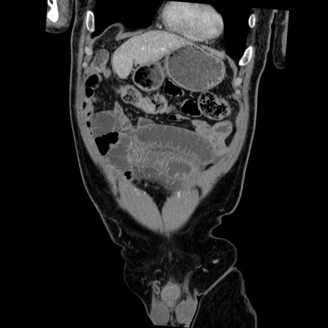
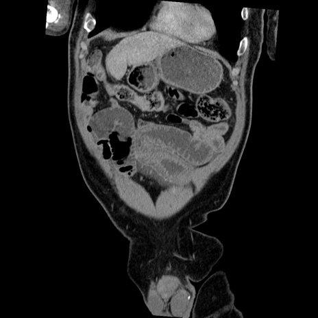
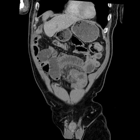
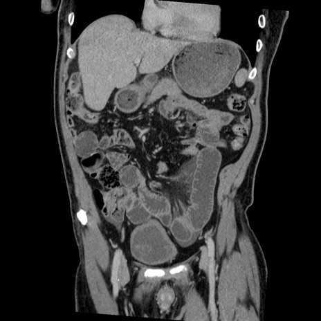
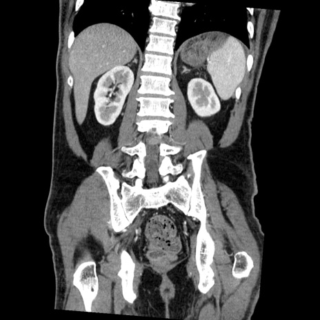
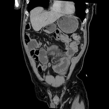
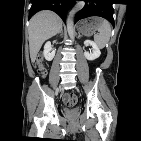
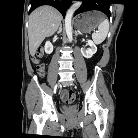
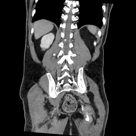
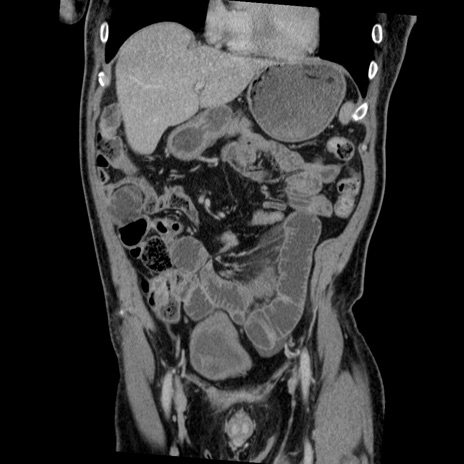
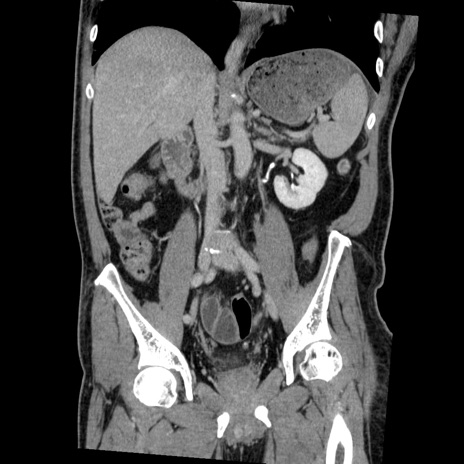
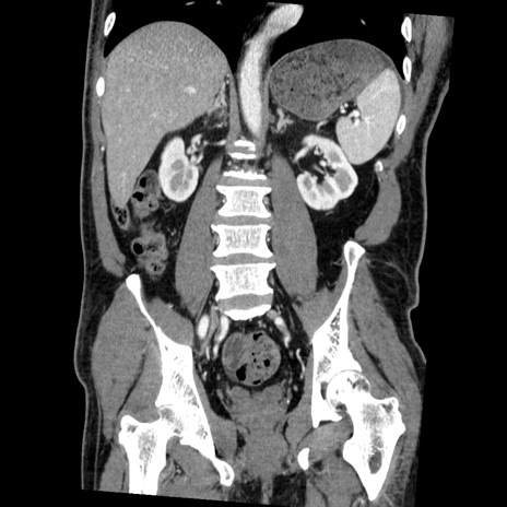
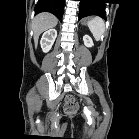
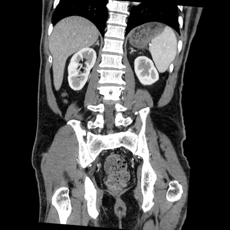
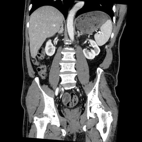
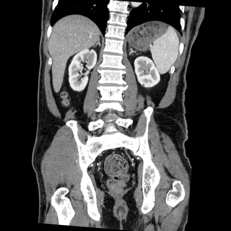
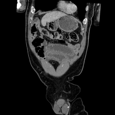
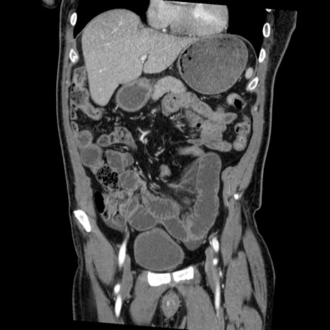
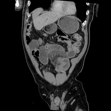
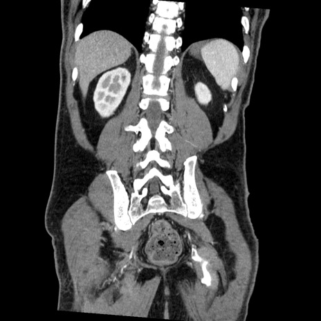
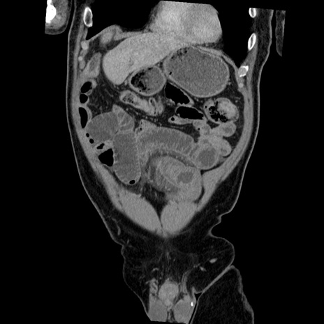
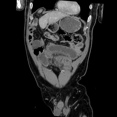
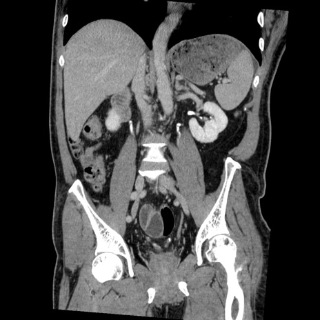
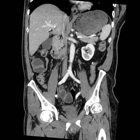
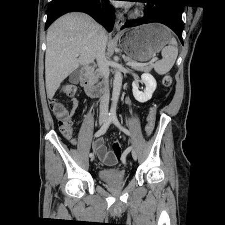
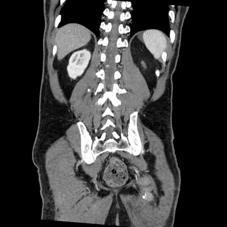
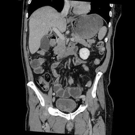
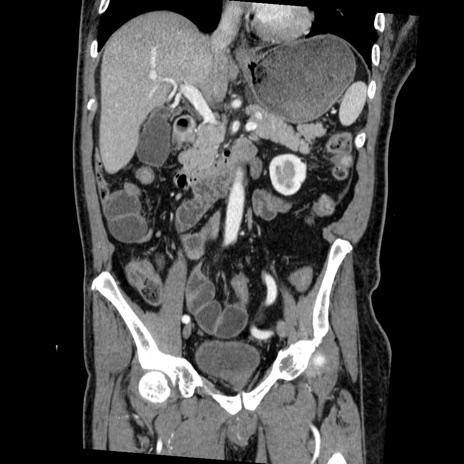
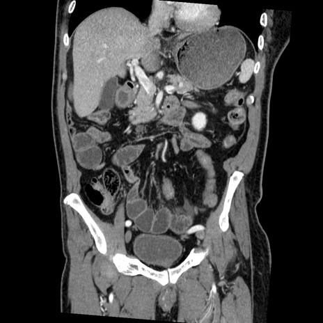
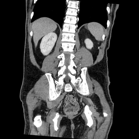
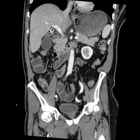
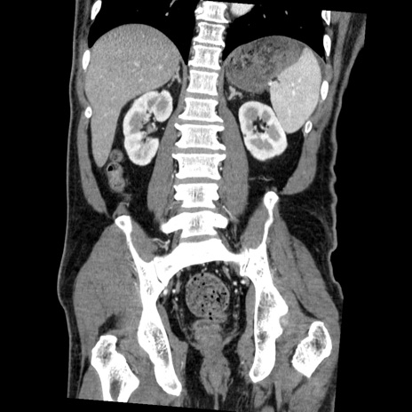
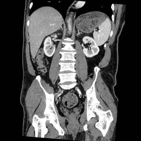
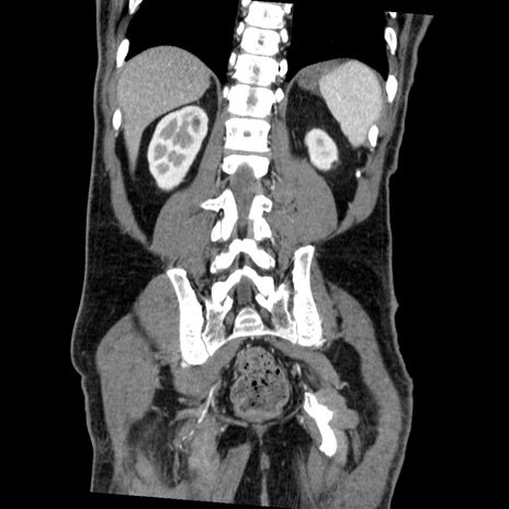
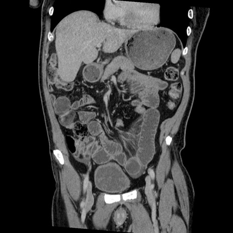
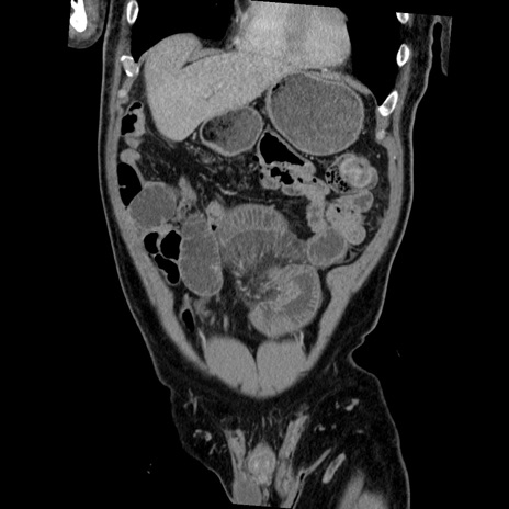
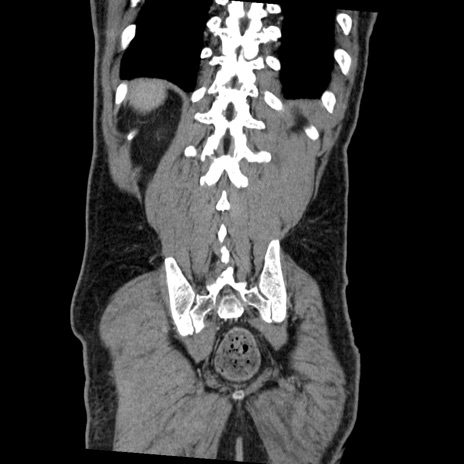
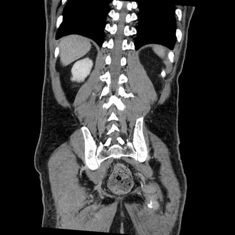
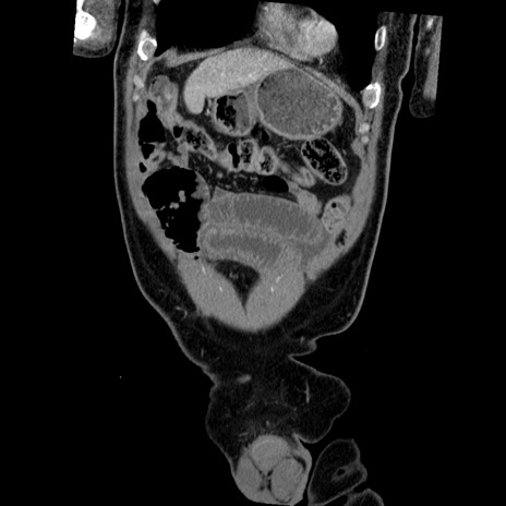
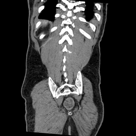
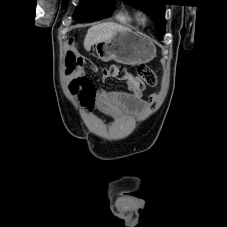
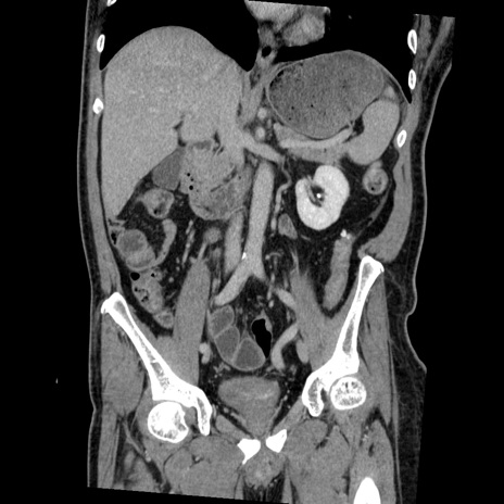
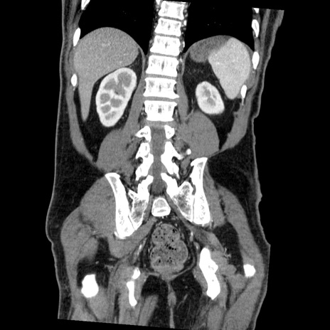
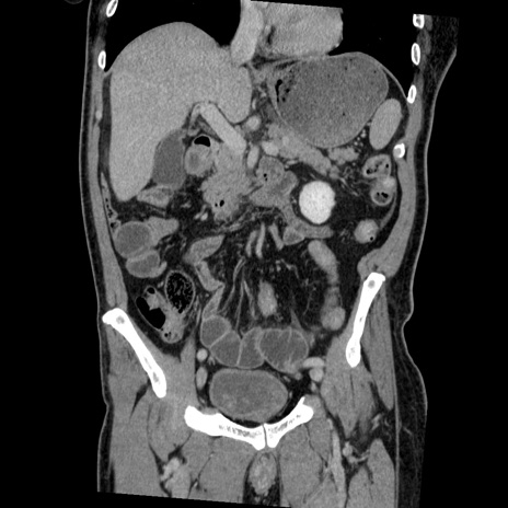
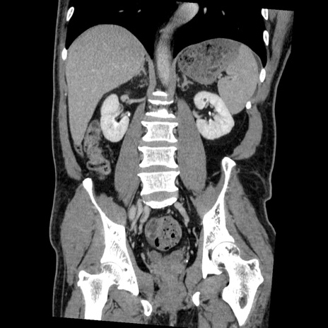
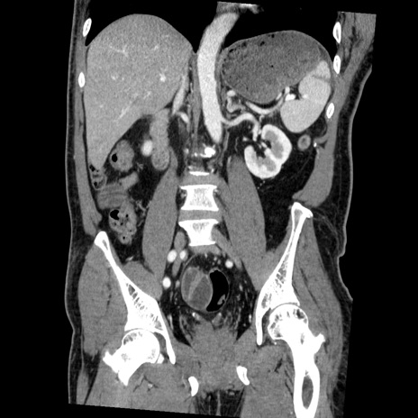
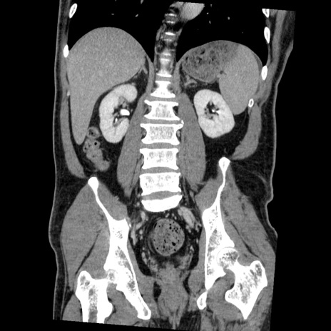
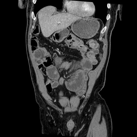
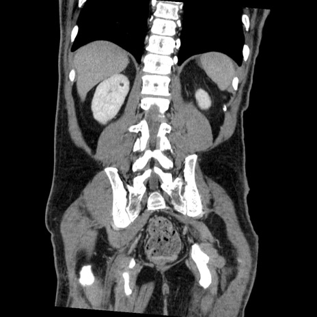
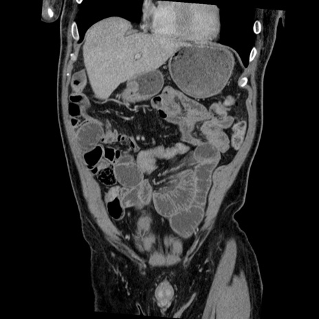
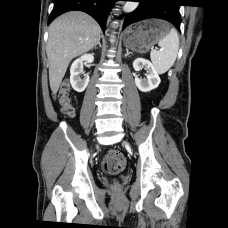
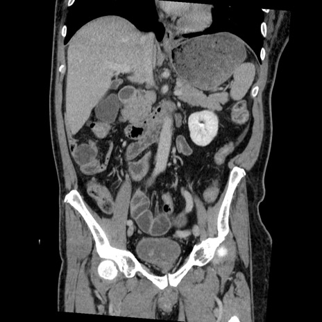
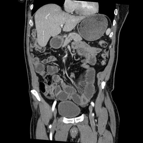
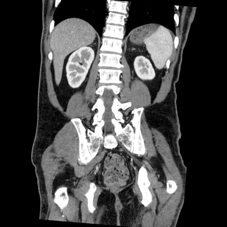
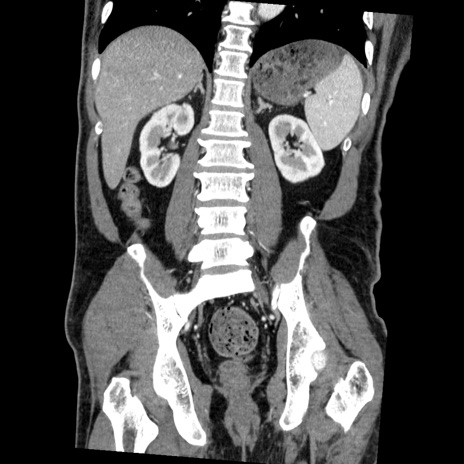
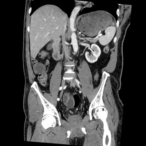
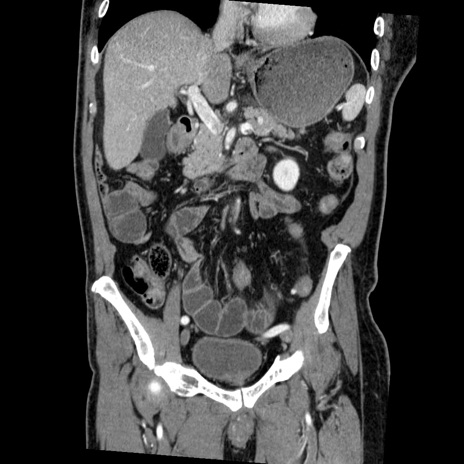
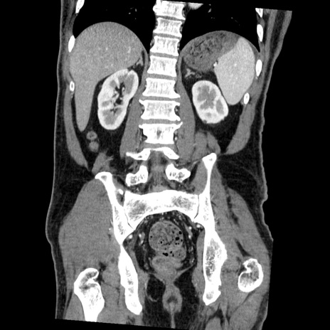
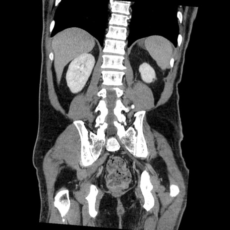
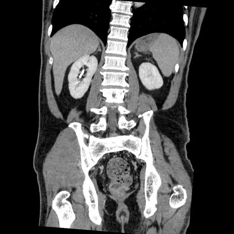
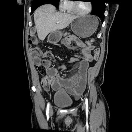
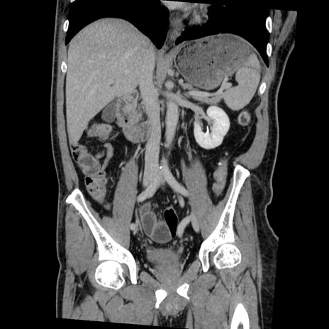
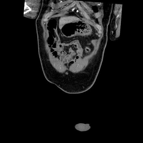
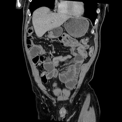
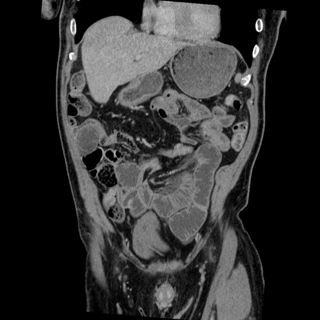
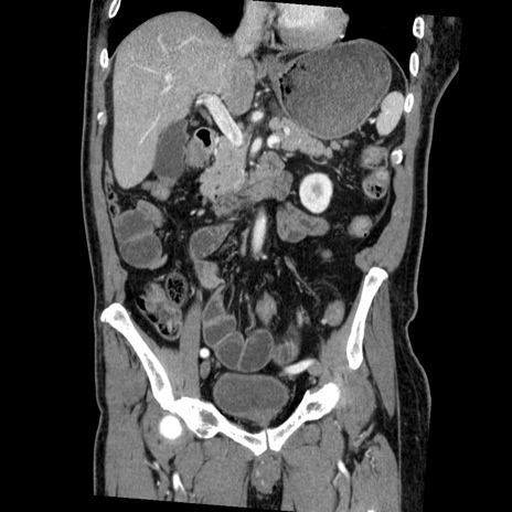
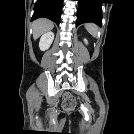
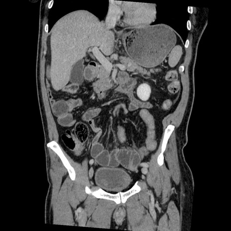
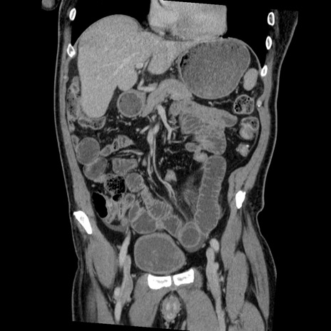
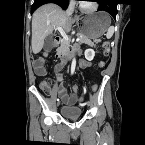
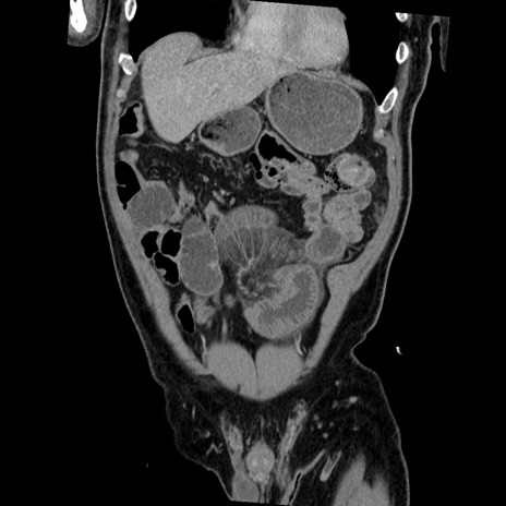
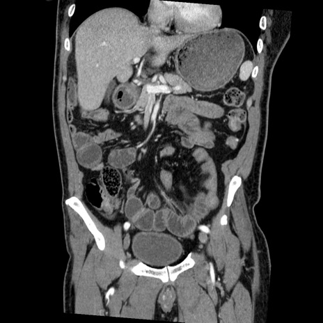
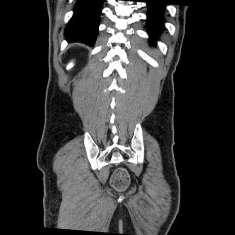
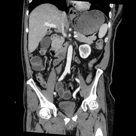
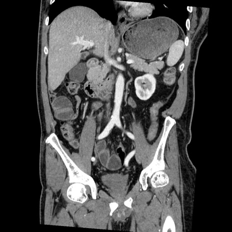
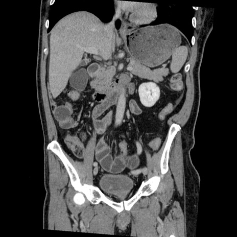
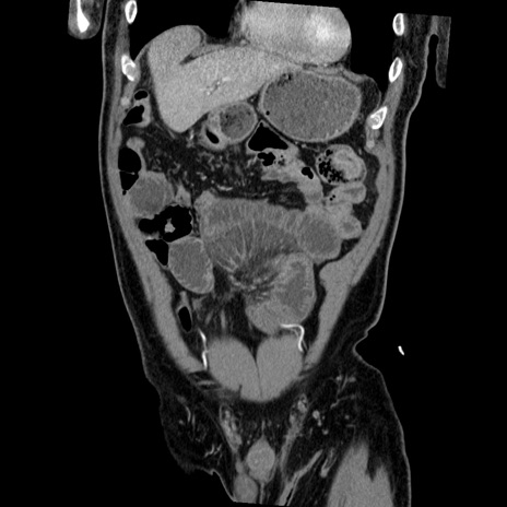
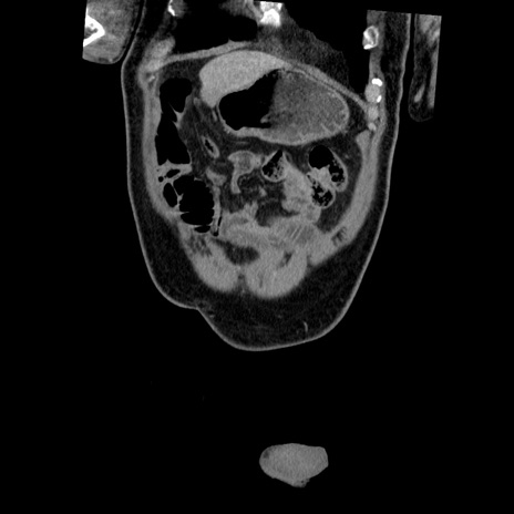
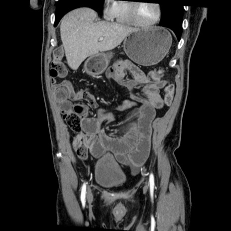
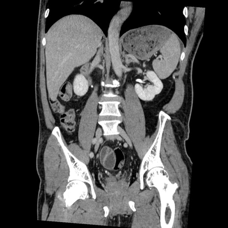
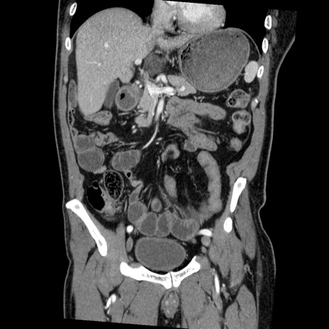
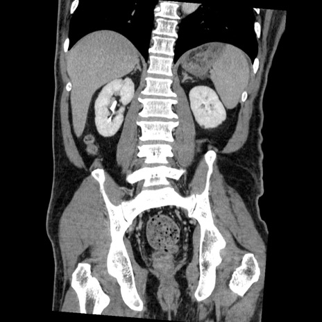
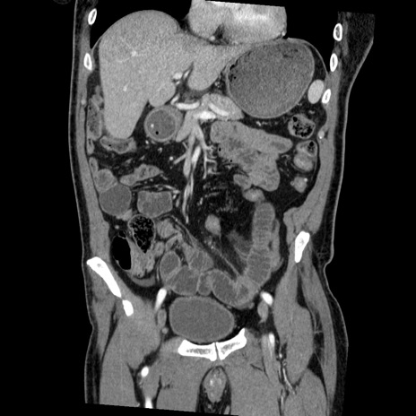
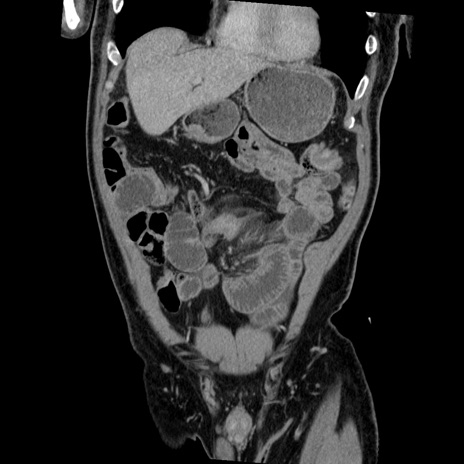
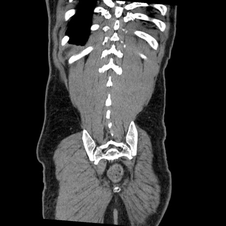
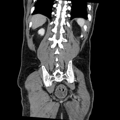
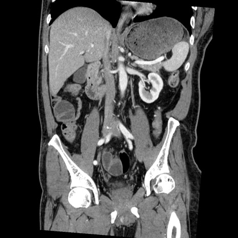
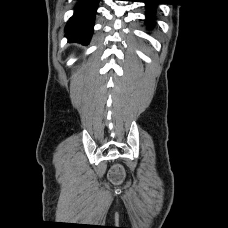
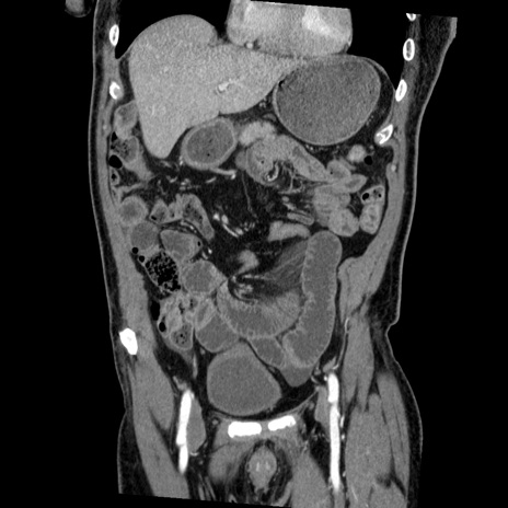
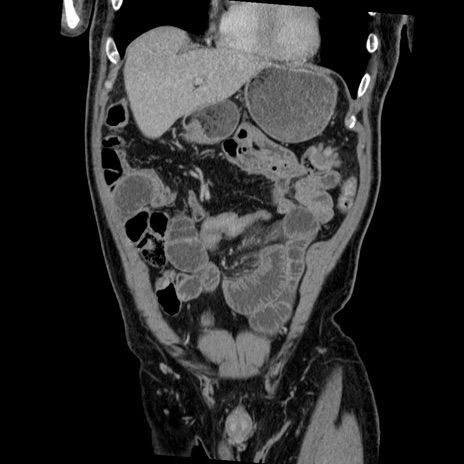
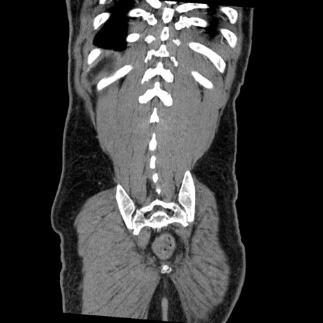
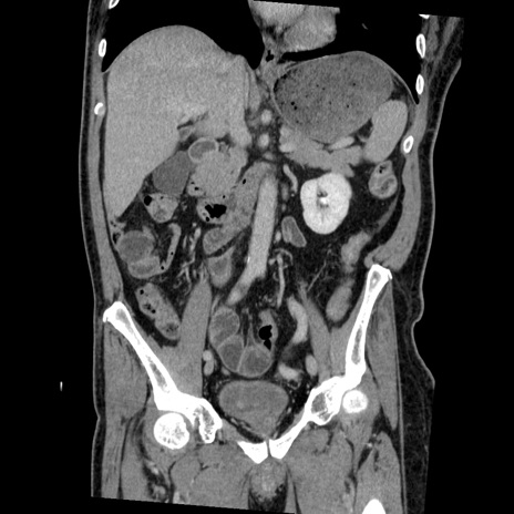
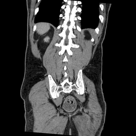
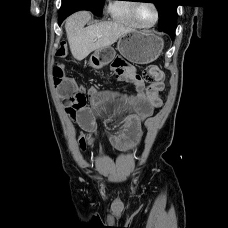
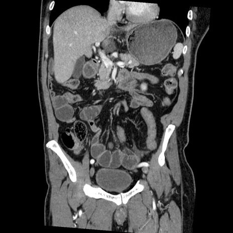
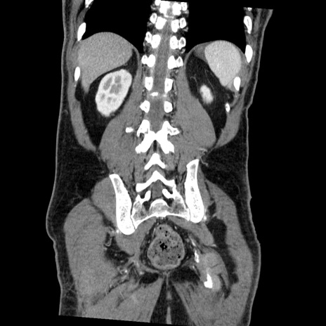
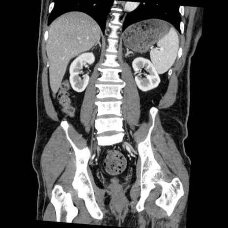
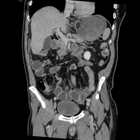
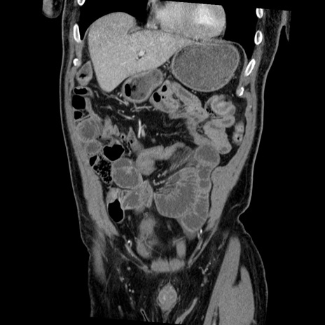
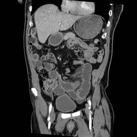
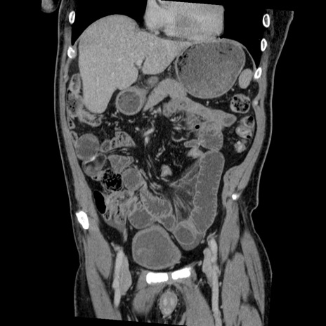
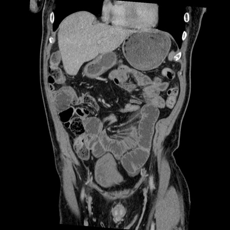
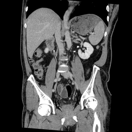
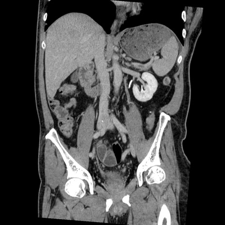
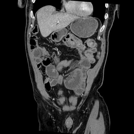
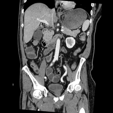
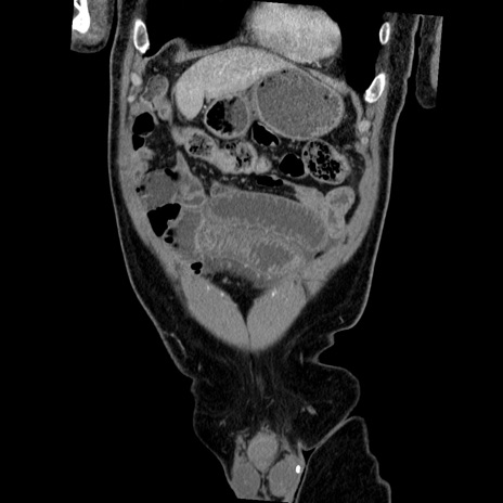
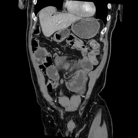
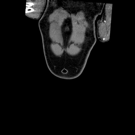
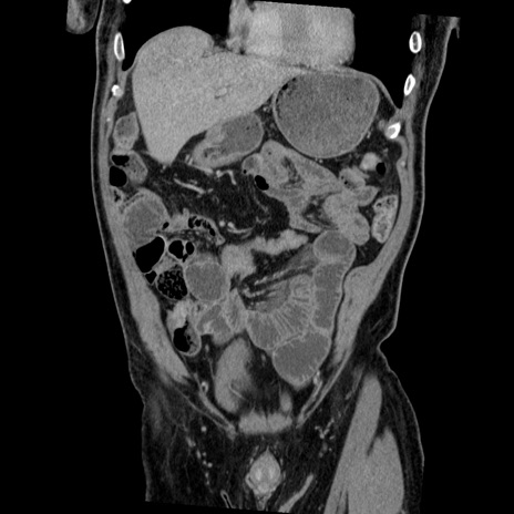
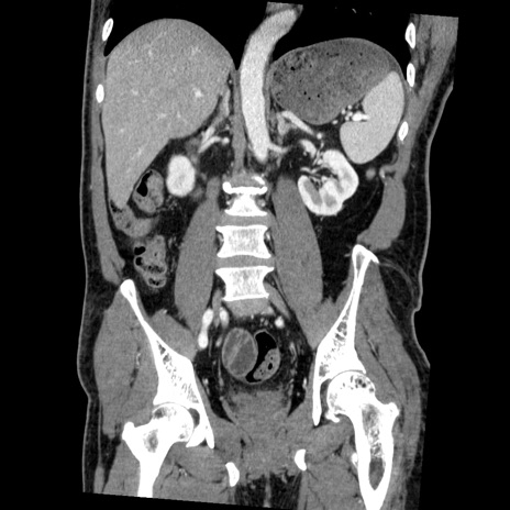
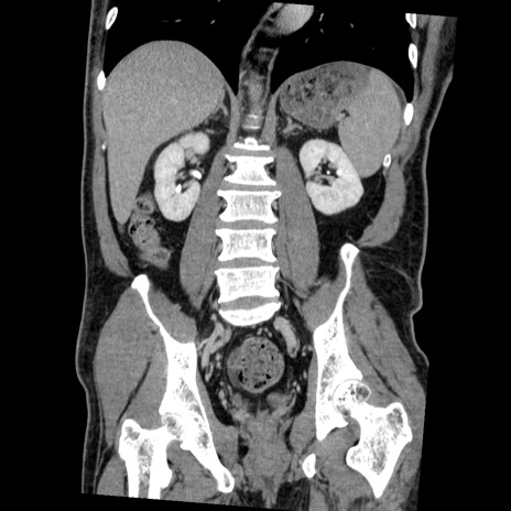
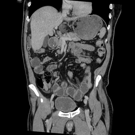
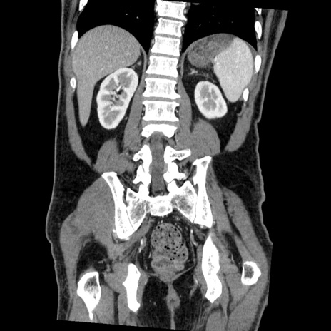
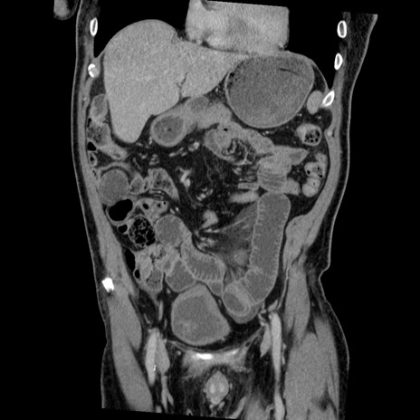
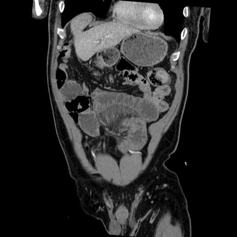
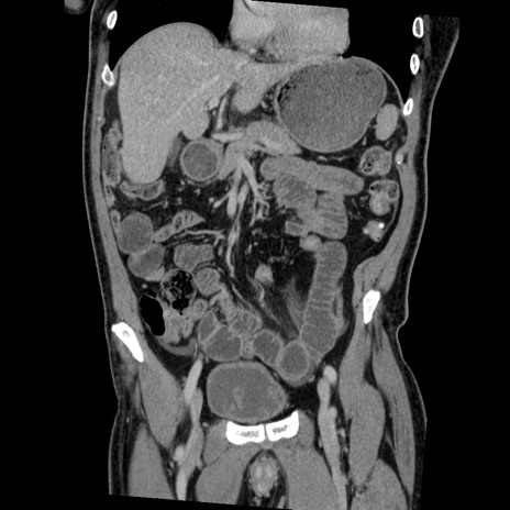
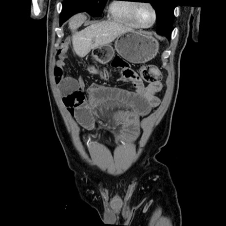
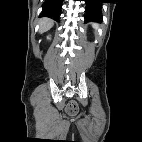
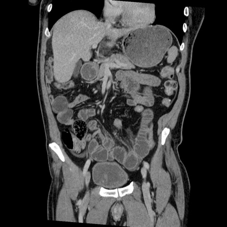
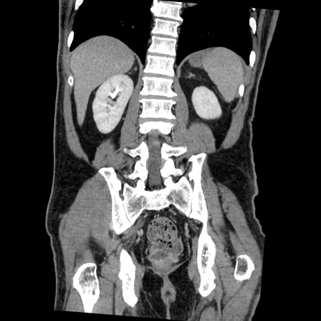
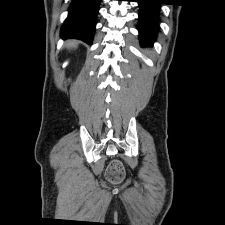
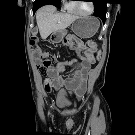
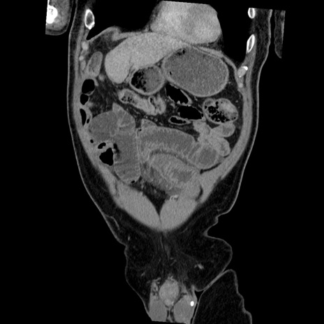
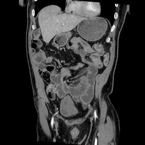
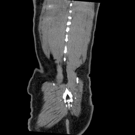
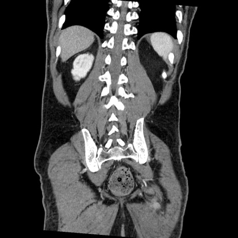
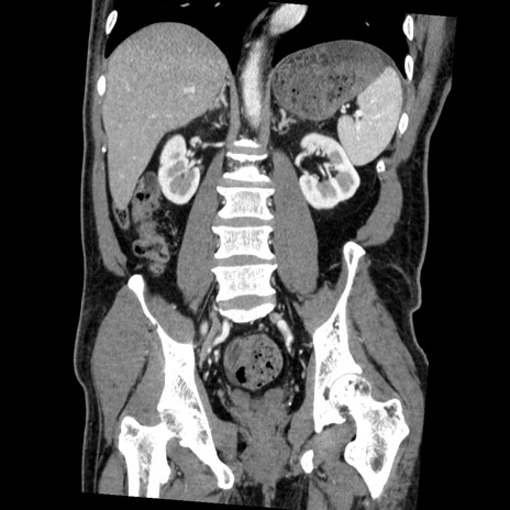
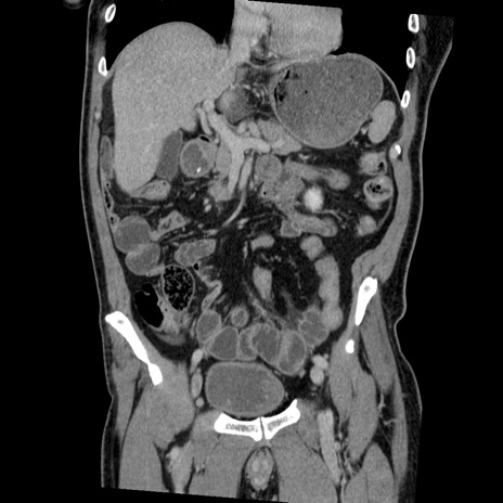
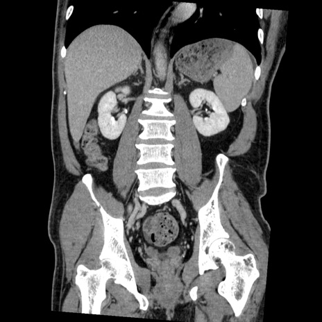
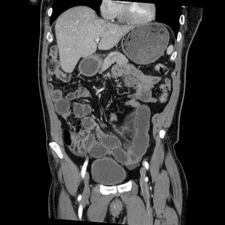
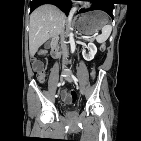
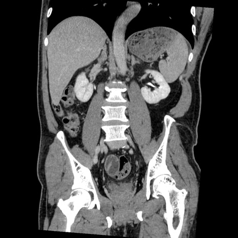
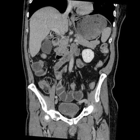
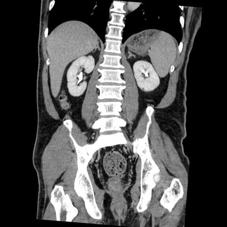
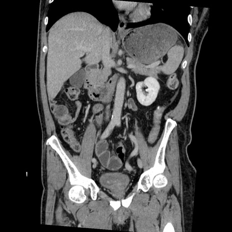
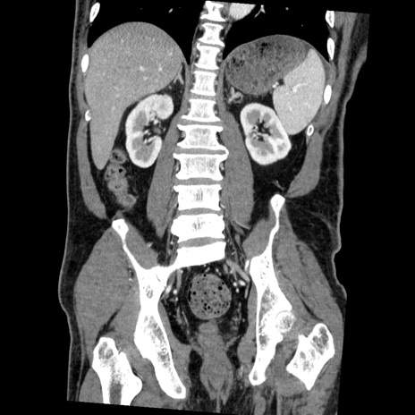
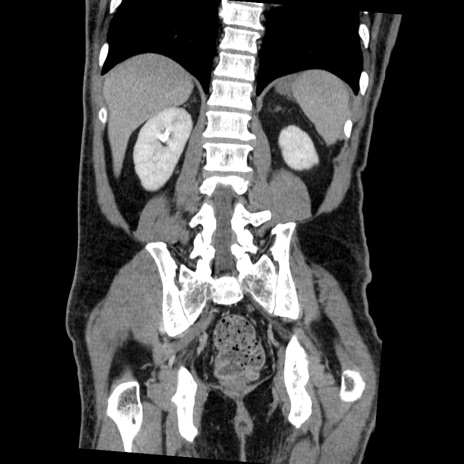
症例22(冠状断像)

 

症例

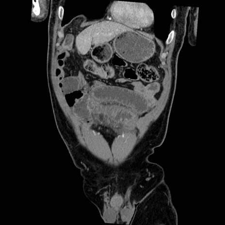
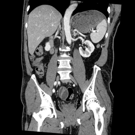
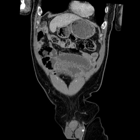
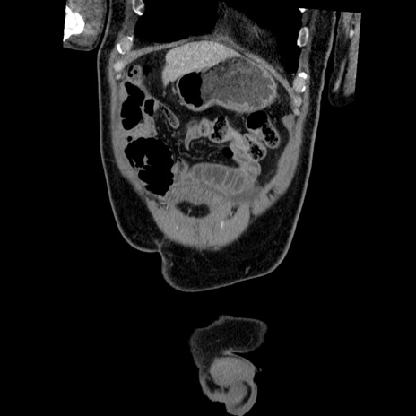
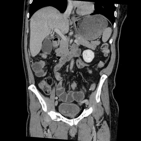
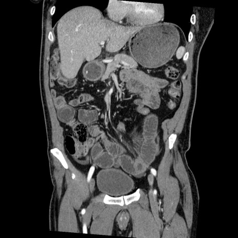
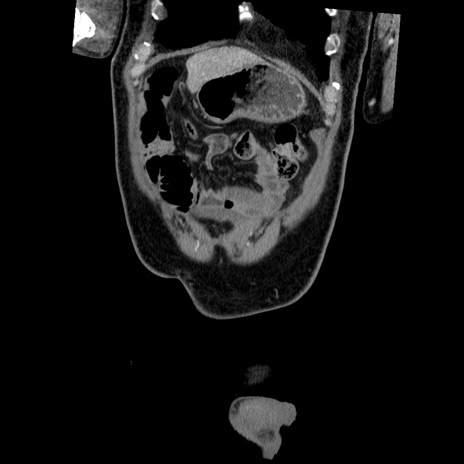
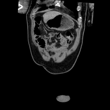
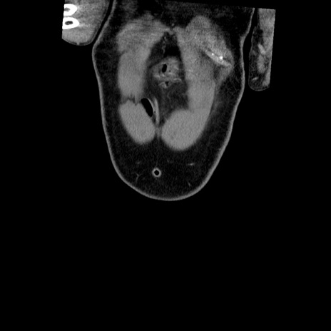
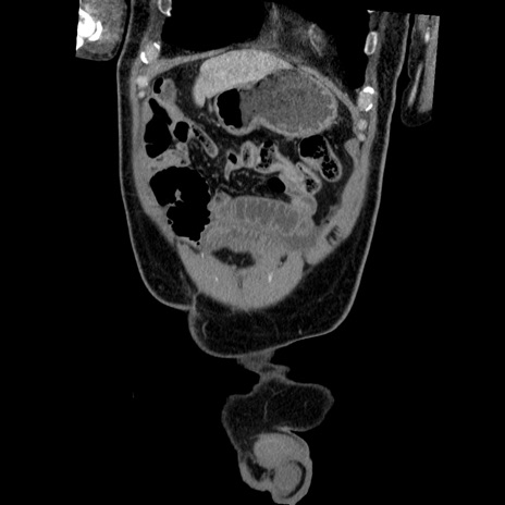
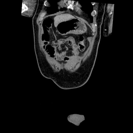
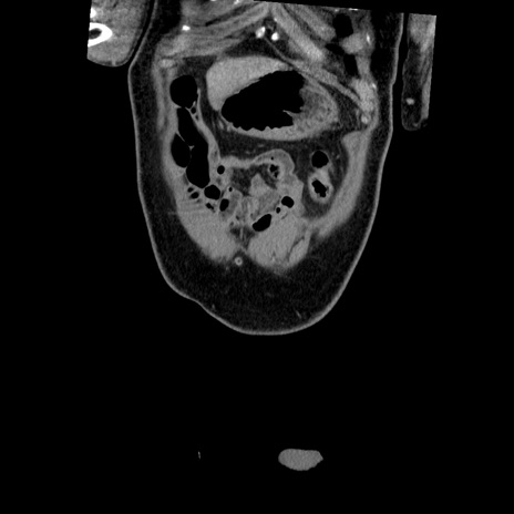
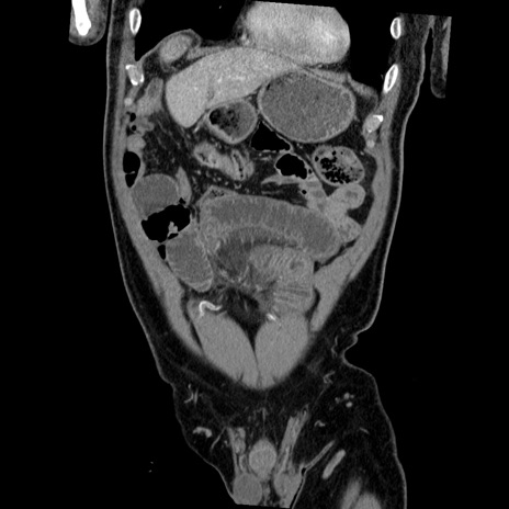
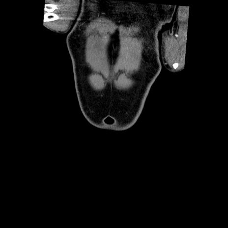
【症例】50歳代男性
【主訴】腹痛
【現病歴】AVMからの被殻出血のため回復期リハ病棟入院中。 本日午後3時頃急に下腹部痛が出現した。
【既往歴】AVM、被殻出血、虫垂炎、高血圧
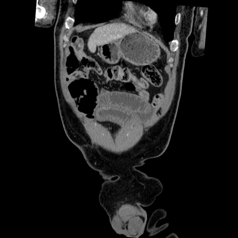
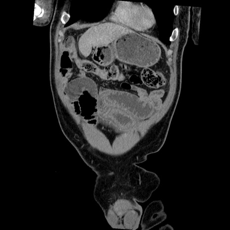
【身体所見】意識晴明、左半身不全麻痺、会話の理解は良好、36.5°C、腹部:膨隆、全体に板状硬、下腹部正中に圧痛点あり、反跳痛-、筋性防御不明、右下腹部にope scar
【データ】WBC 9400、CRP 0.06

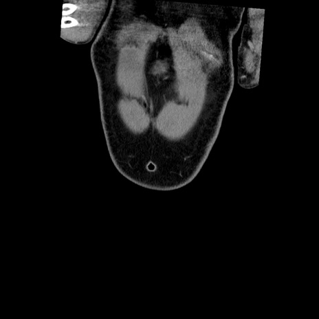
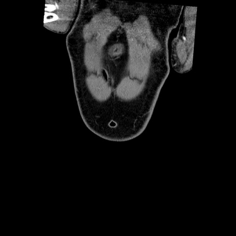
横断像