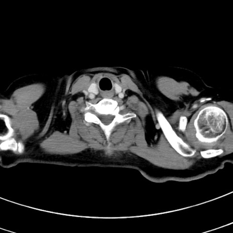
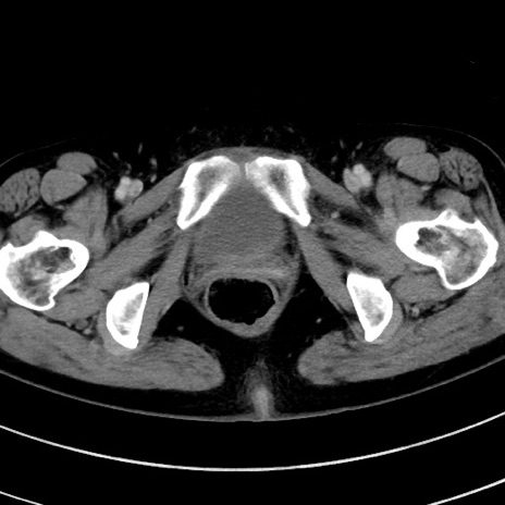
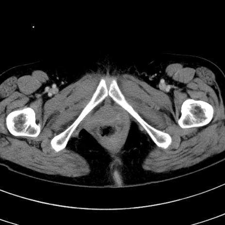
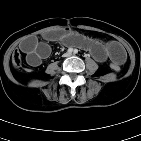
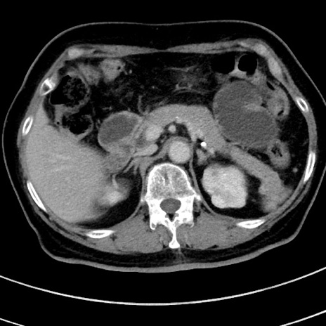
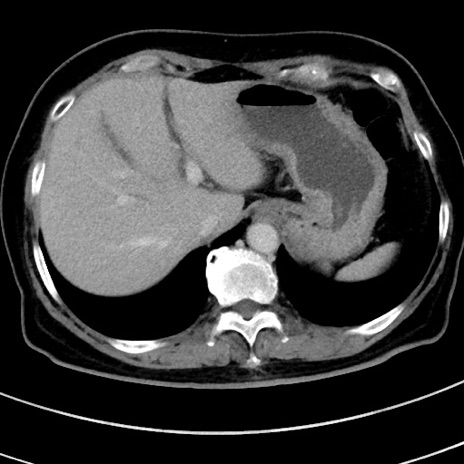
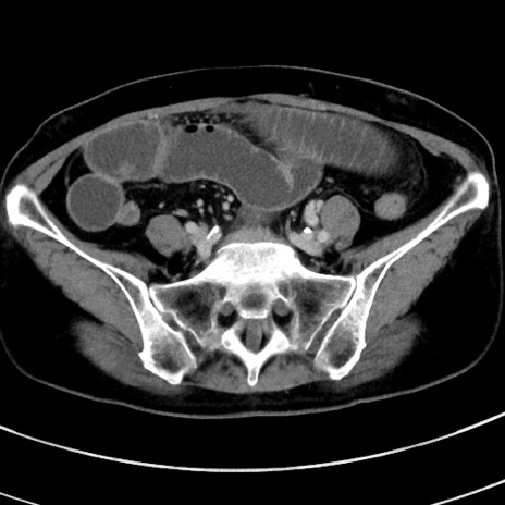
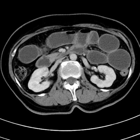
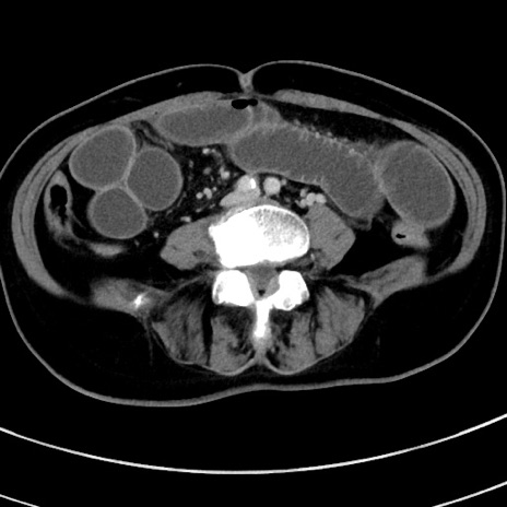
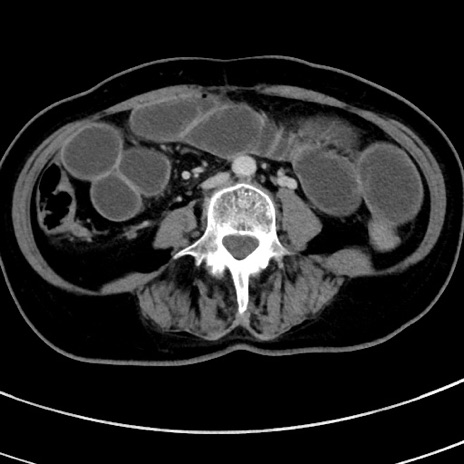
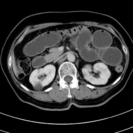
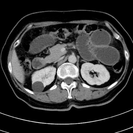
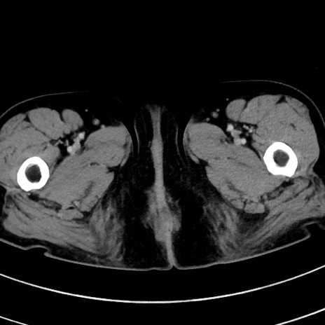
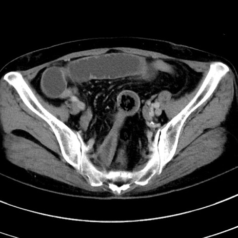
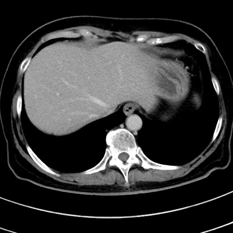
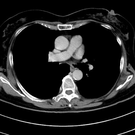
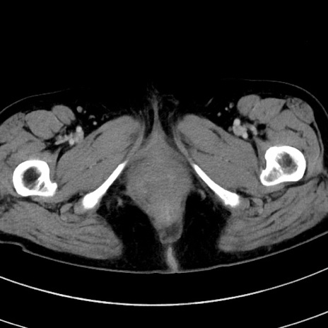
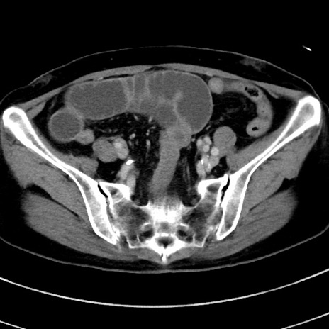
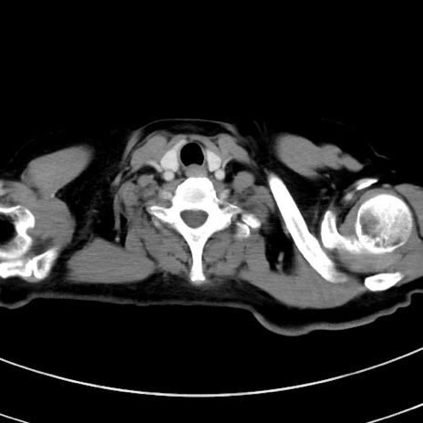
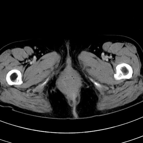
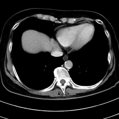
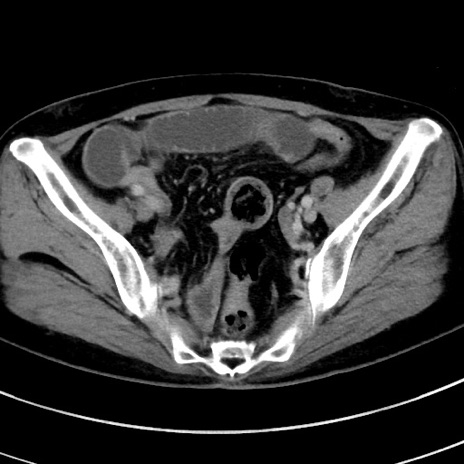
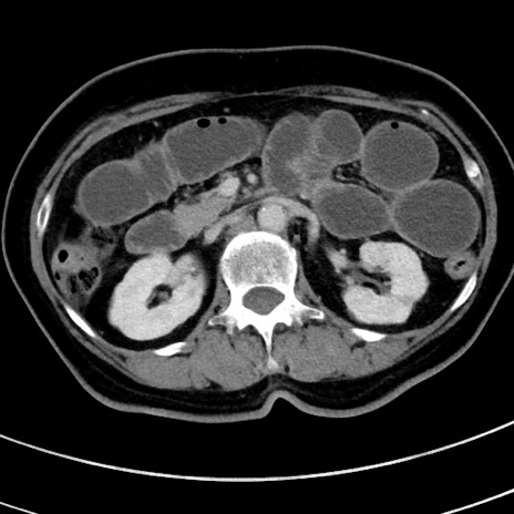
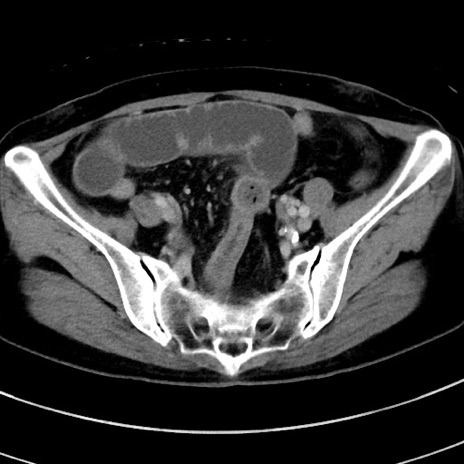
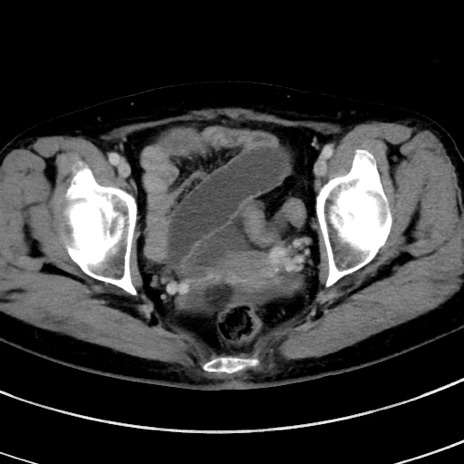
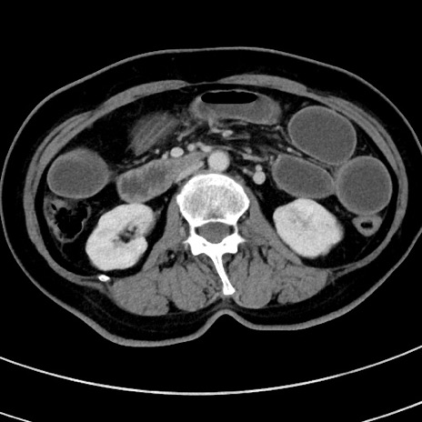
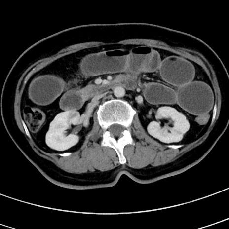
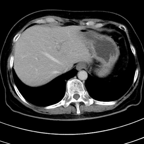
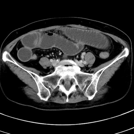
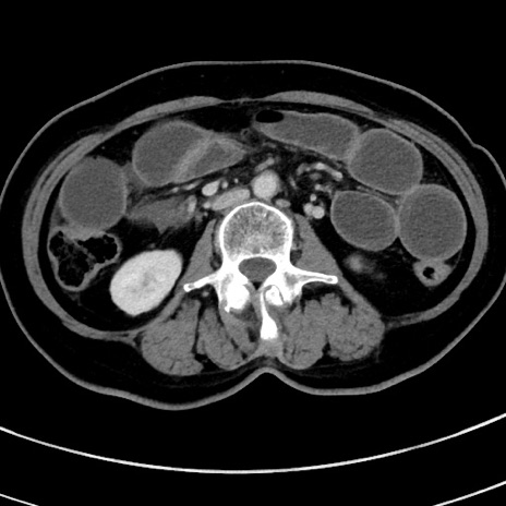
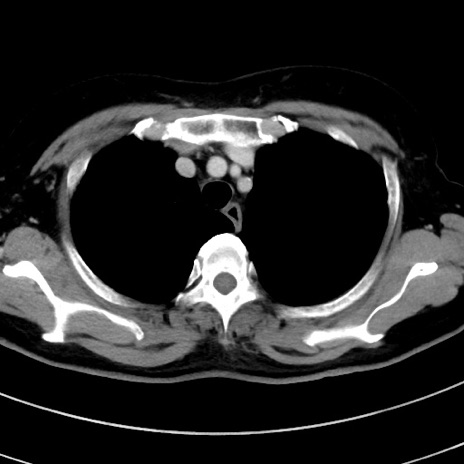
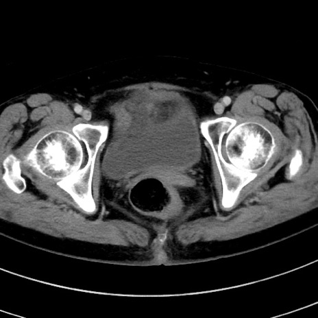
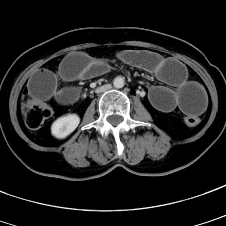
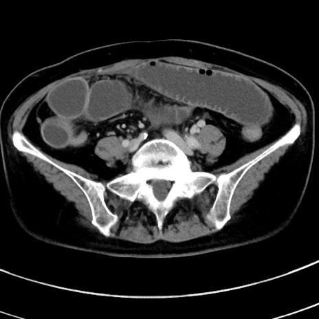
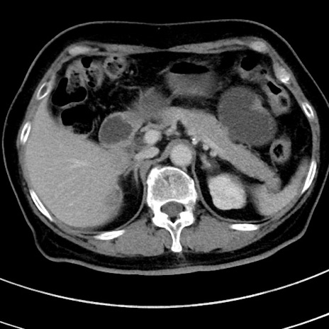
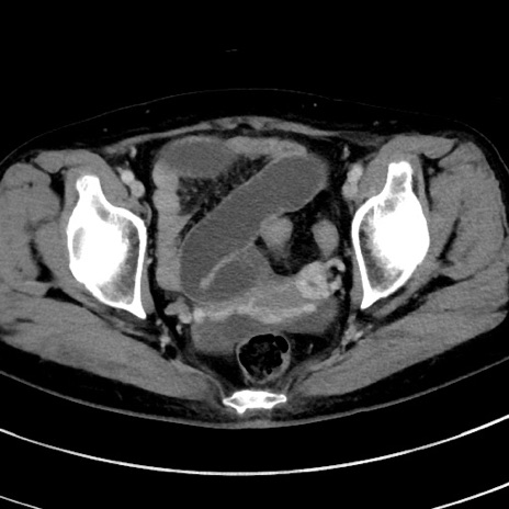
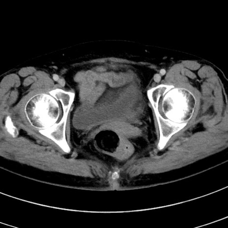
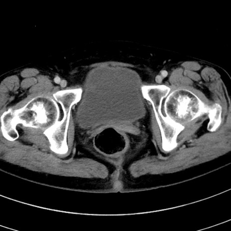
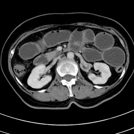
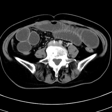
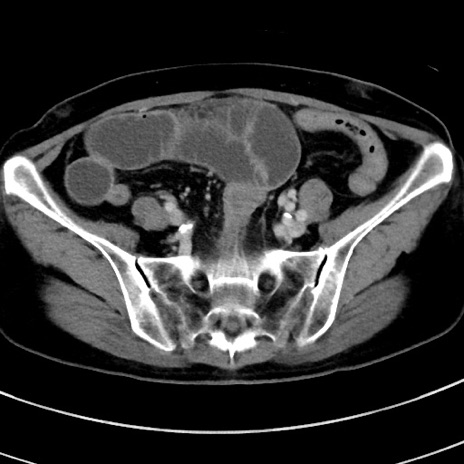
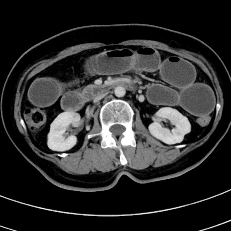
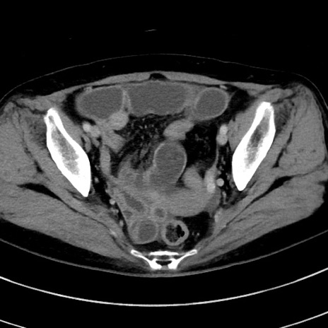
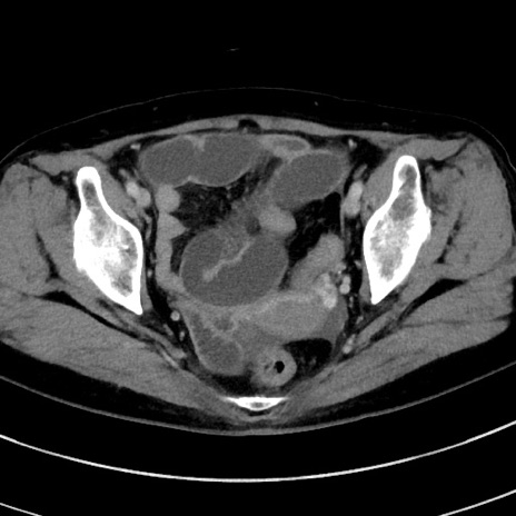
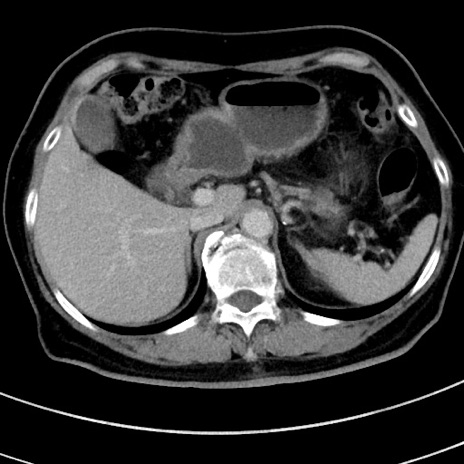
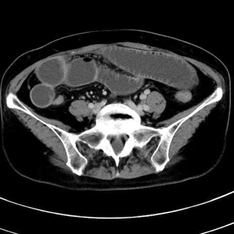
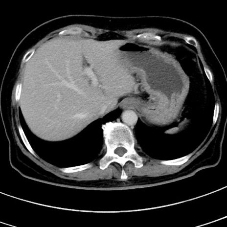
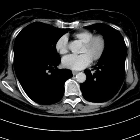
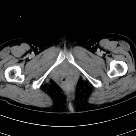
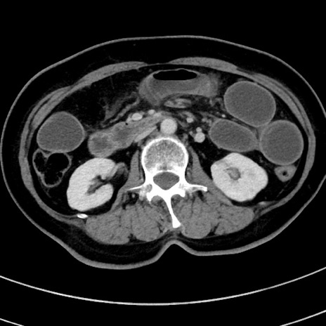
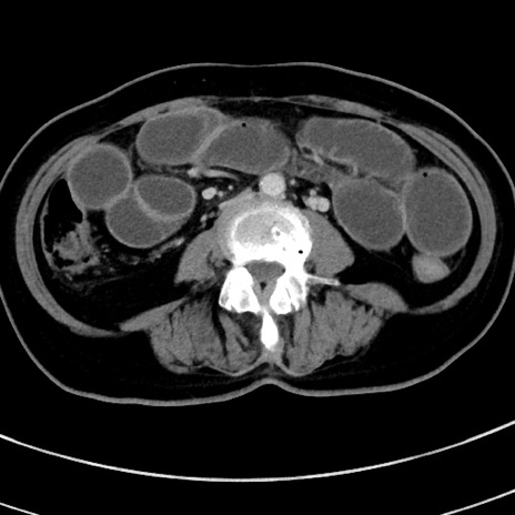
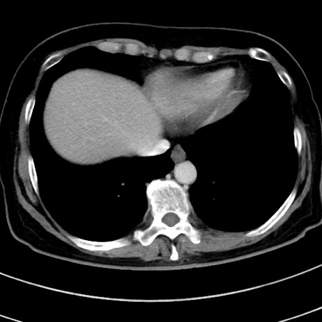
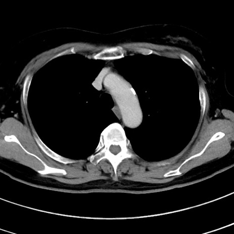
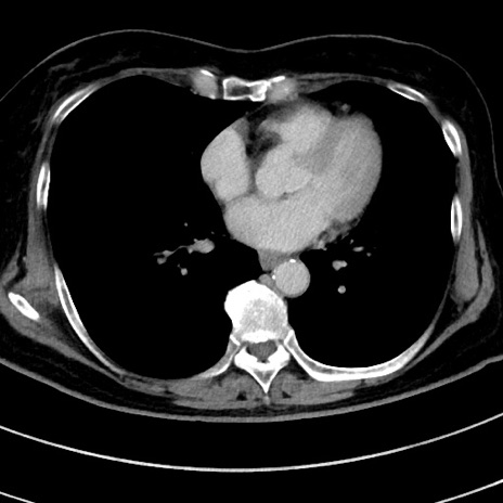
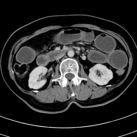
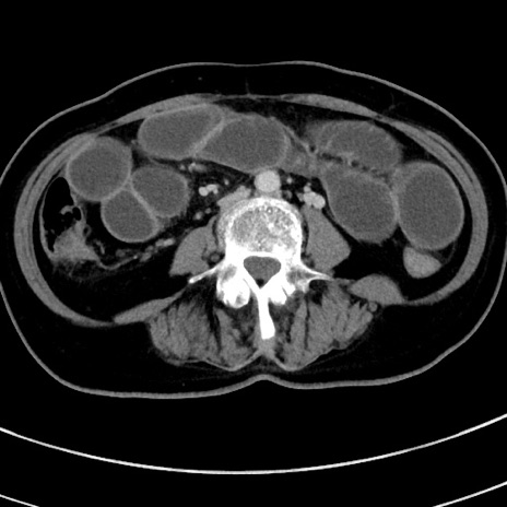
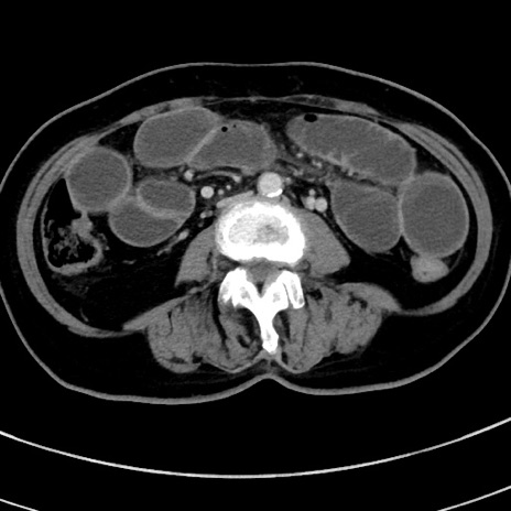
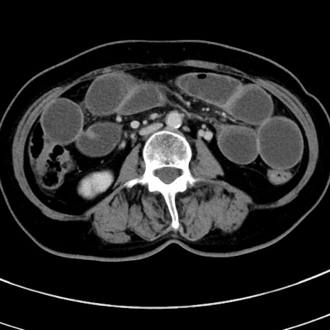
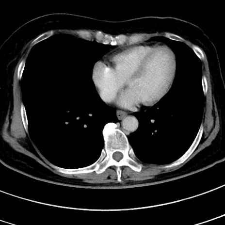
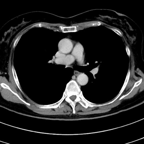
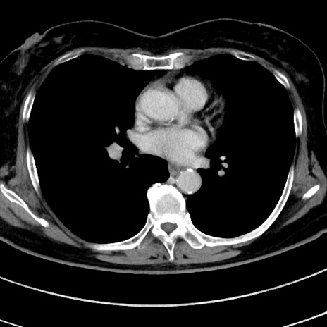
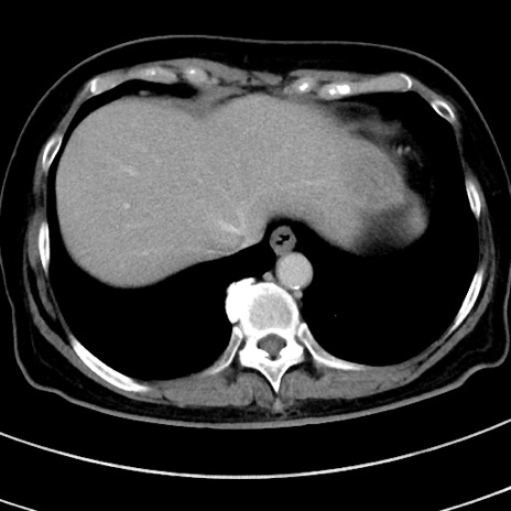
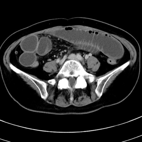
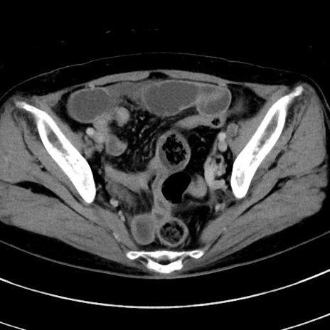
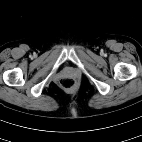
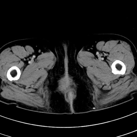
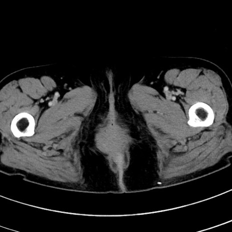
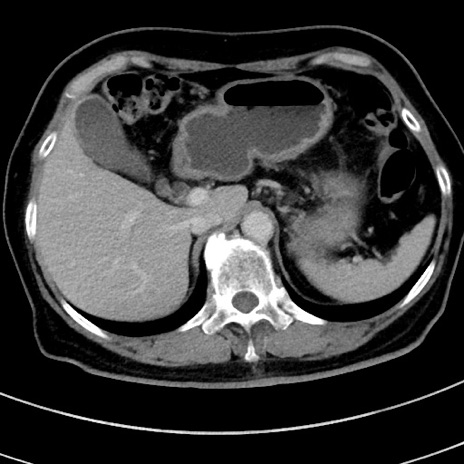
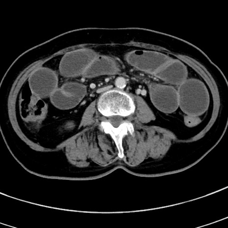
症例9(横断像)

 

症例

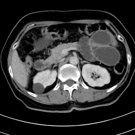
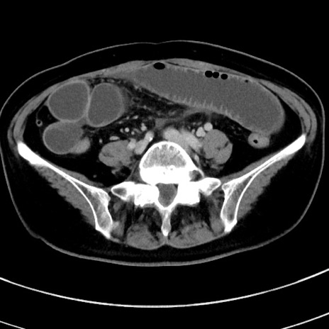
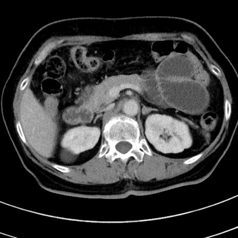
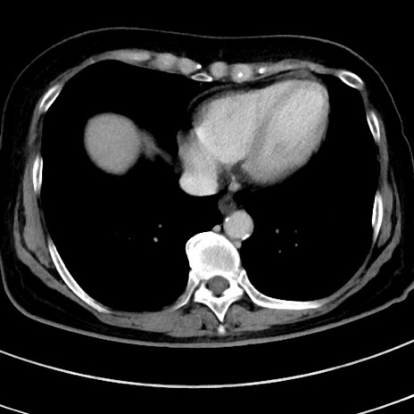
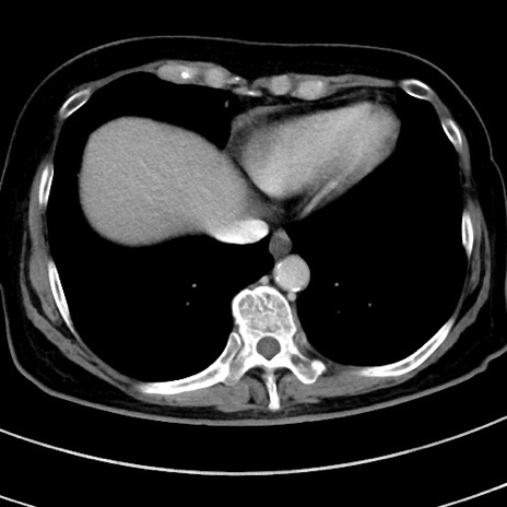
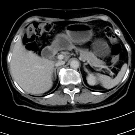
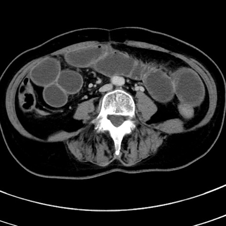
【症例】 60歳代女性
【主訴】むかつき、みぞおちの痛み
【現病歴】3日前よりむかつきがあり、食事がとれない。
【既往歴】糖尿病
【身体所見】発熱なし、心窩部圧痛軽度あるも、腹膜刺激症状なし。
【データ】WBC 7400、CRP 1.92

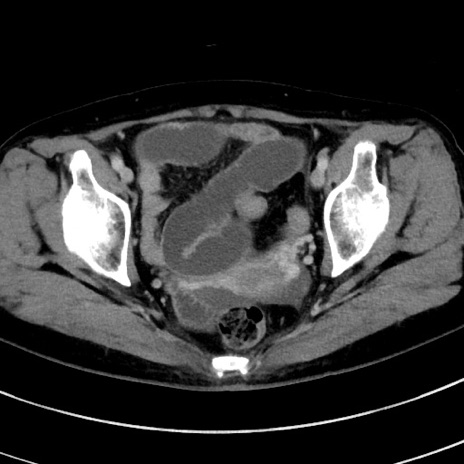
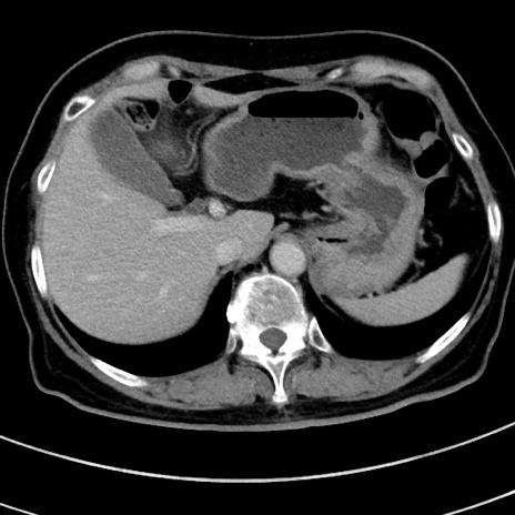
冠状断像