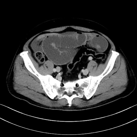
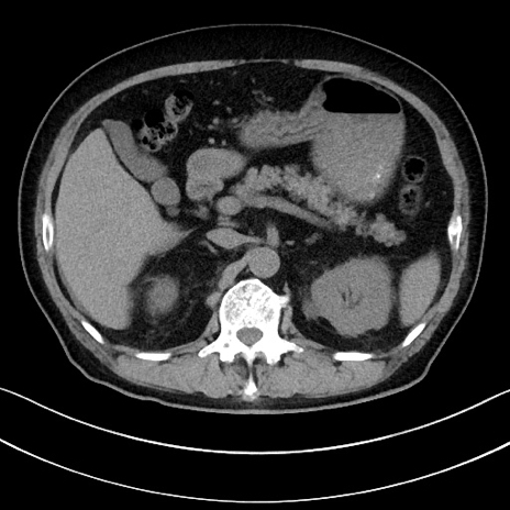
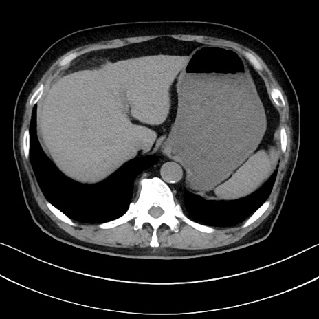
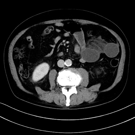
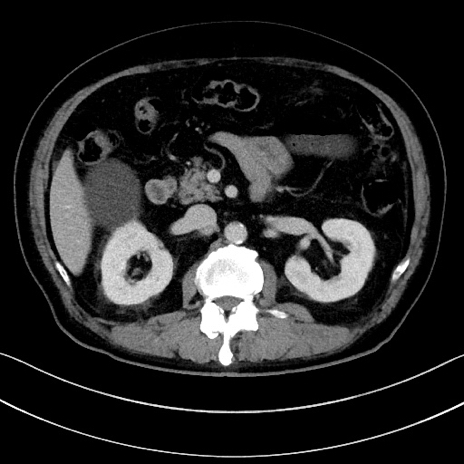
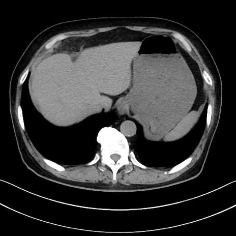
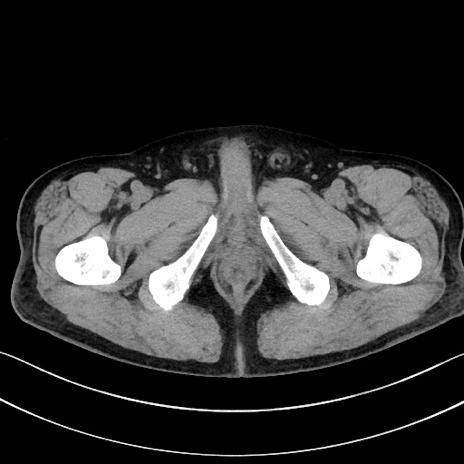
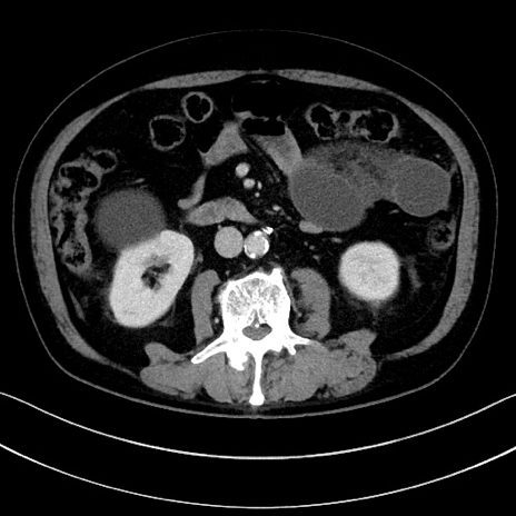
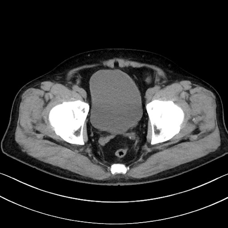
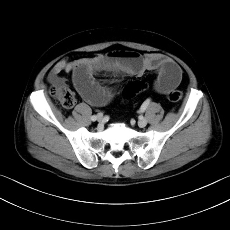
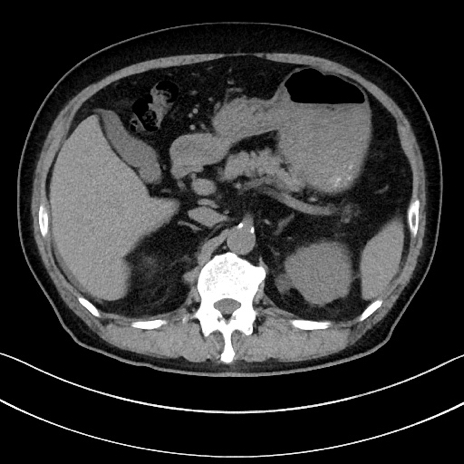
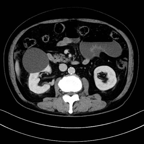
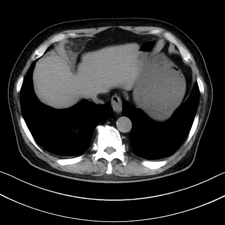
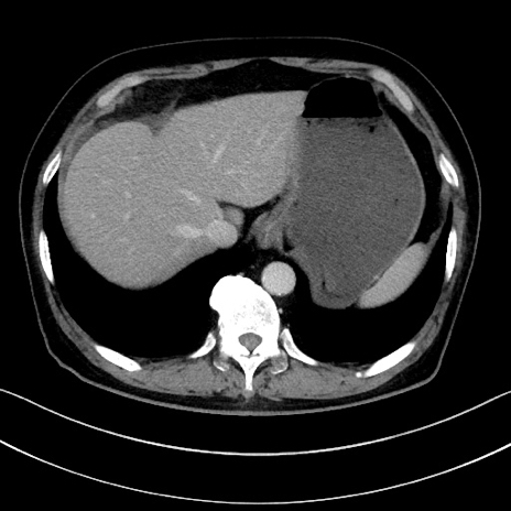
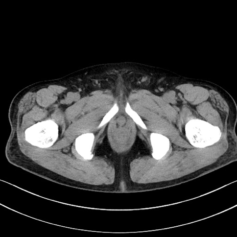
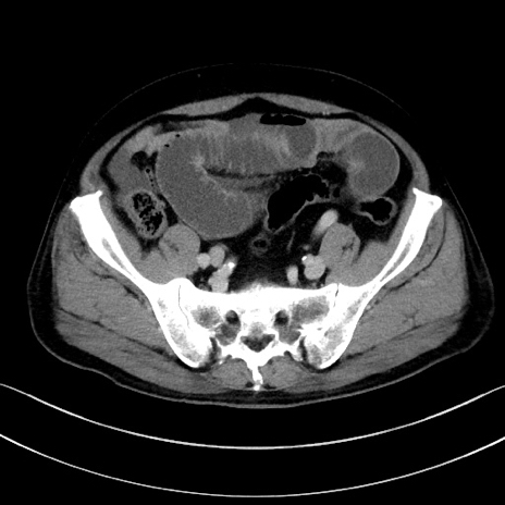
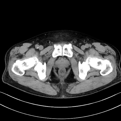
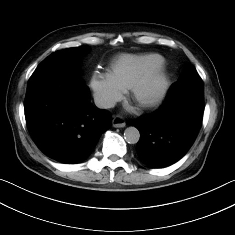
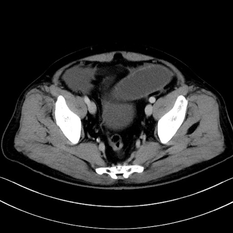
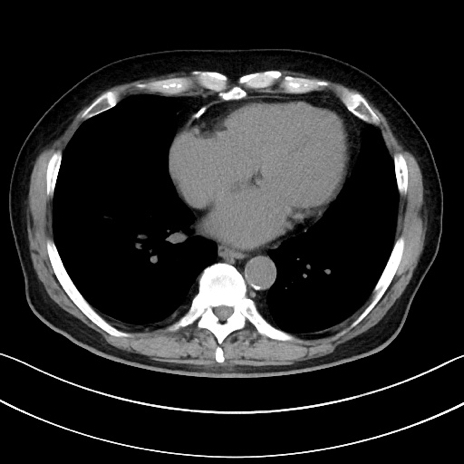
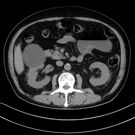
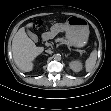
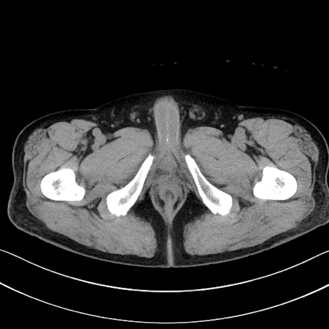
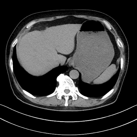
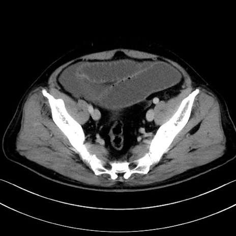
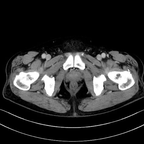
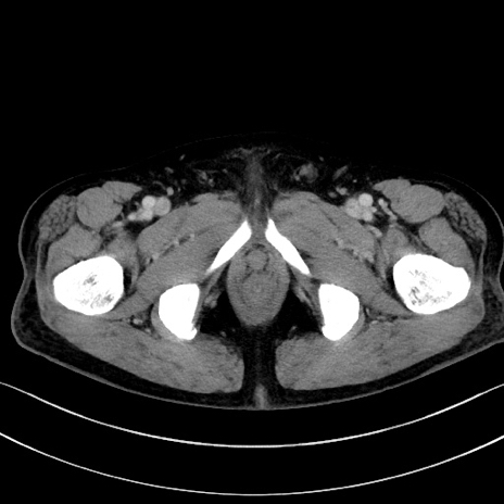
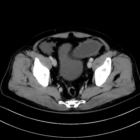
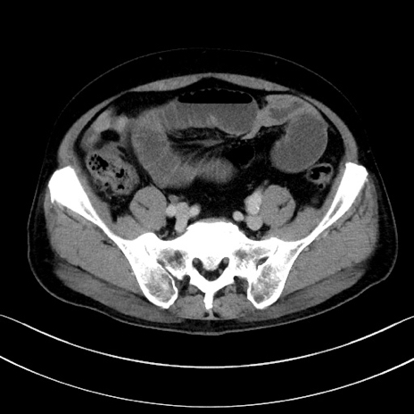
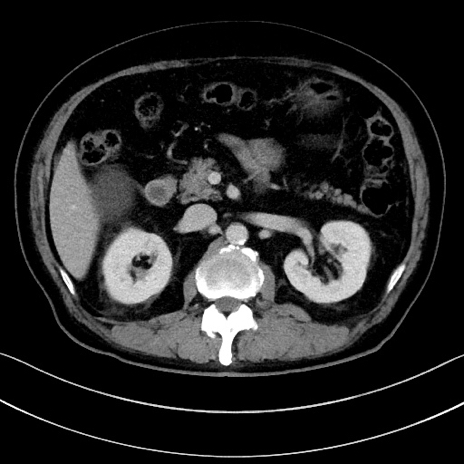
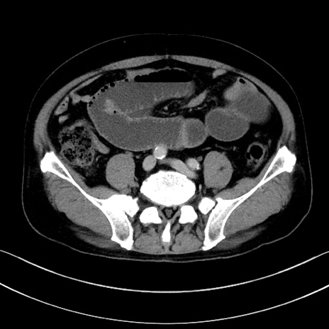
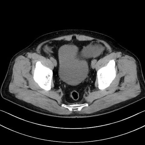
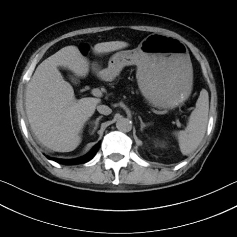
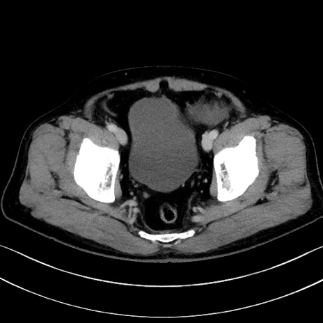
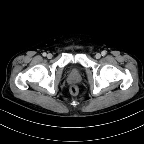
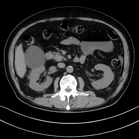
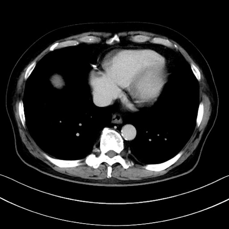
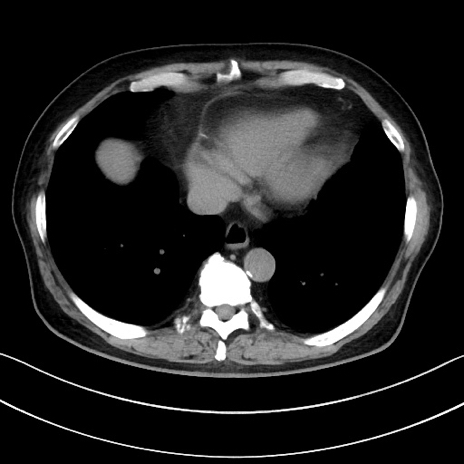
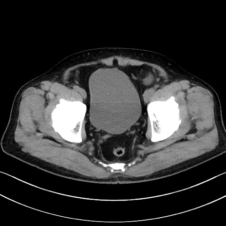
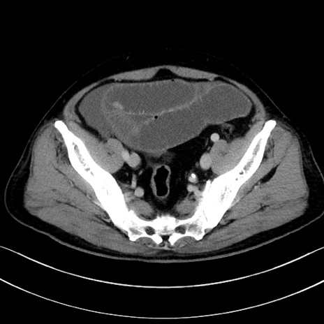
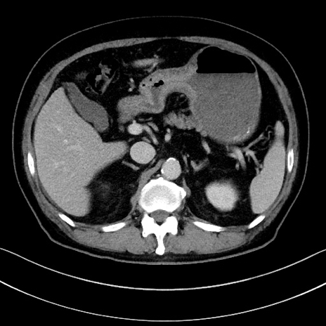
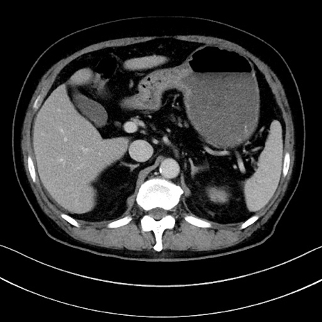
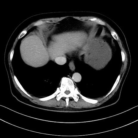
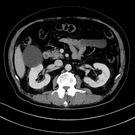
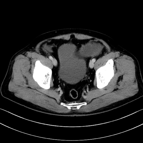
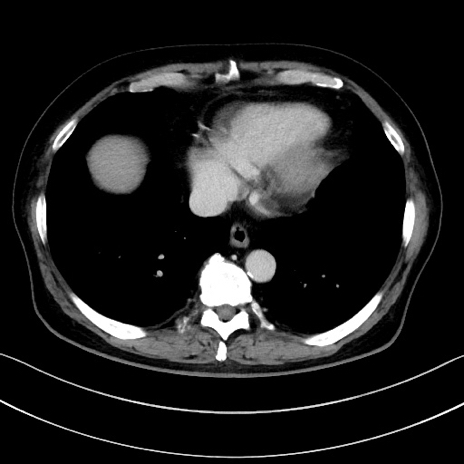
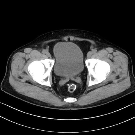
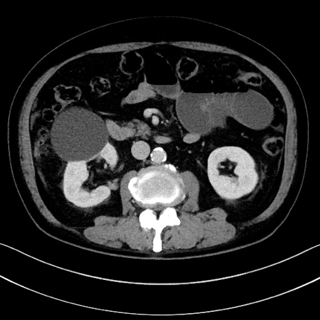
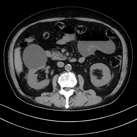
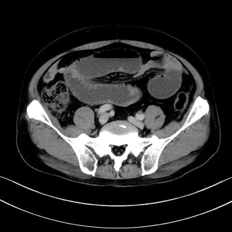
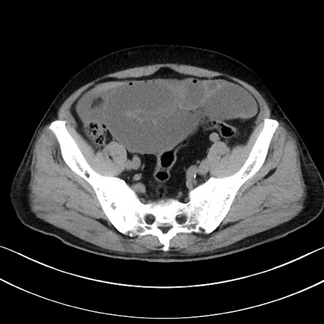
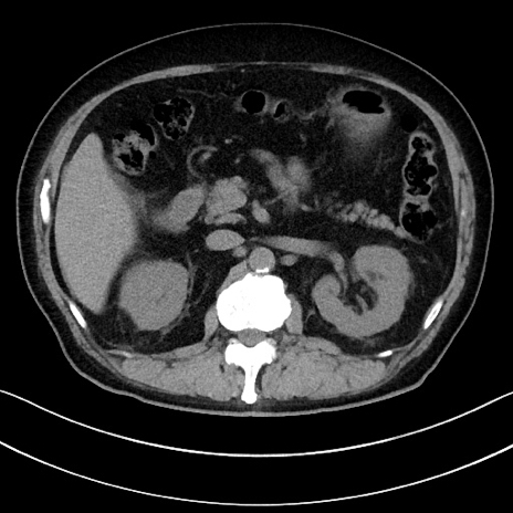
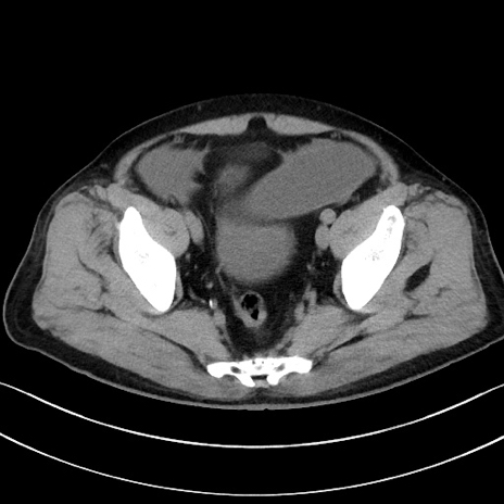
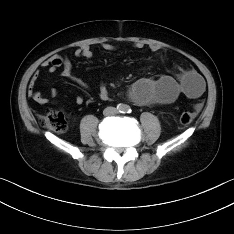
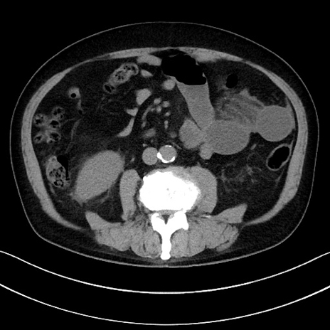
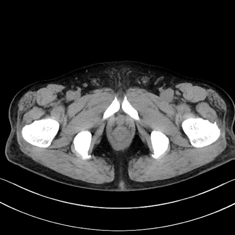
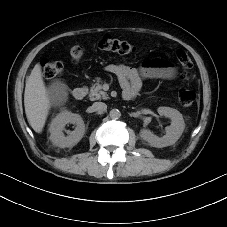
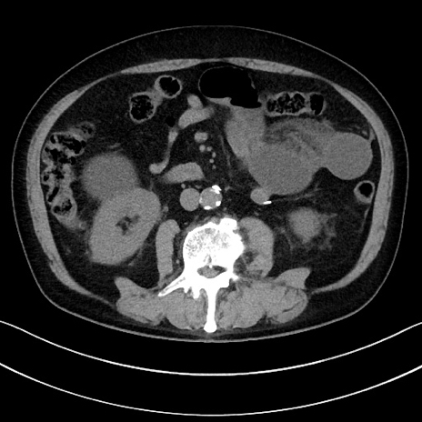
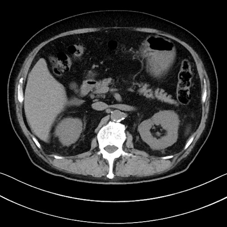
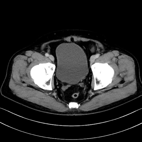
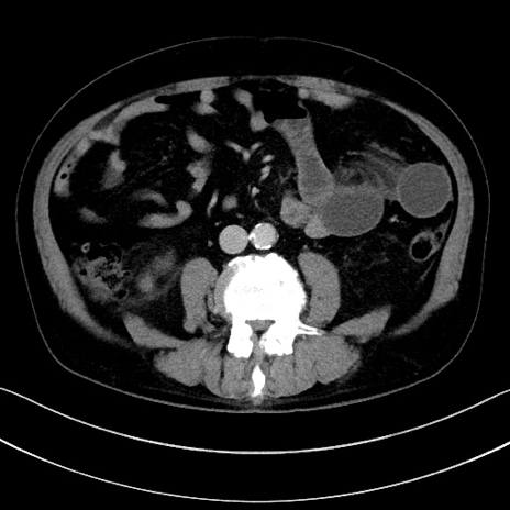
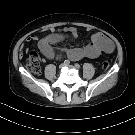
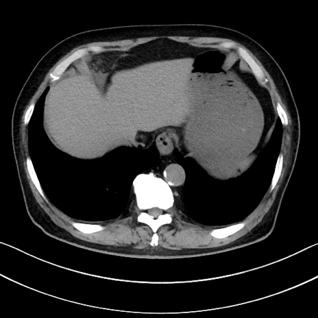
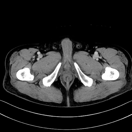
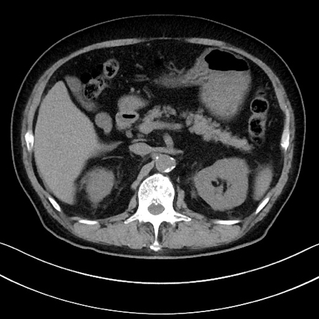
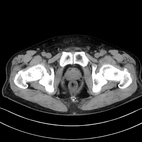
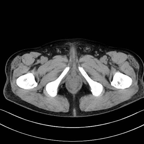
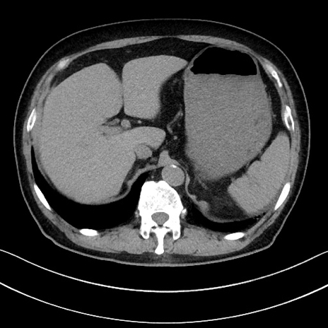
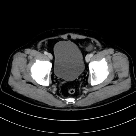
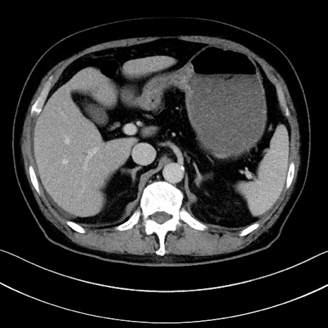
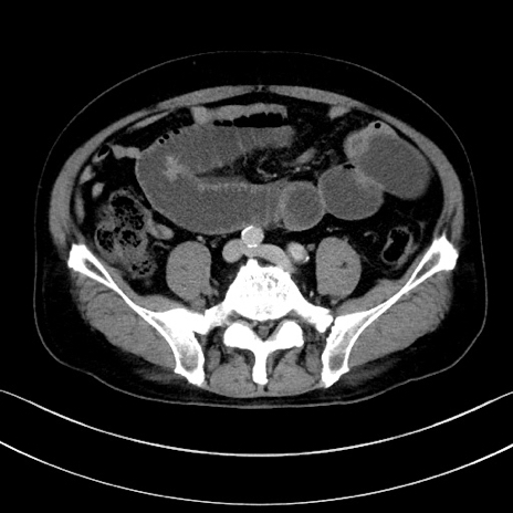
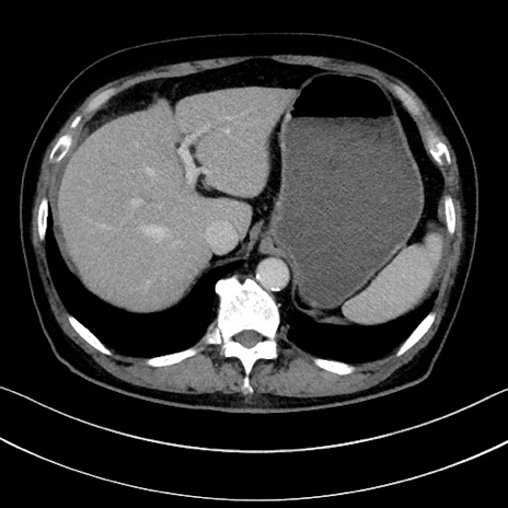
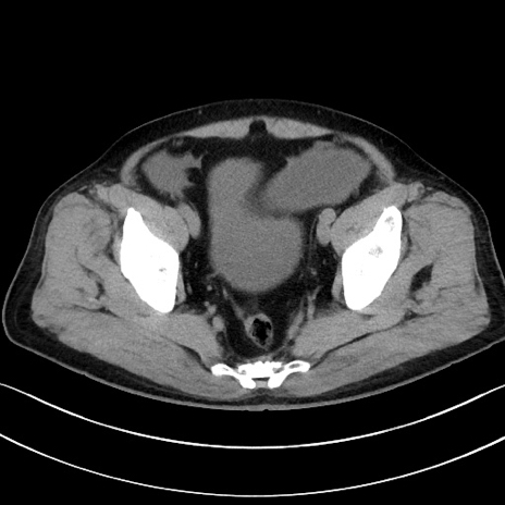
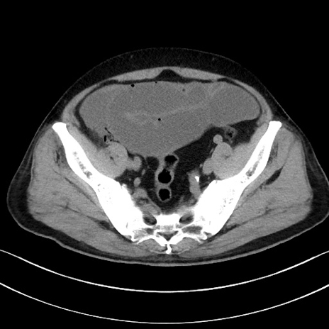
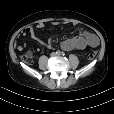
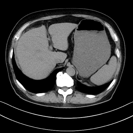
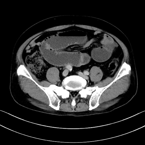
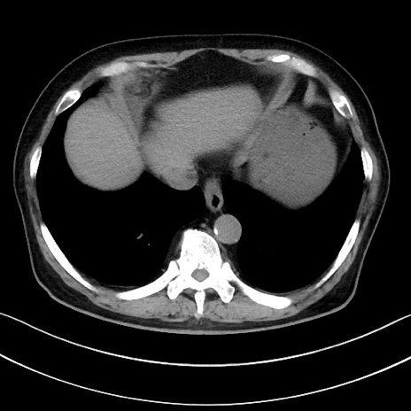
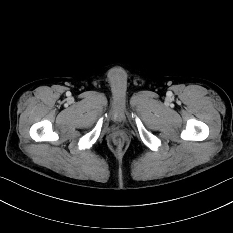
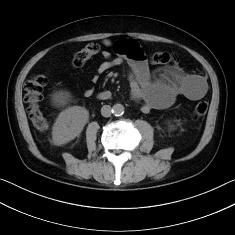
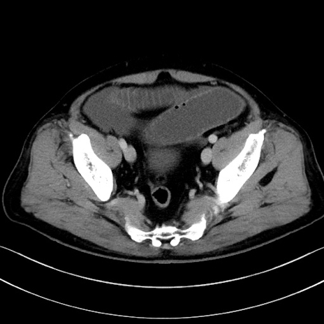
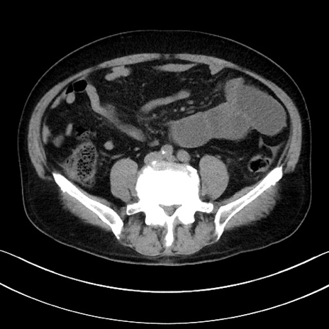
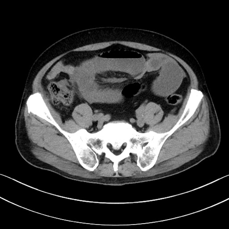
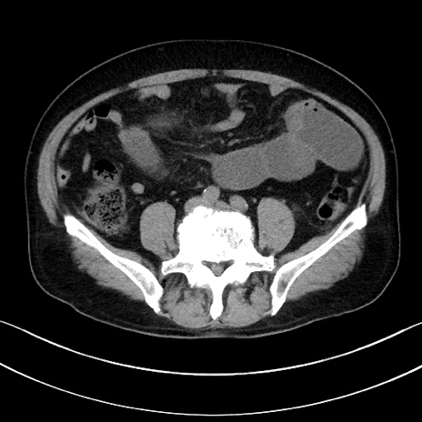
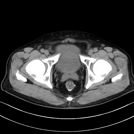
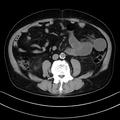
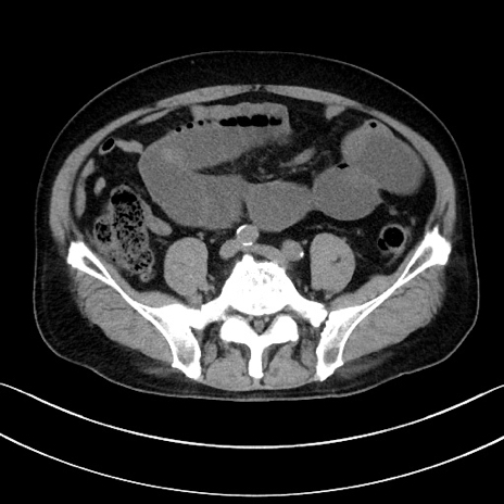
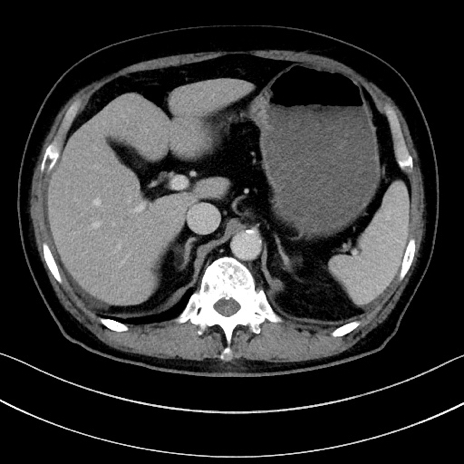
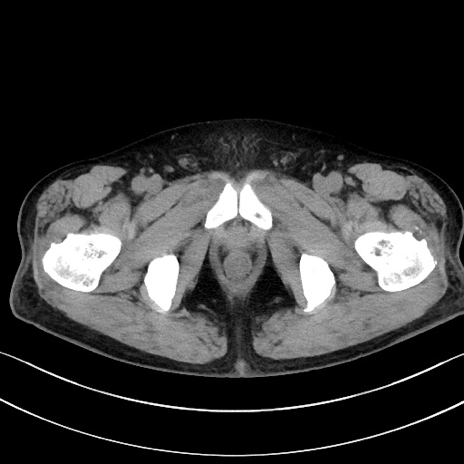
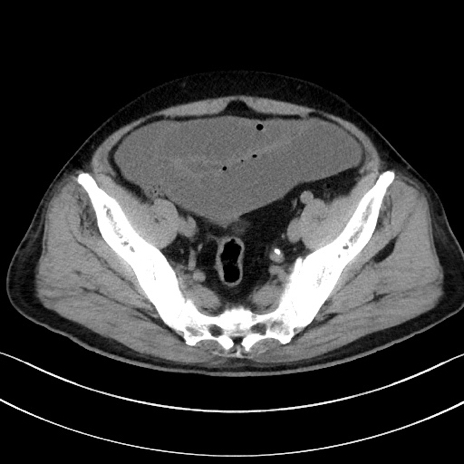
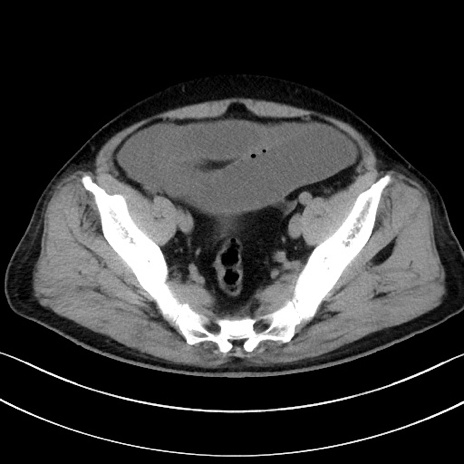
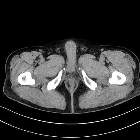
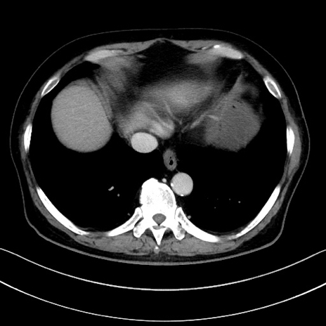
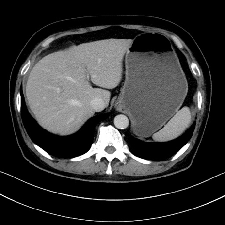
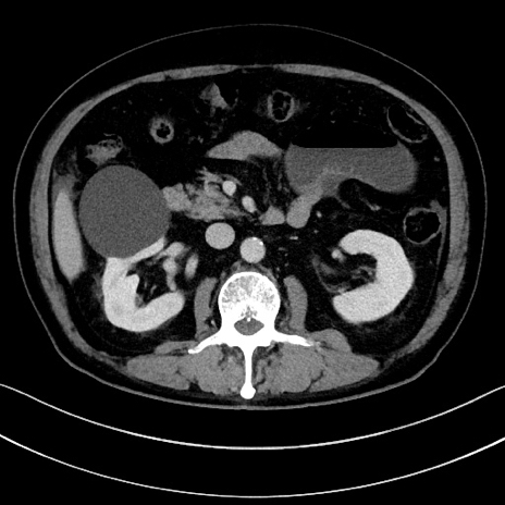
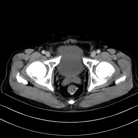
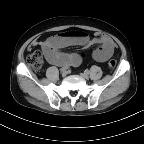
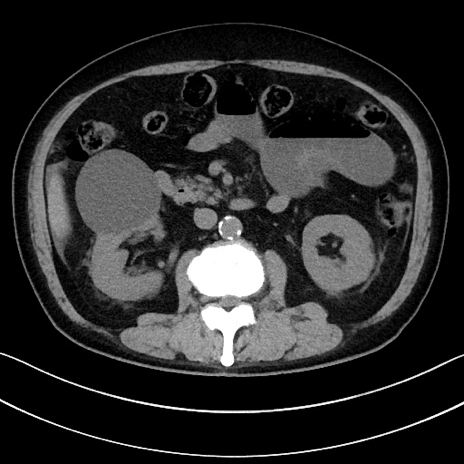
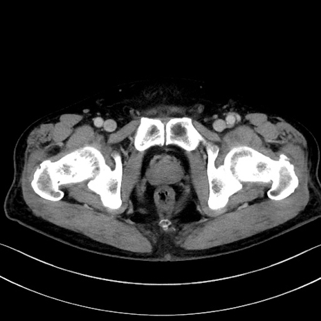
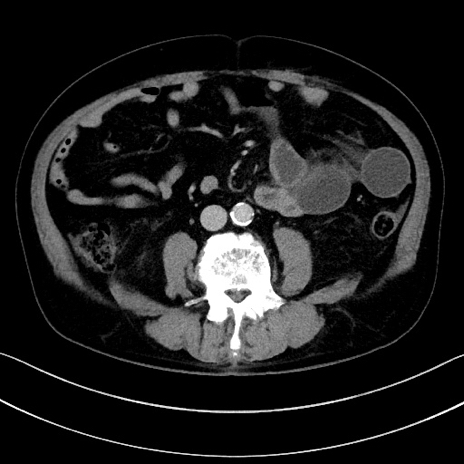
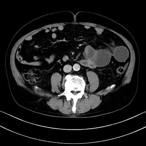
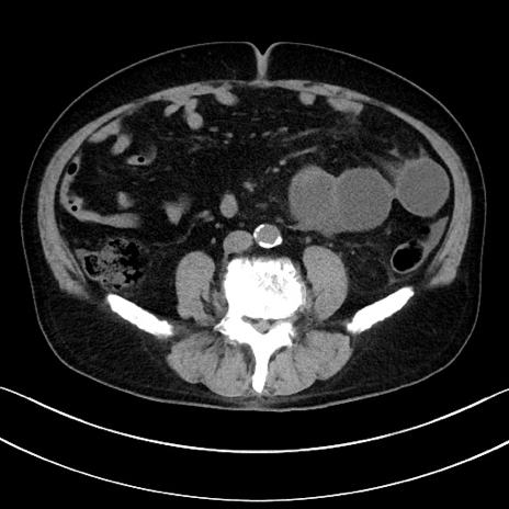
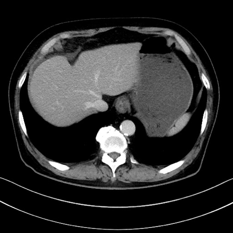
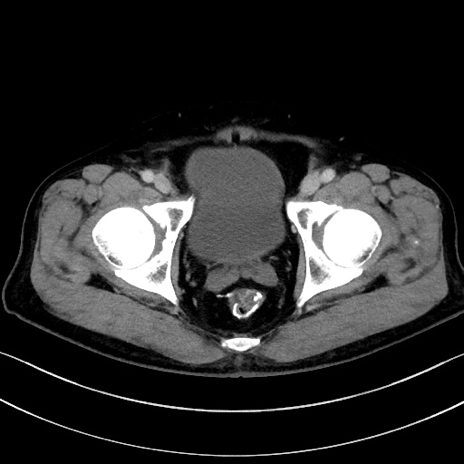
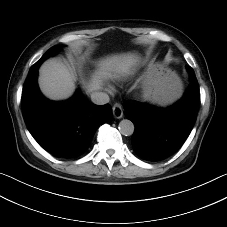
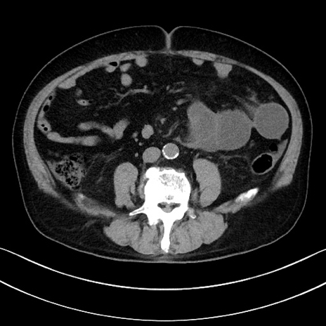
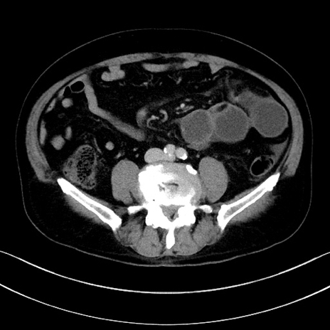
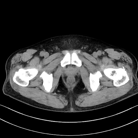
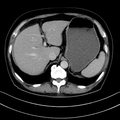
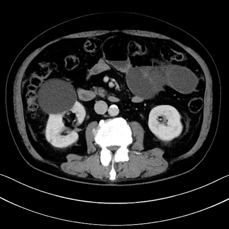
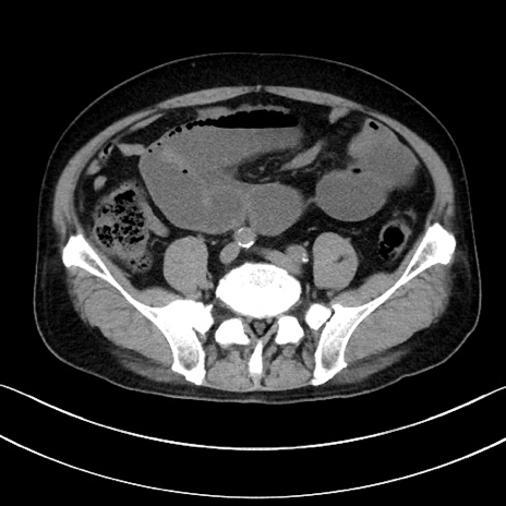
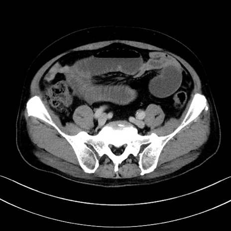
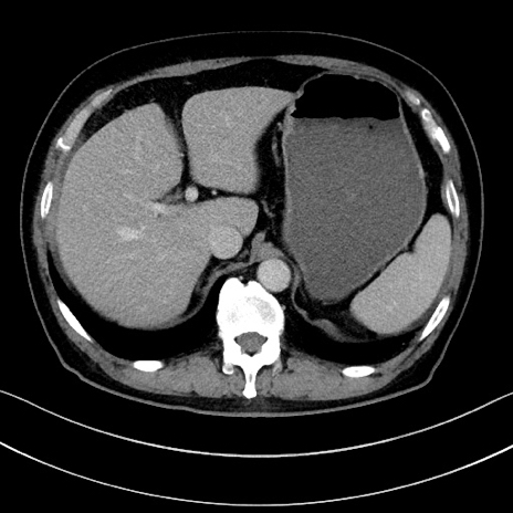
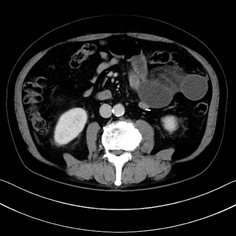
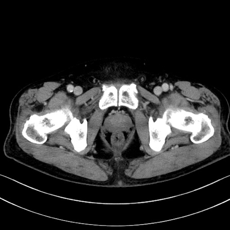
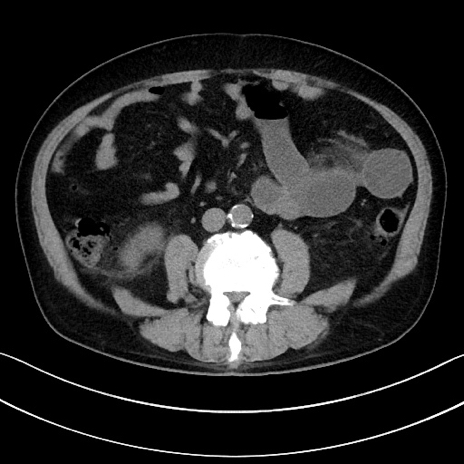
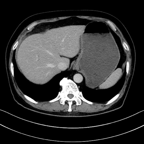
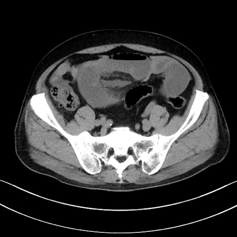
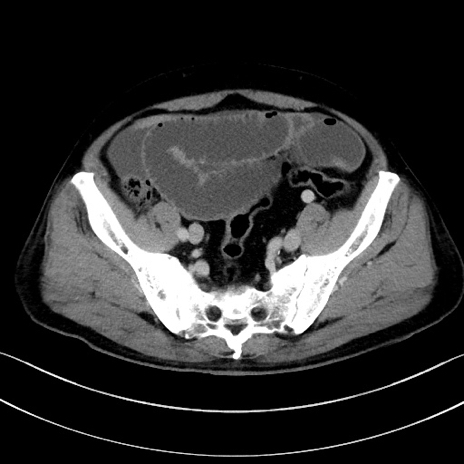
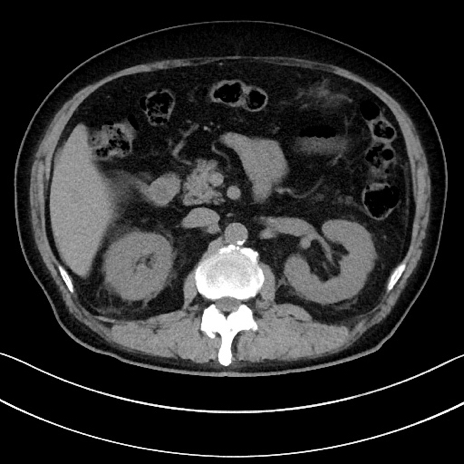
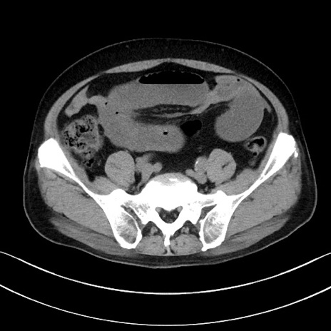
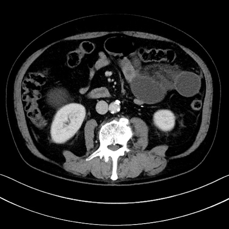
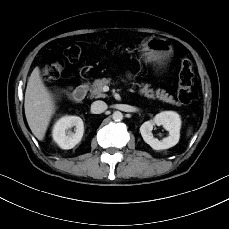
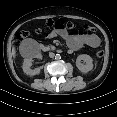
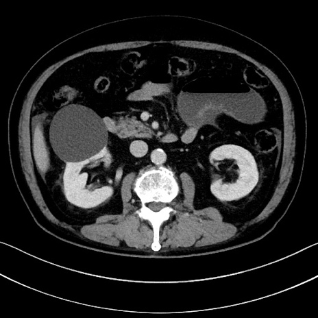
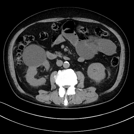
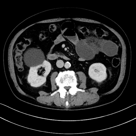
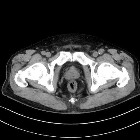
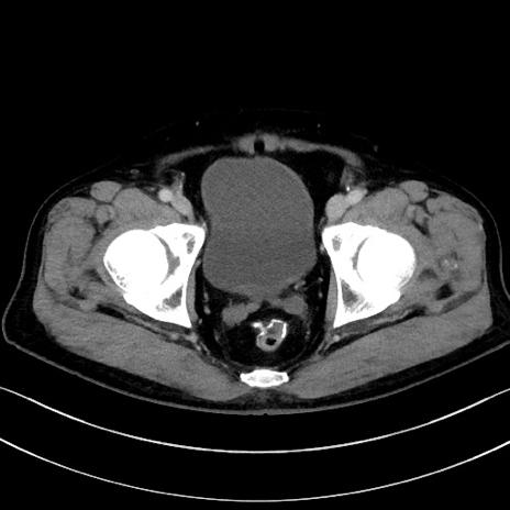
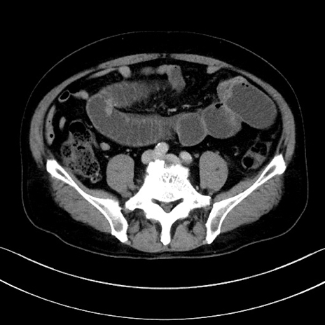
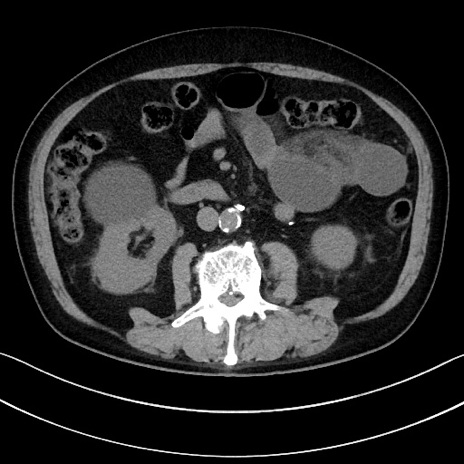
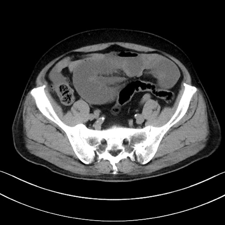
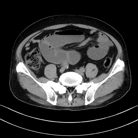
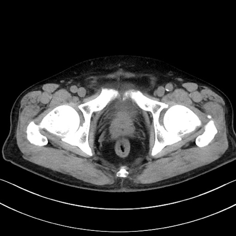
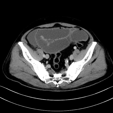
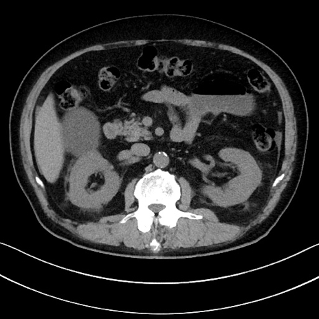
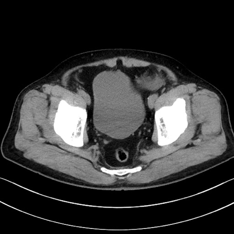
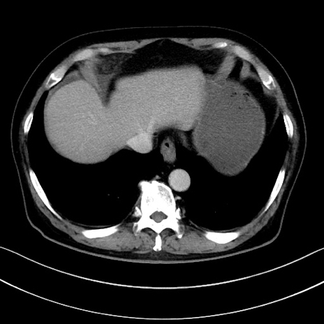
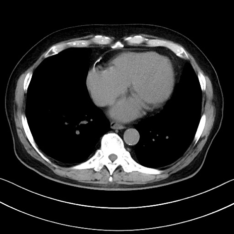
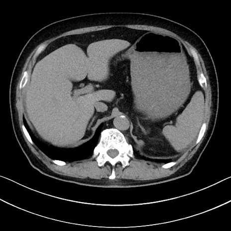
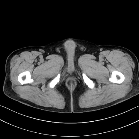
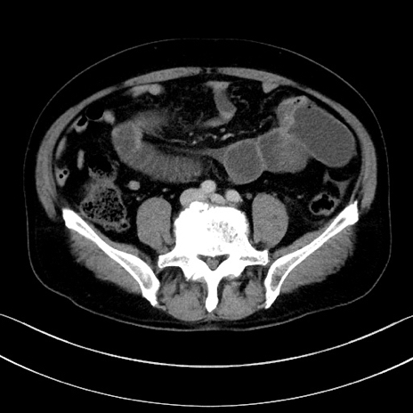
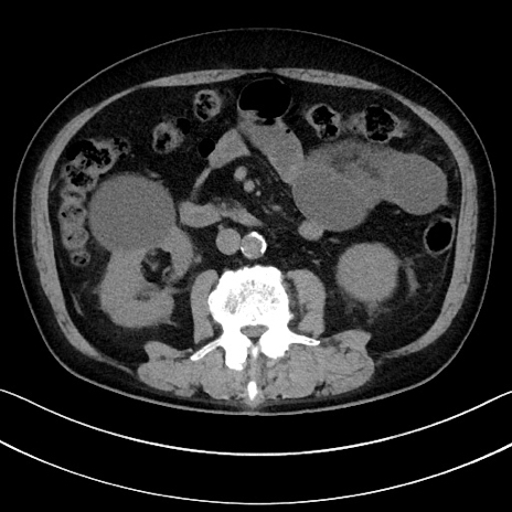
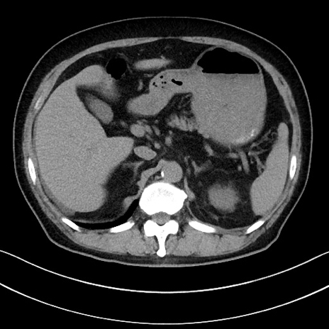
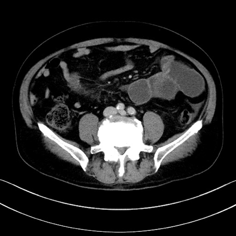
症例15(横断像)

 

症例

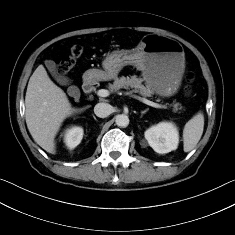
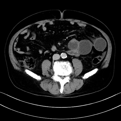
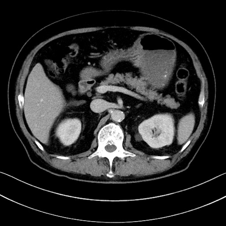
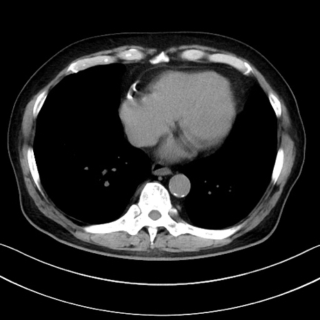
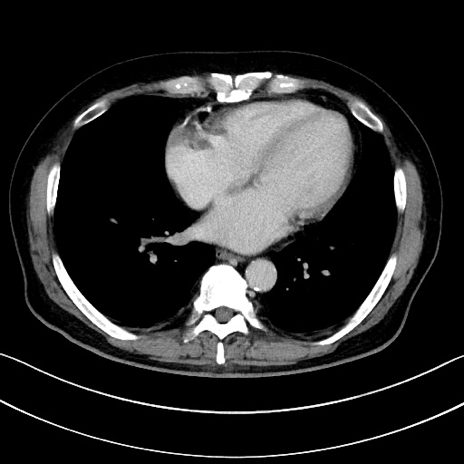
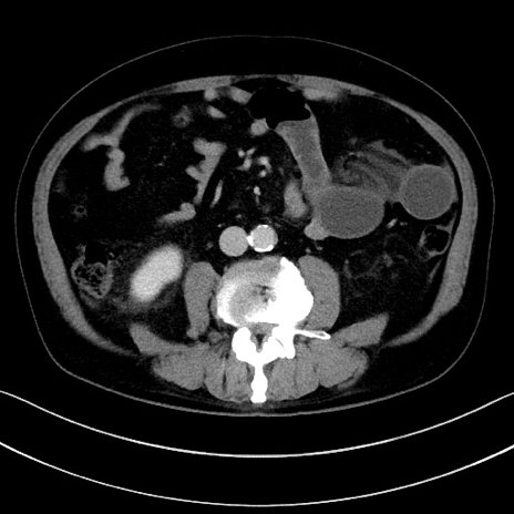
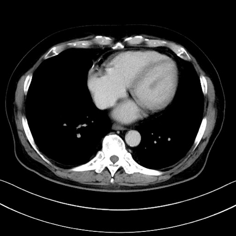
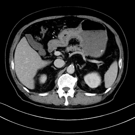
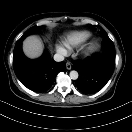
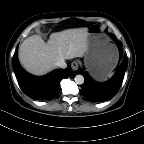
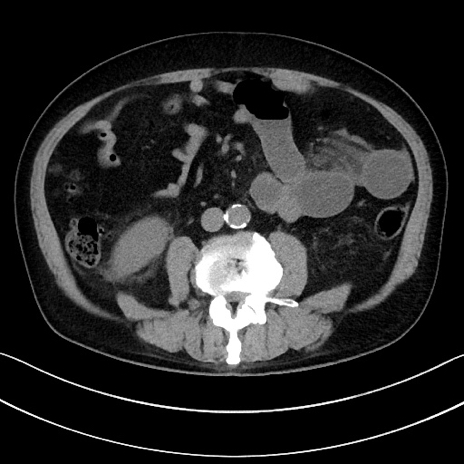
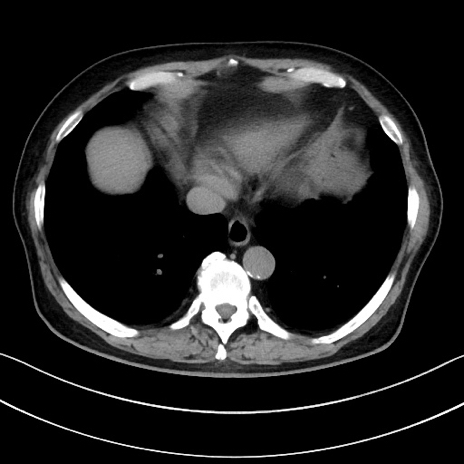
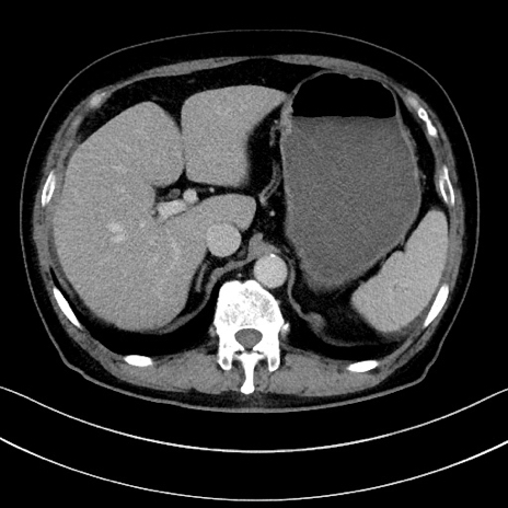
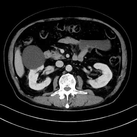
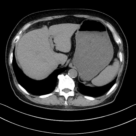
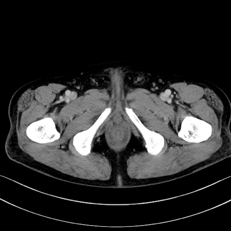
【症例】70歳代男性
【主訴】腹痛
【現病歴】今朝から腹痛あり。全体的に痛い。特に左上の方。排ガスが今日はない。冷や汗が出る。
【既往歴】直腸癌術後
【身体所見】左側腹部〜上腹部に圧痛あり。腹膜刺激症状明らかなではない。軽度反跳痛。左下腹部に術後瘢痕あり。
【データ】WBC 7700、CRP 0.02

冠状断像