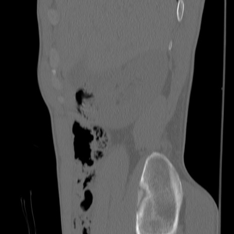
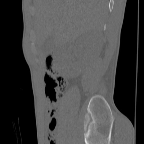
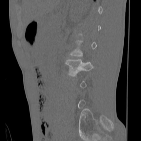
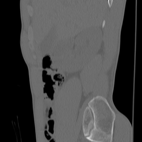
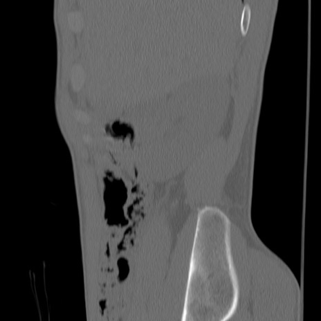
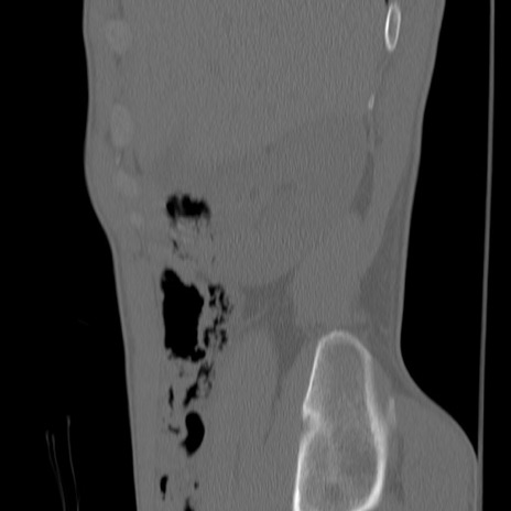
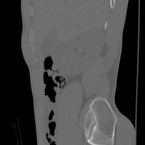
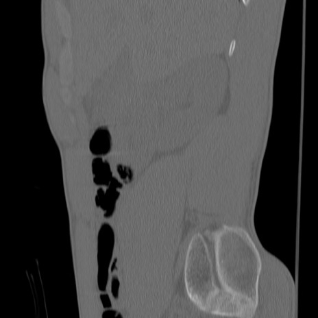
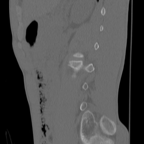
症例3 腰椎CT(矢状断像)

 

症例

【症例】30歳代男性
【主訴】腰痛
【現病歴】本日旅行先で観光中に、友人と衝突し転倒し受傷。
【既往歴】なし
【身体所見】麻痺なし、右下腿内側前面外側、左下腿内側に知覚鈍麻・しびれ

異常所見と診断は?

腰椎レントゲン
正面像
側面像

腰椎CT
横断像
冠状断像
3D再構成