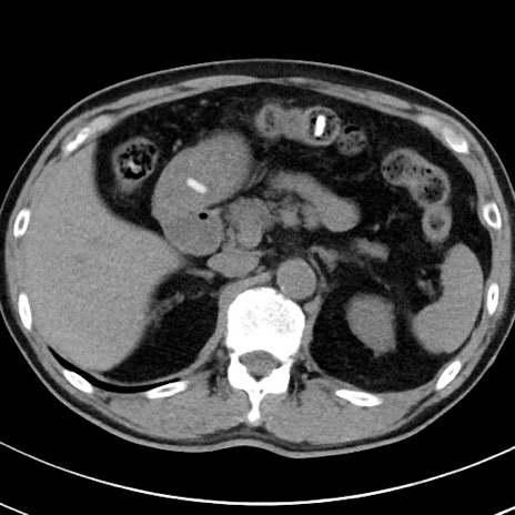
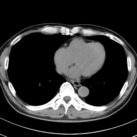
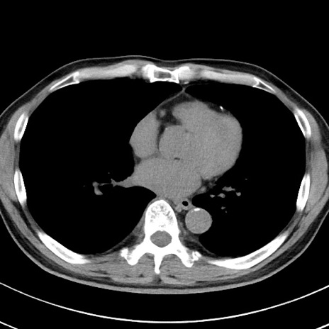
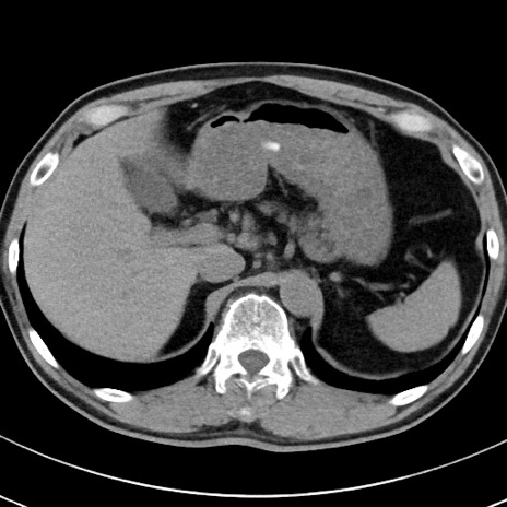
【腹部TIPS】症例29 参考症例 CT(横断像)
△
▽
+
ー
症例
70歳代男性