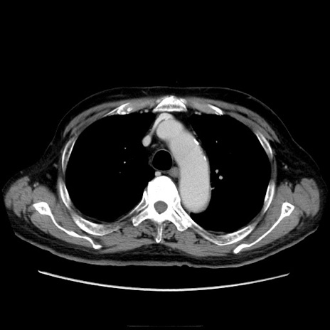
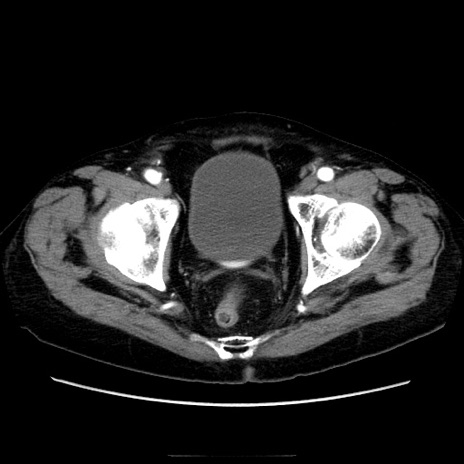
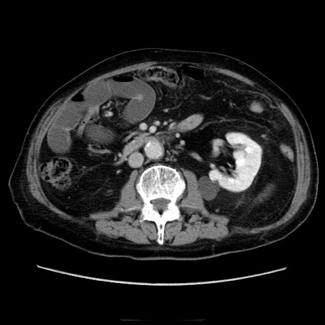
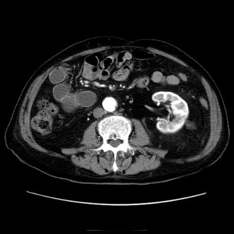
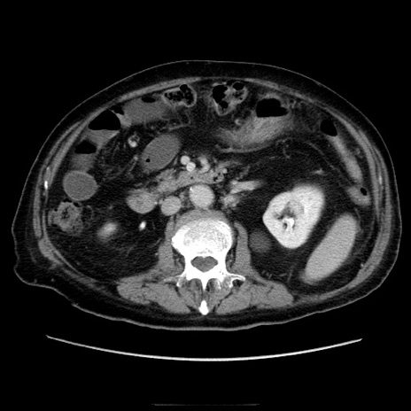
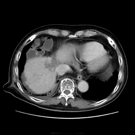
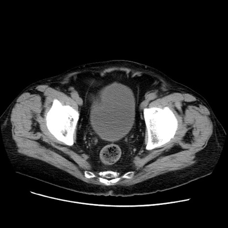
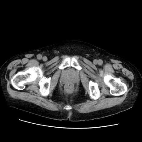
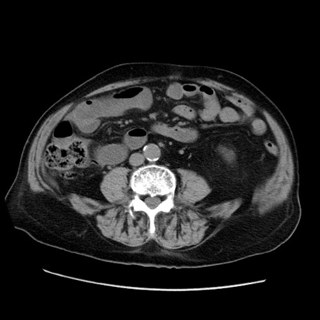
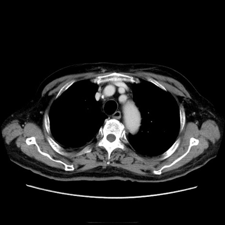
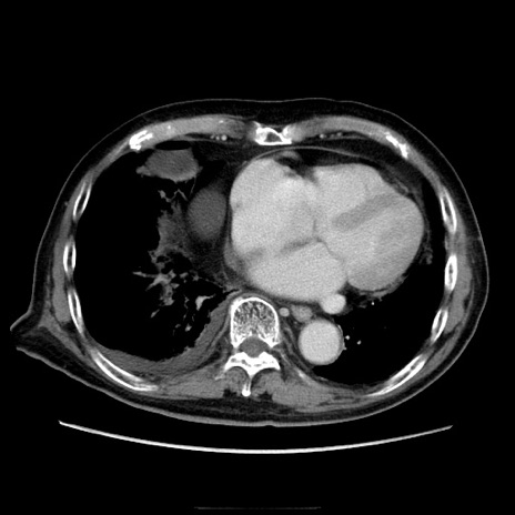
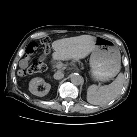
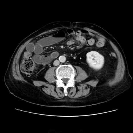
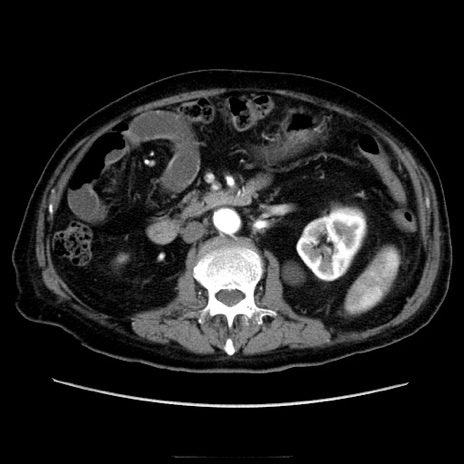
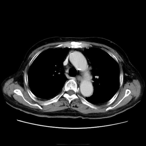
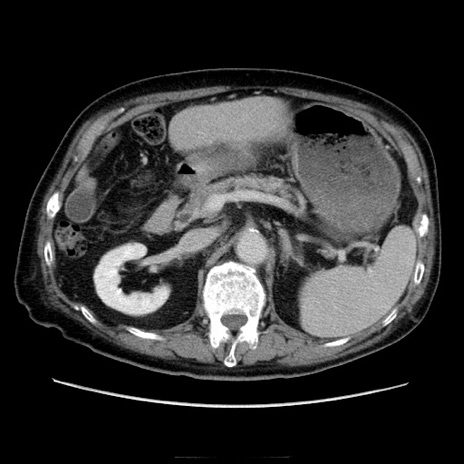
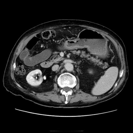
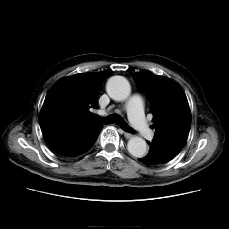
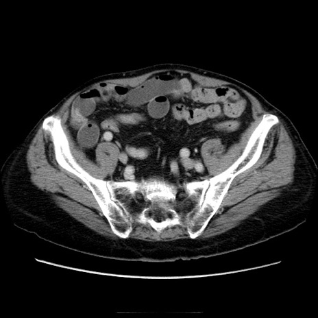
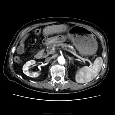
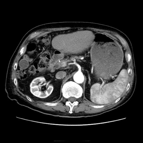
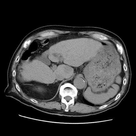
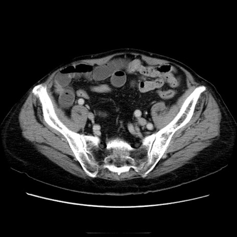
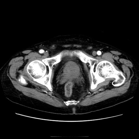
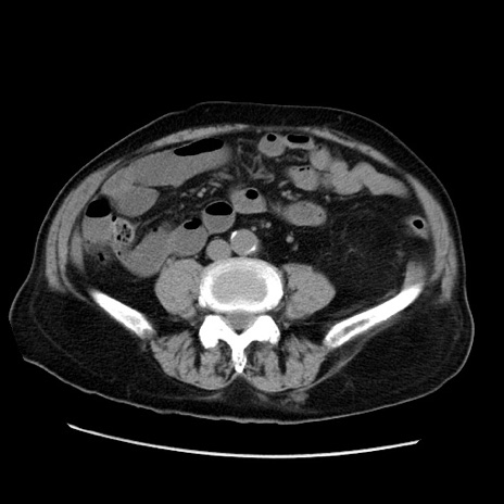
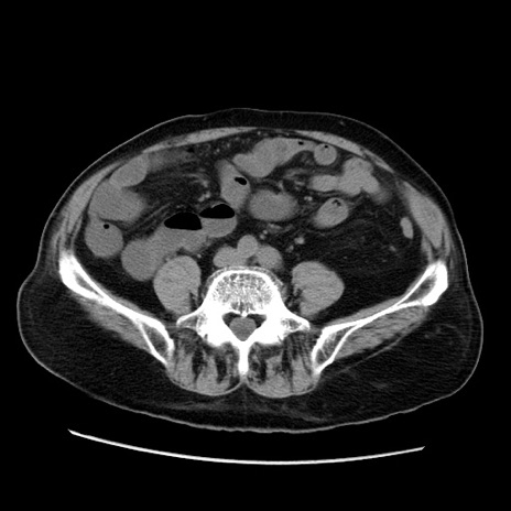
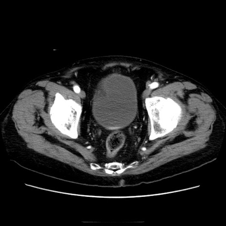
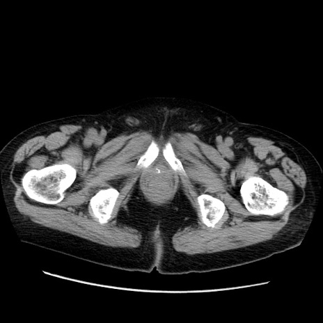
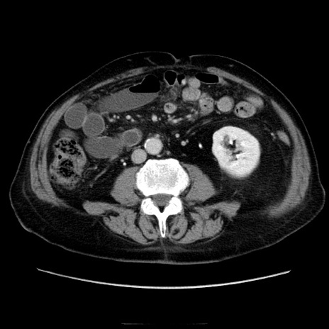
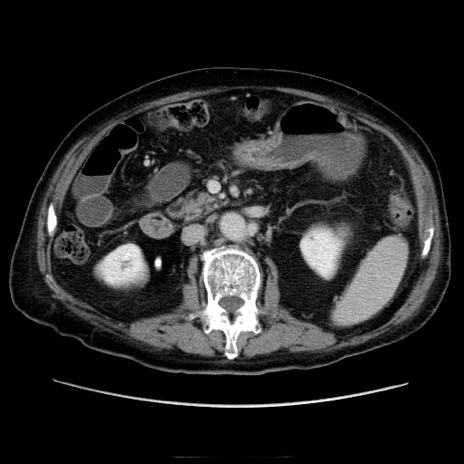
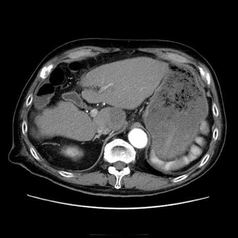
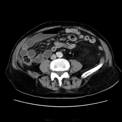
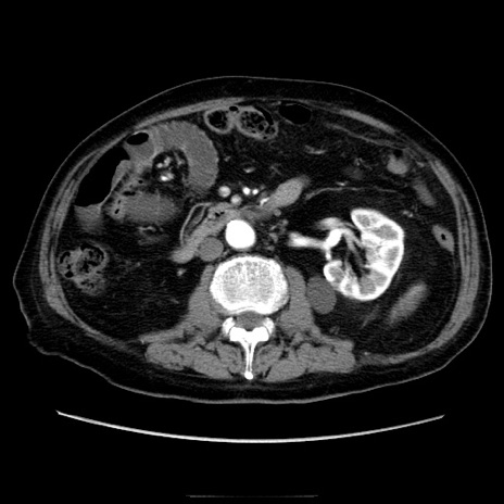
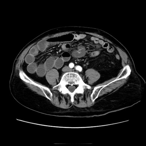
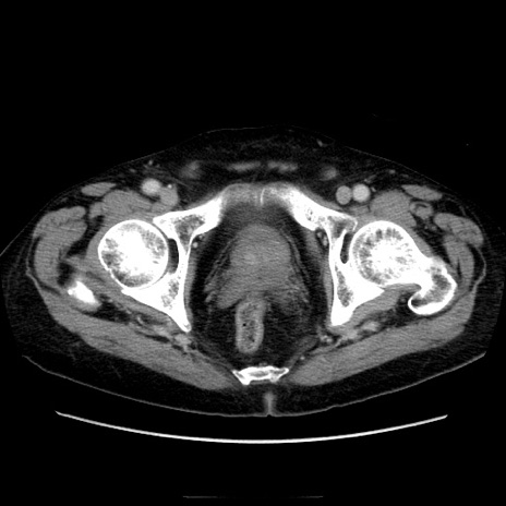
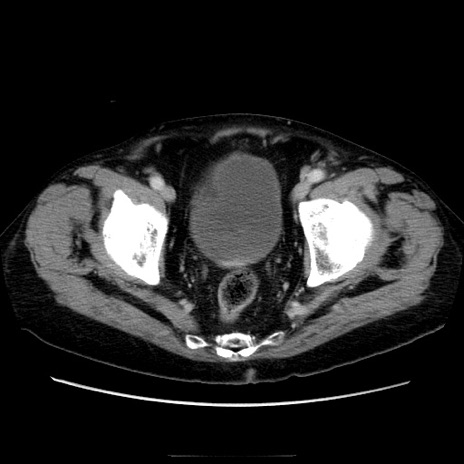
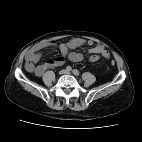
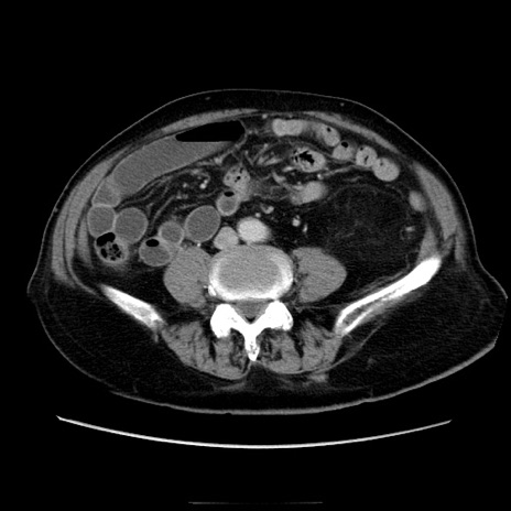
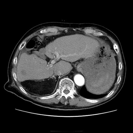
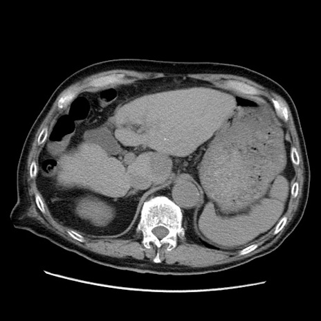
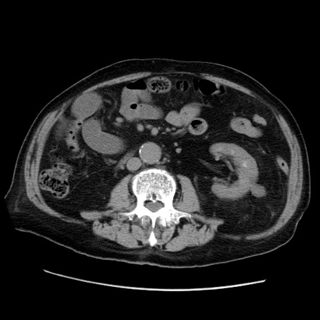
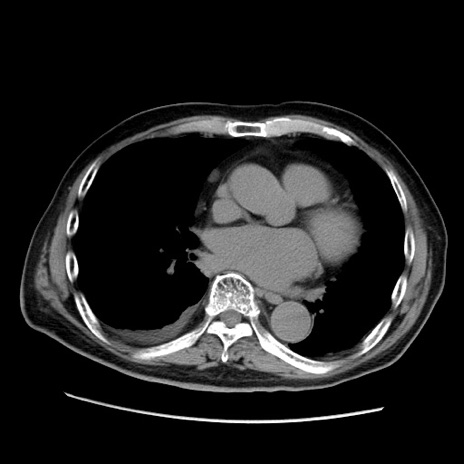
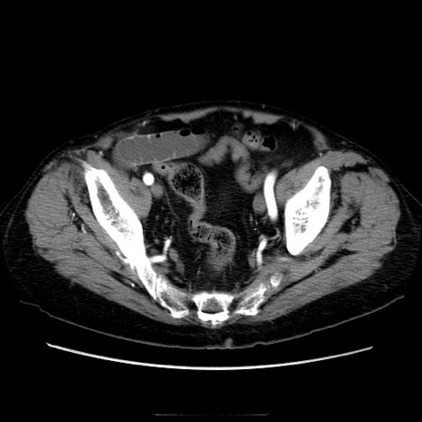
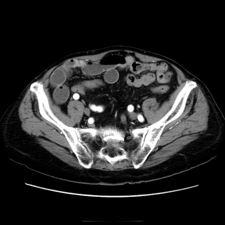
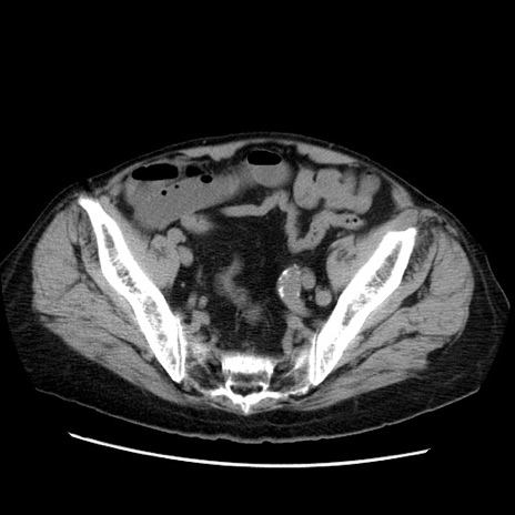
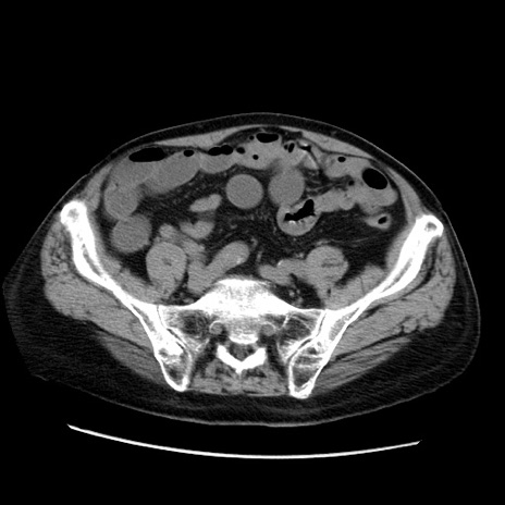
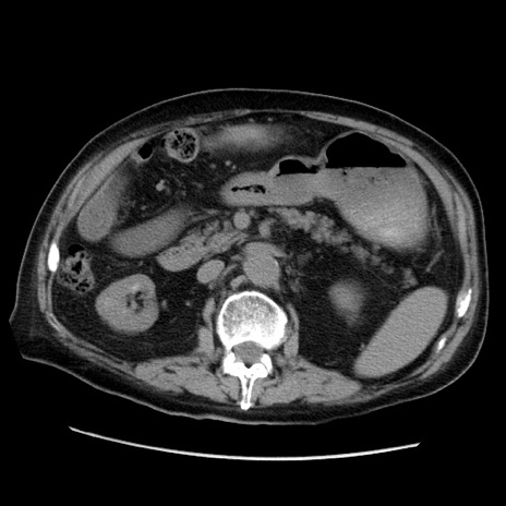
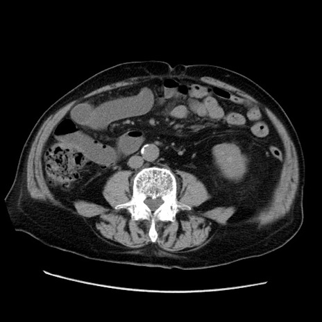
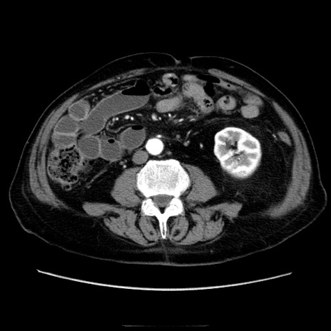
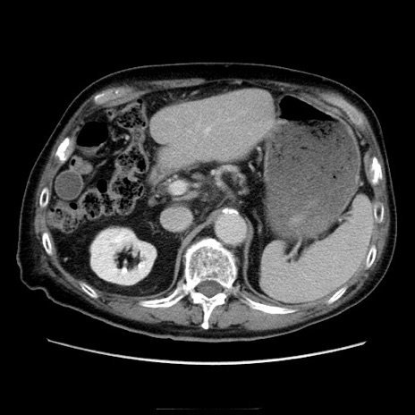
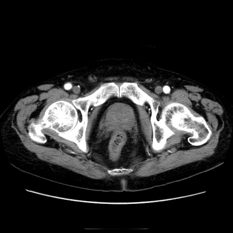
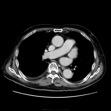
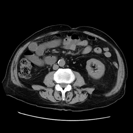
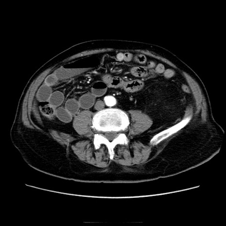
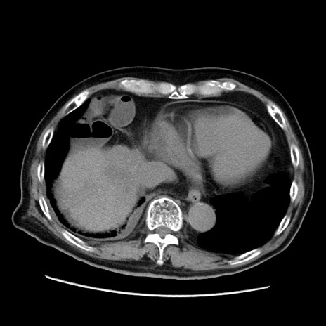
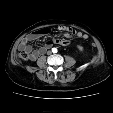
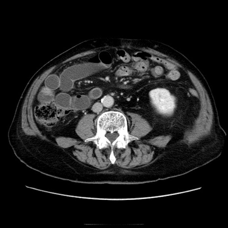
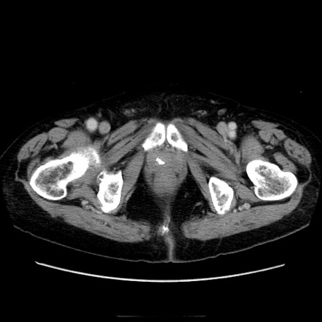
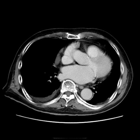
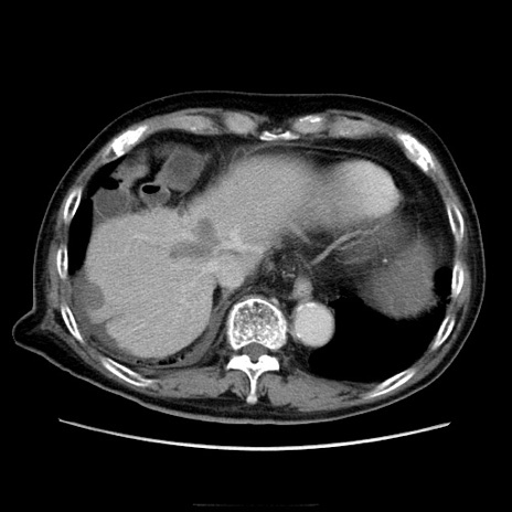
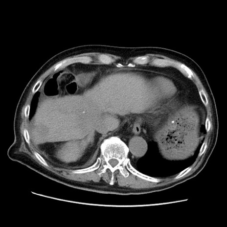
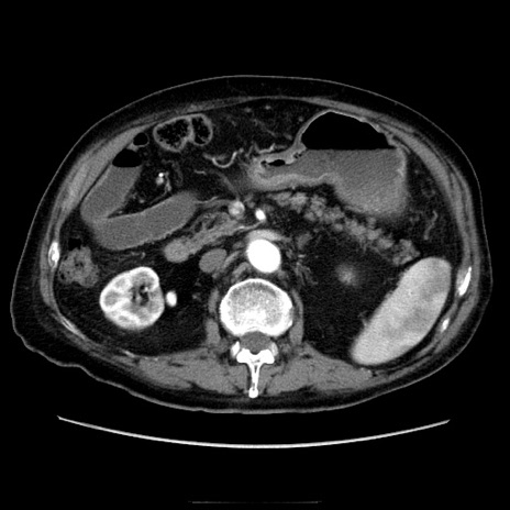
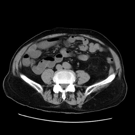
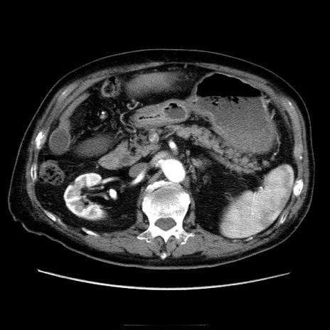
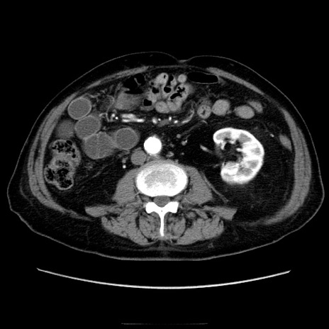
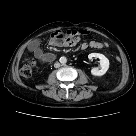
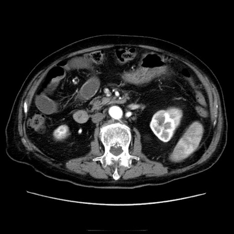
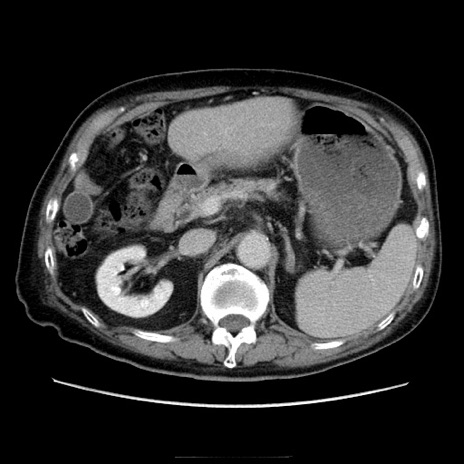
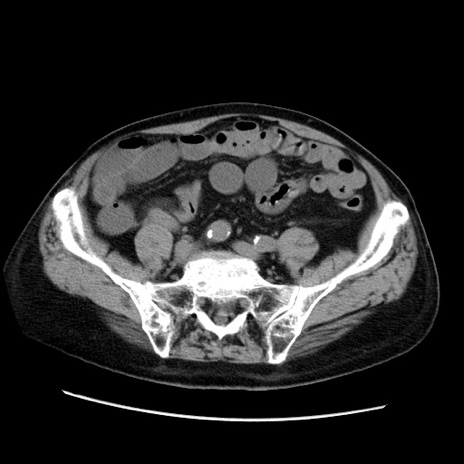
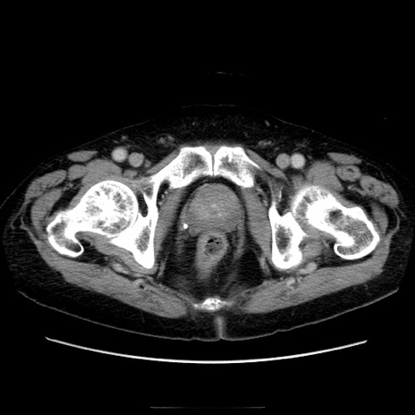
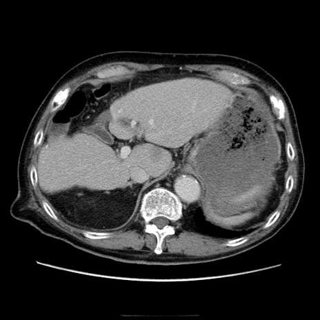
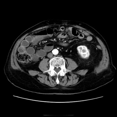
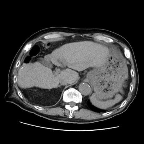
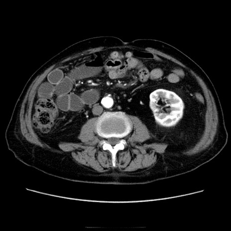
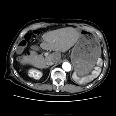
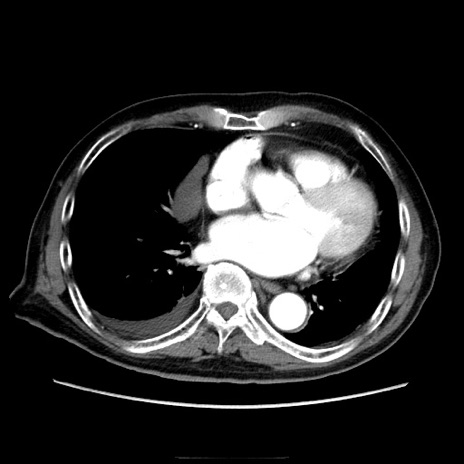
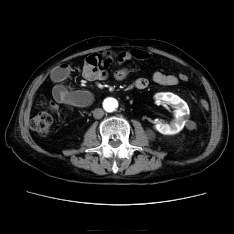
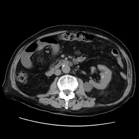
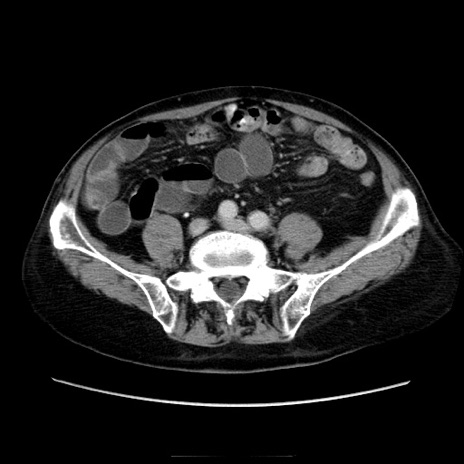
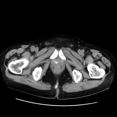
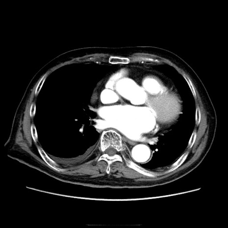
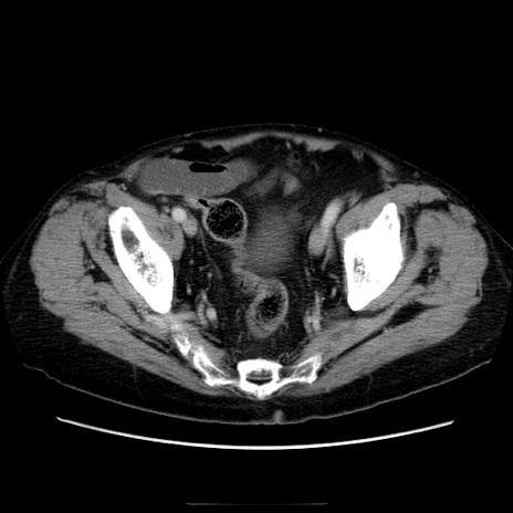
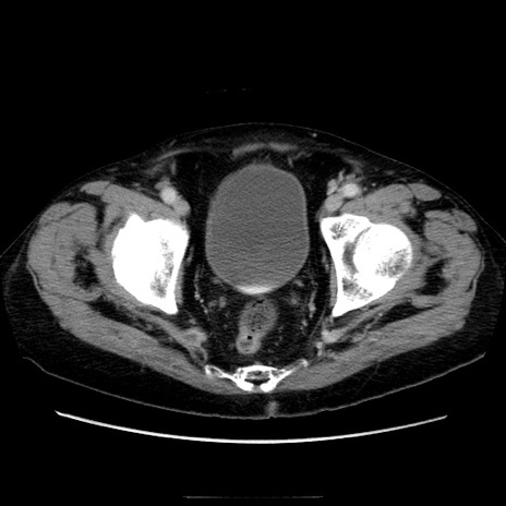
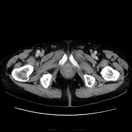
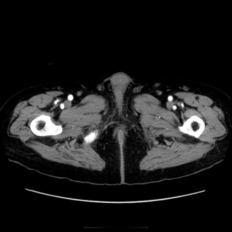
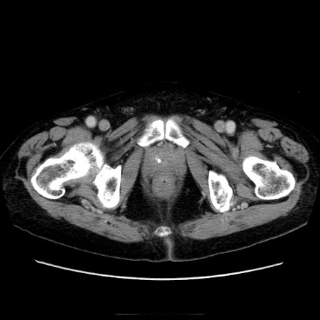
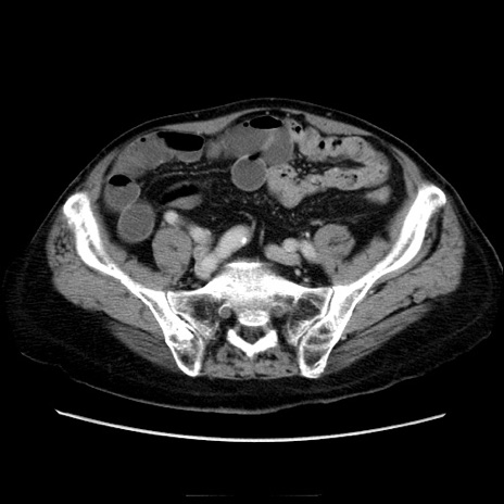
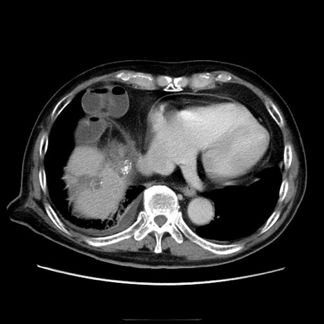
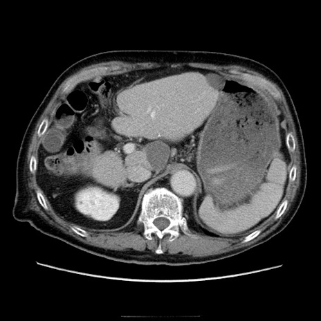
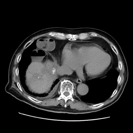
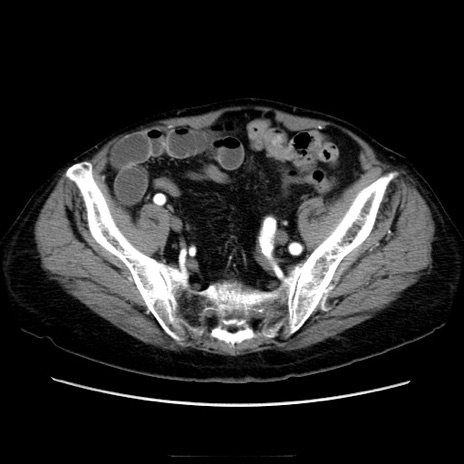
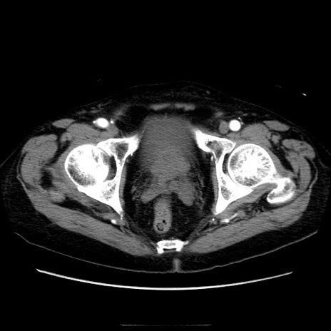
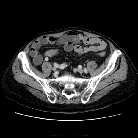
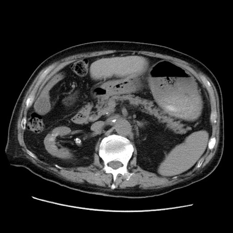
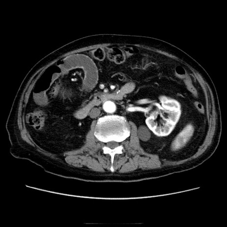
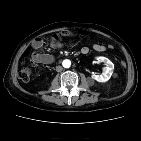
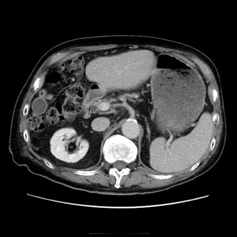
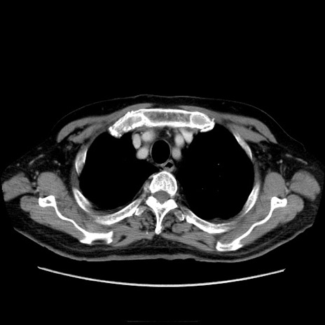
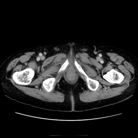
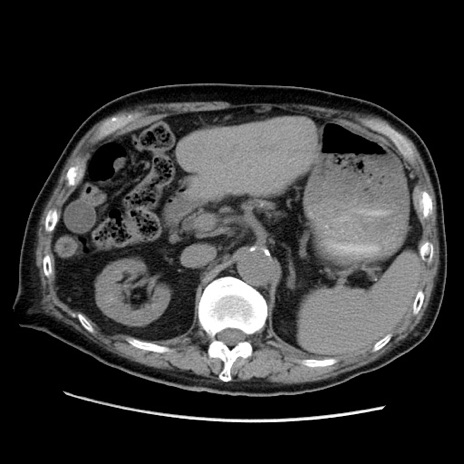
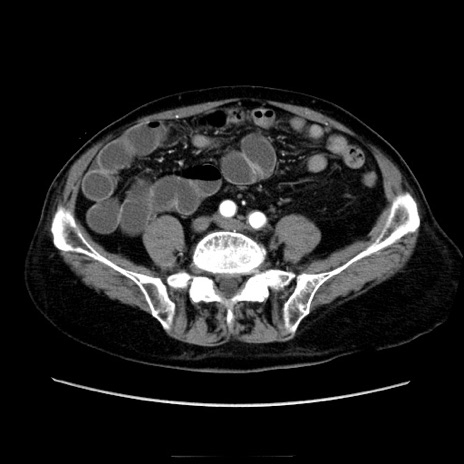
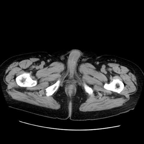
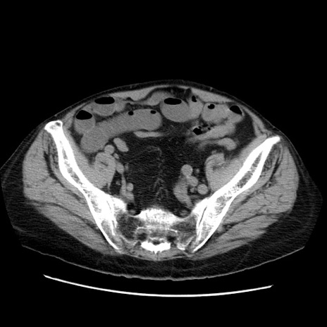
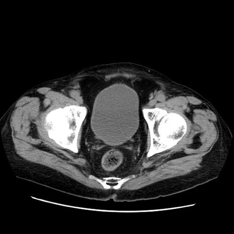
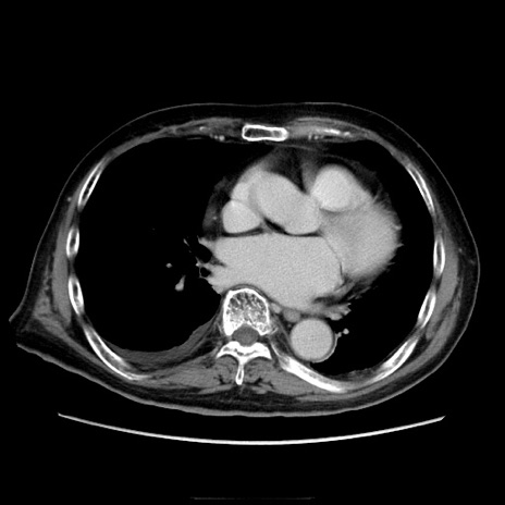
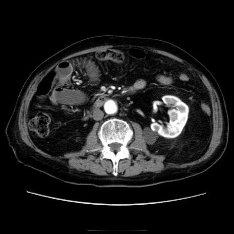
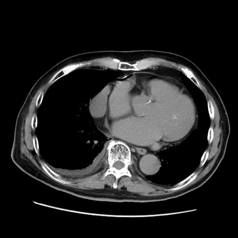
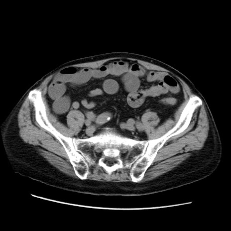
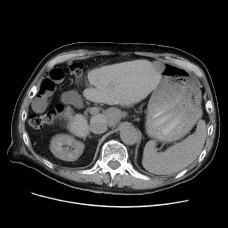
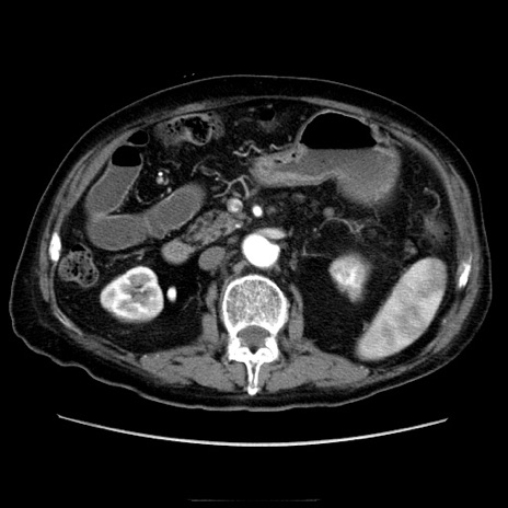
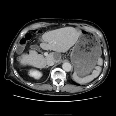
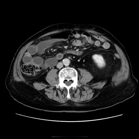
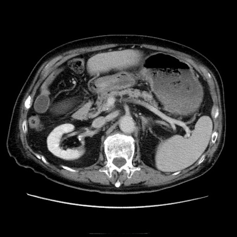
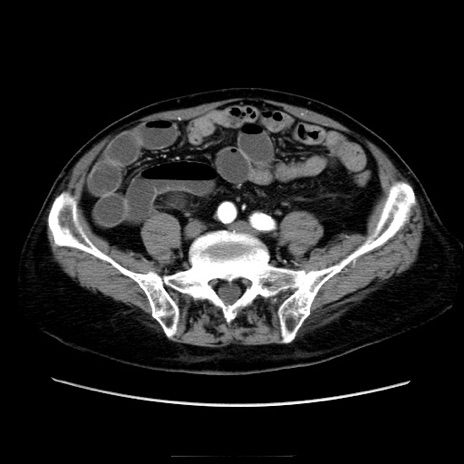
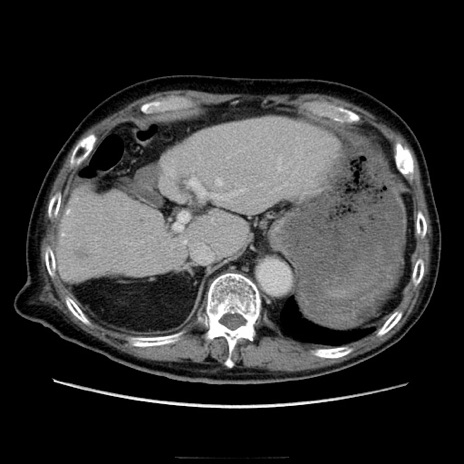
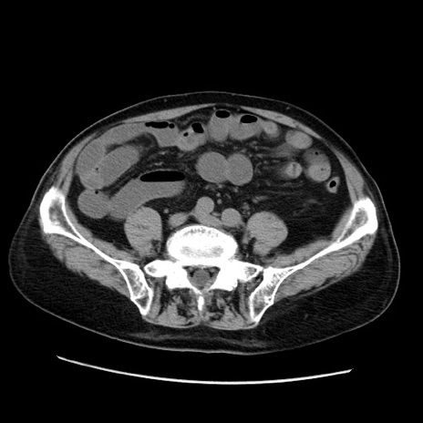
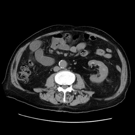
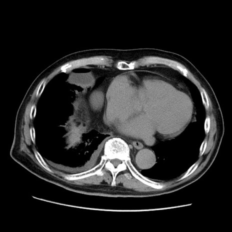
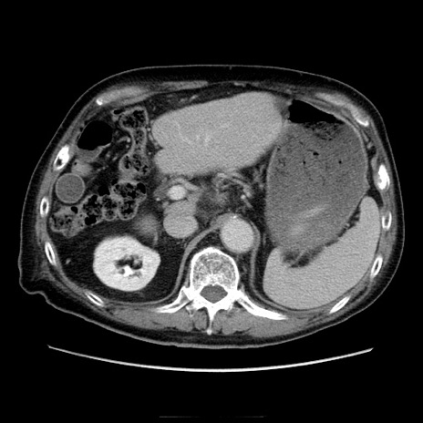
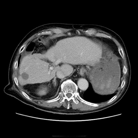
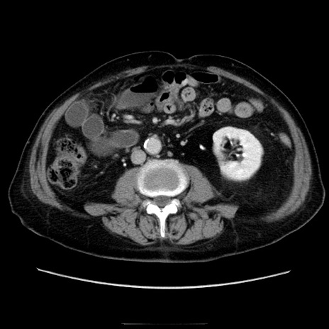
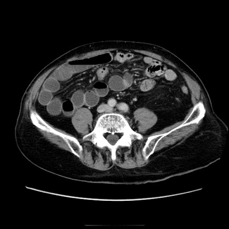
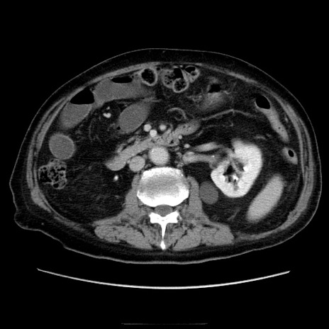
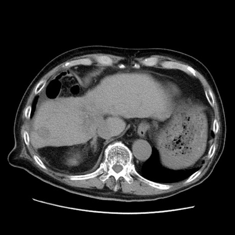
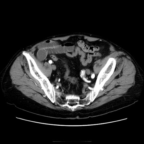
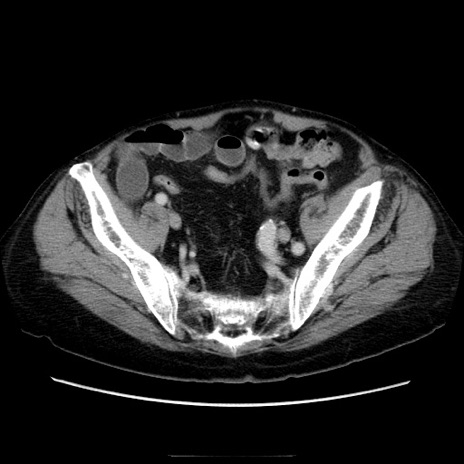
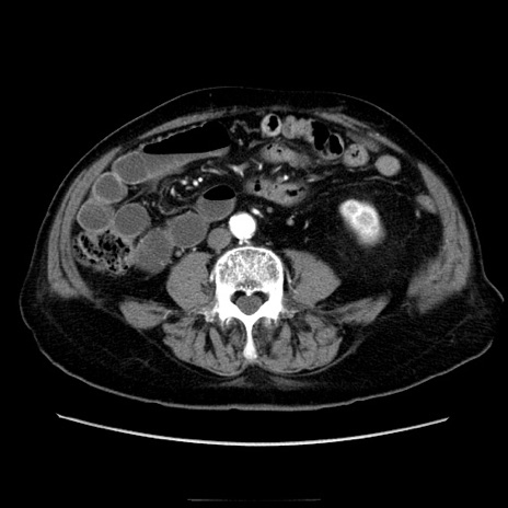
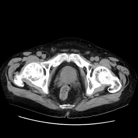
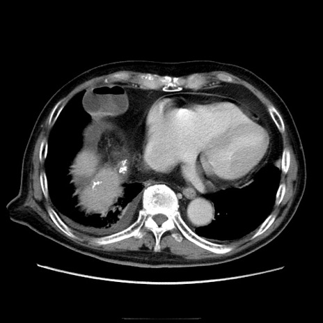
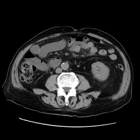
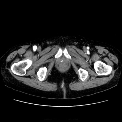
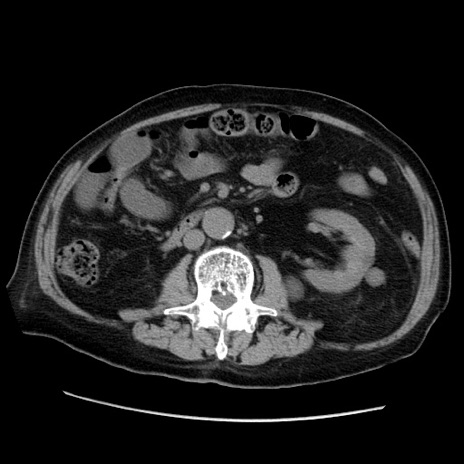
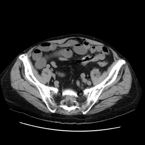
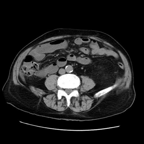
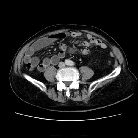
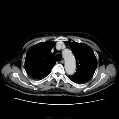
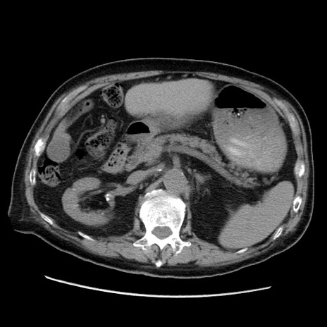
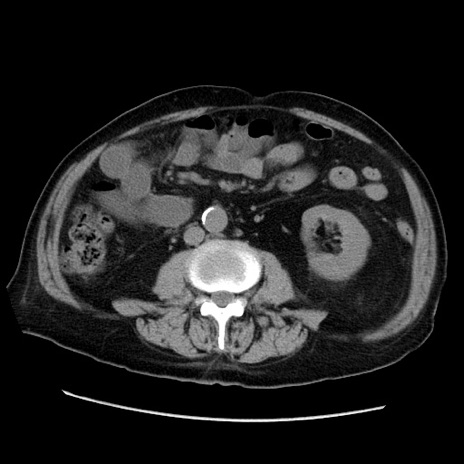
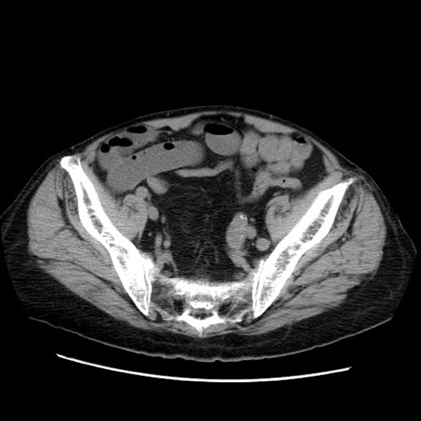
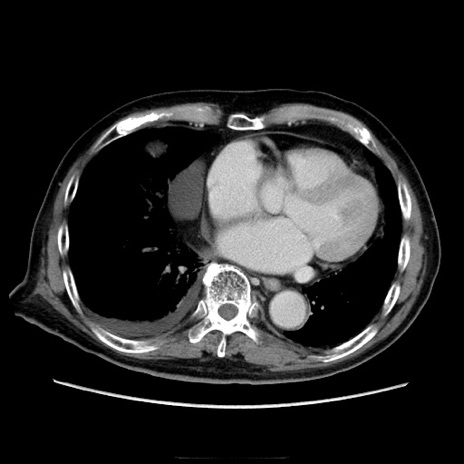
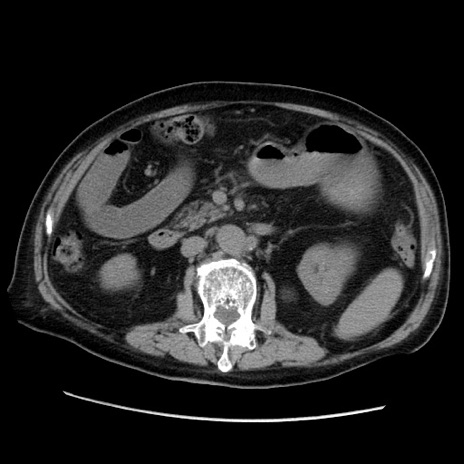
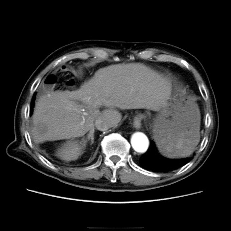
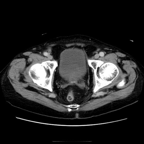
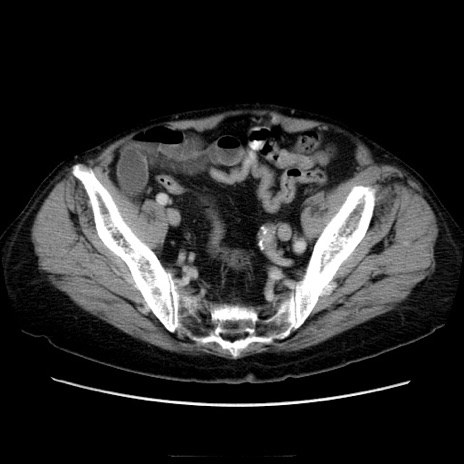
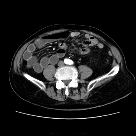
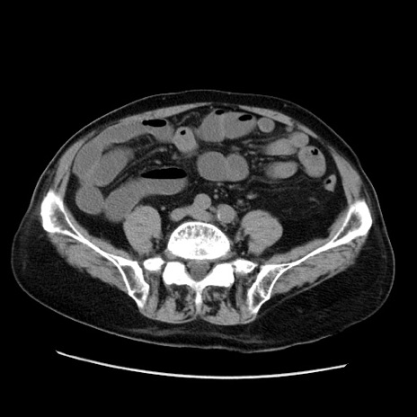
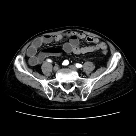
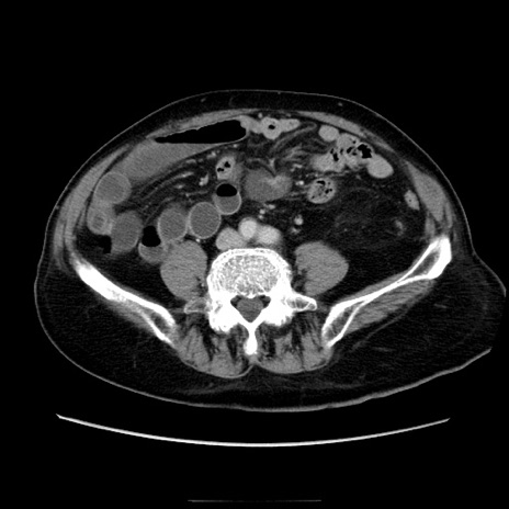
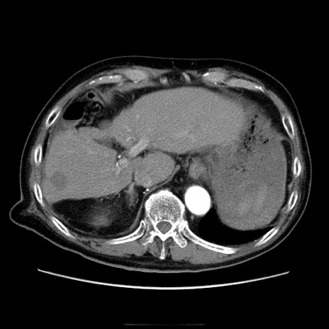
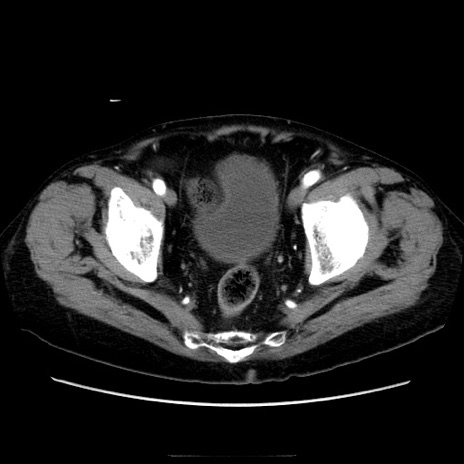
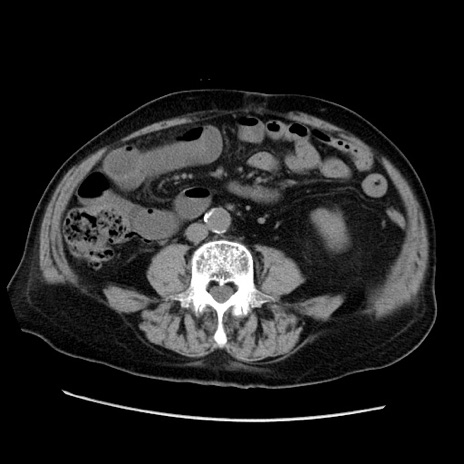
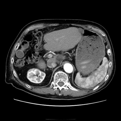
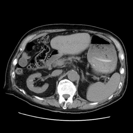
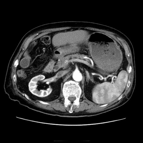
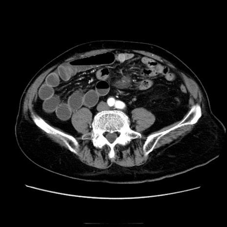
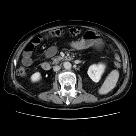
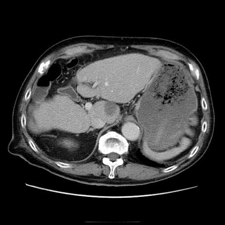
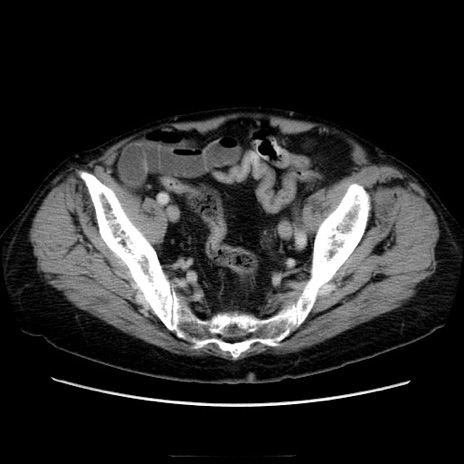
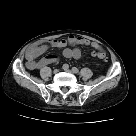
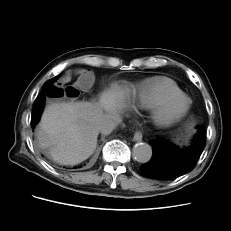
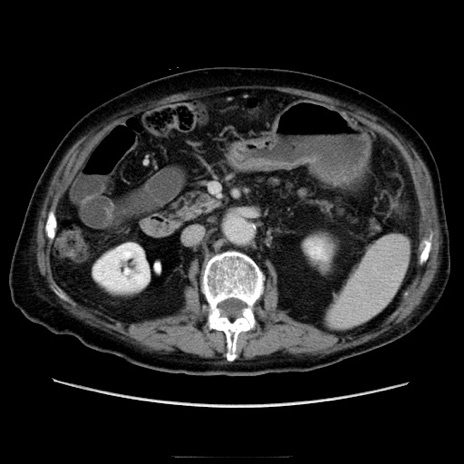
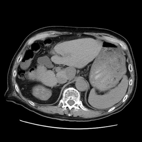
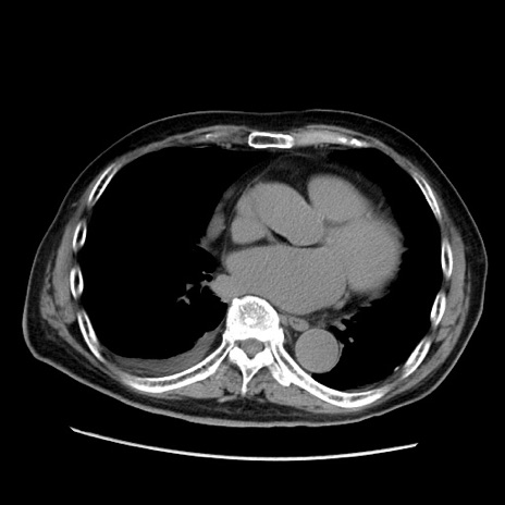
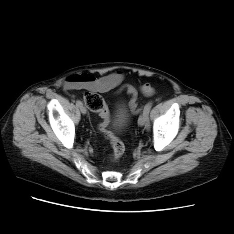
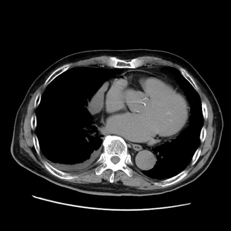
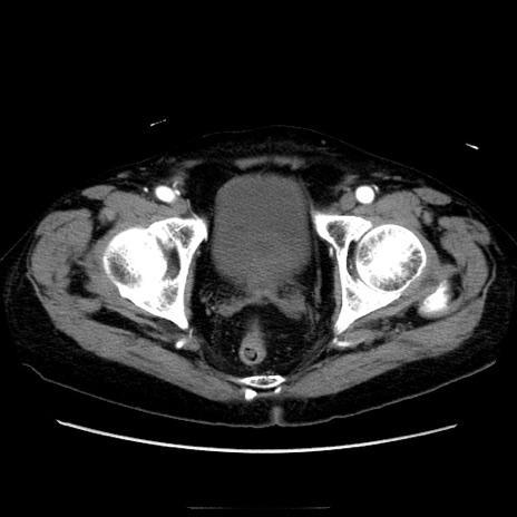
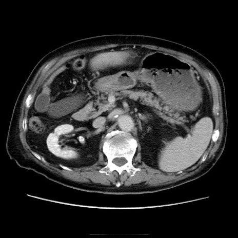
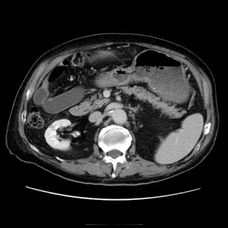
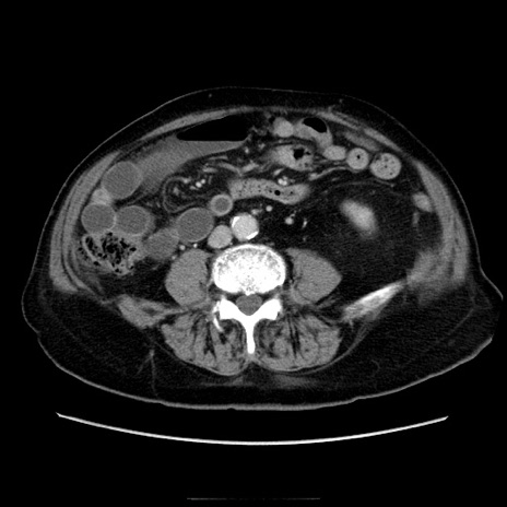
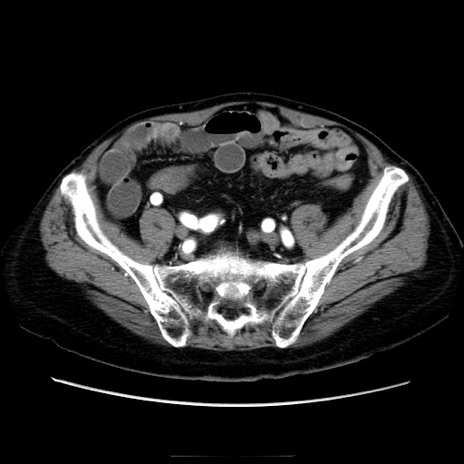
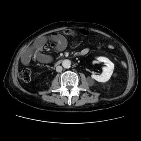
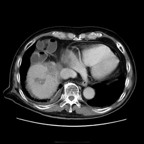
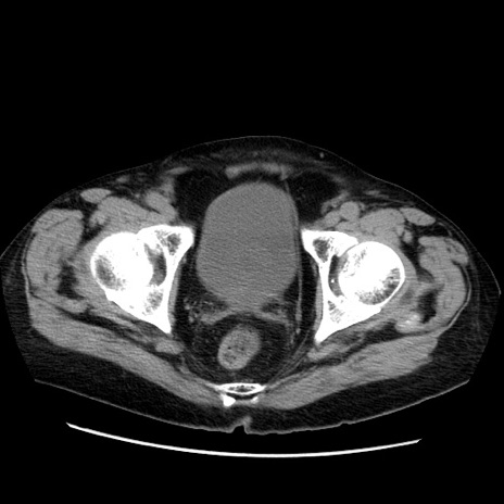
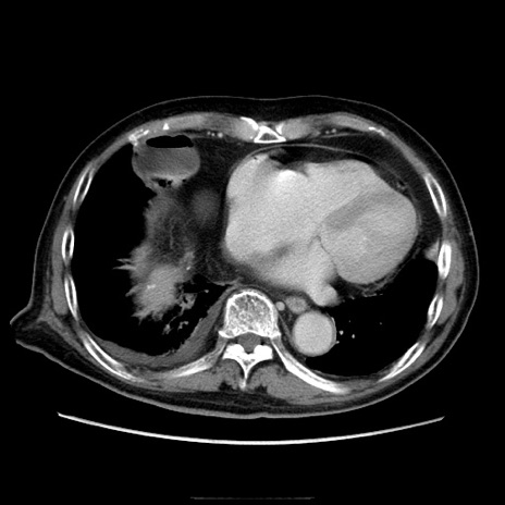
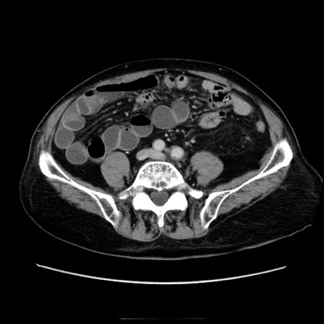
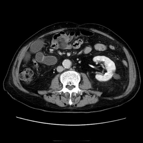
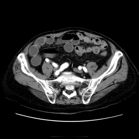
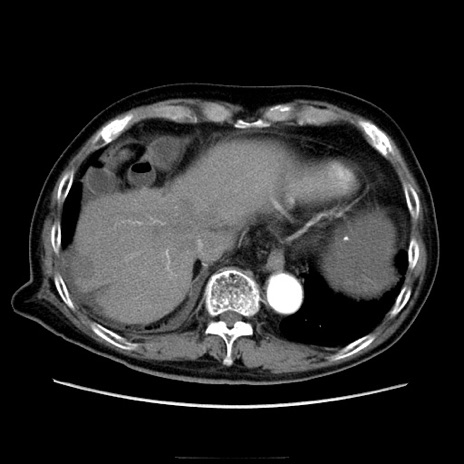
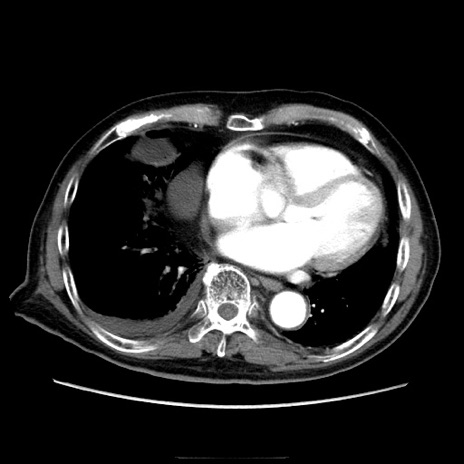
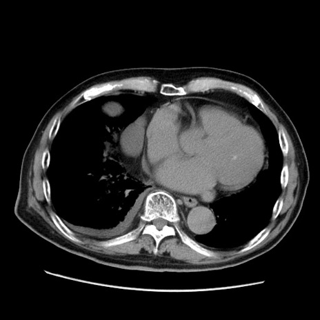
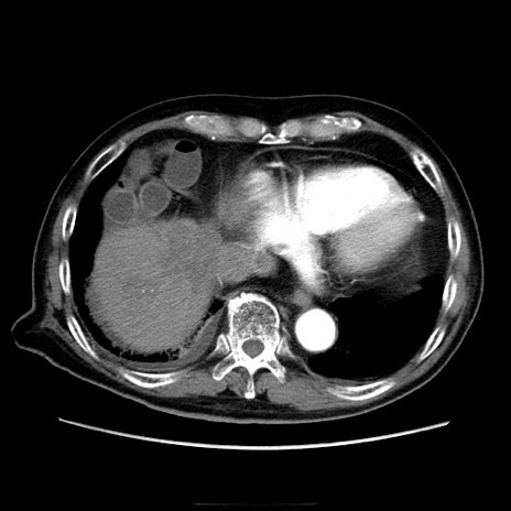
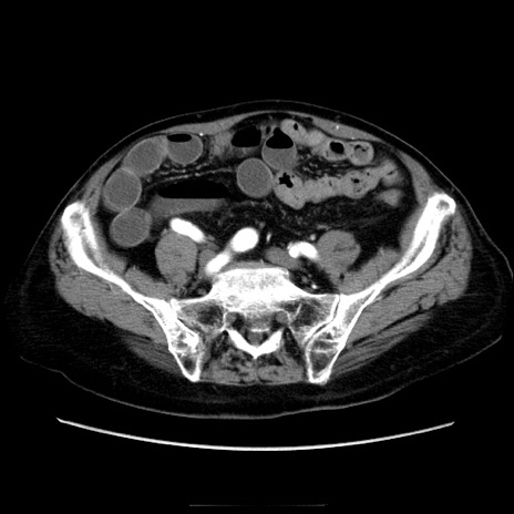
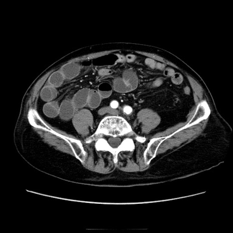
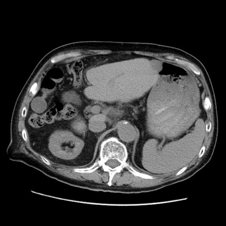
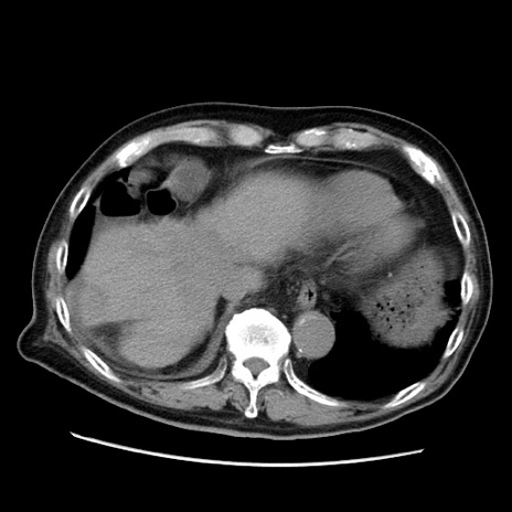
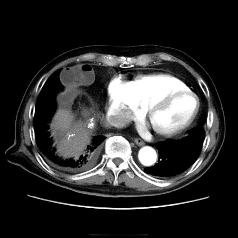
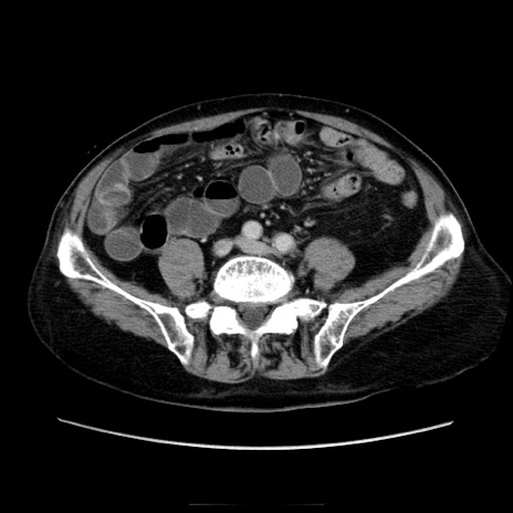
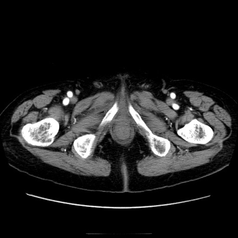
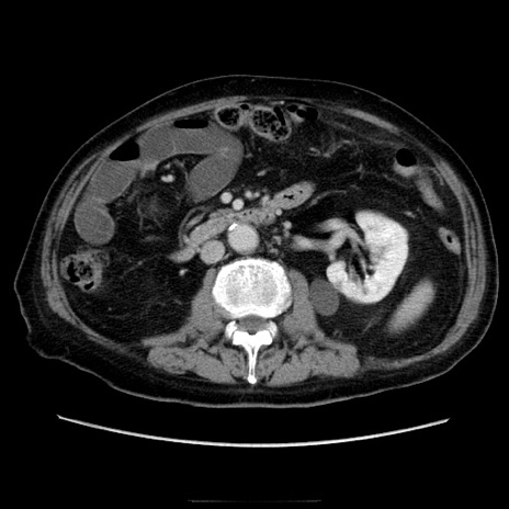
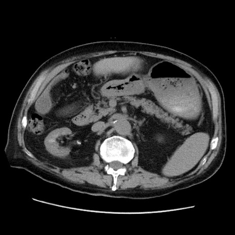
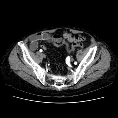
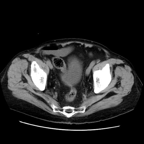
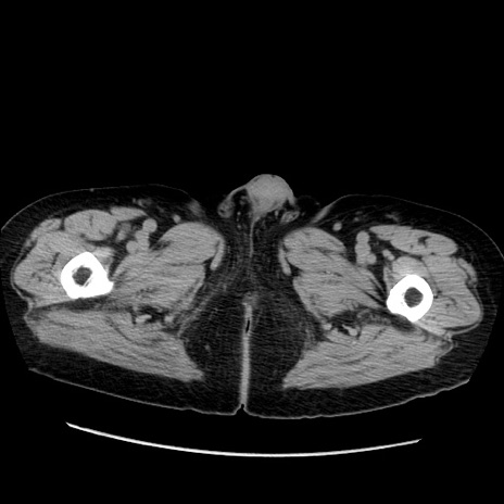
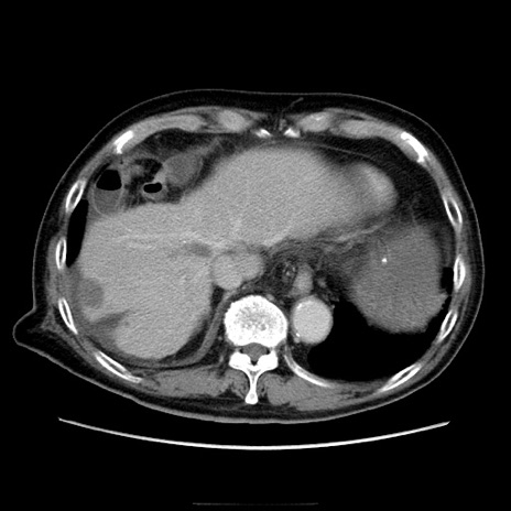
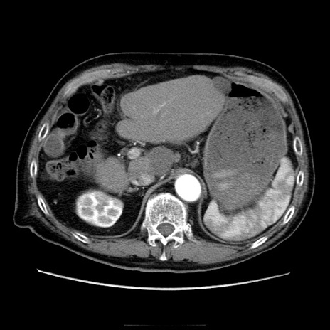
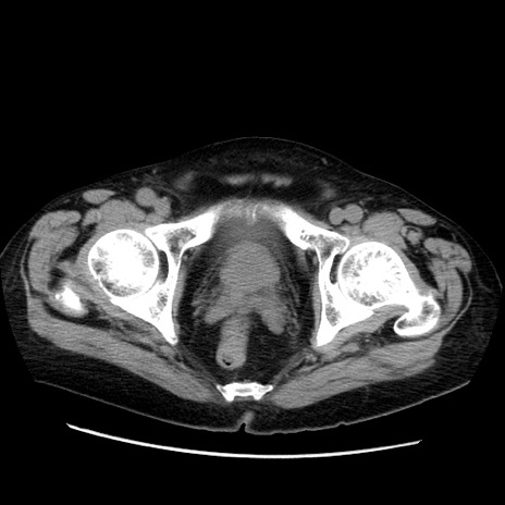
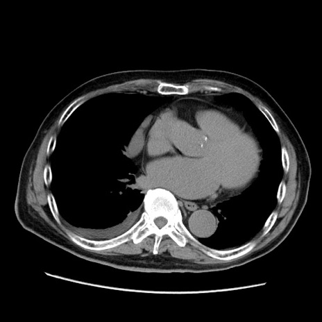
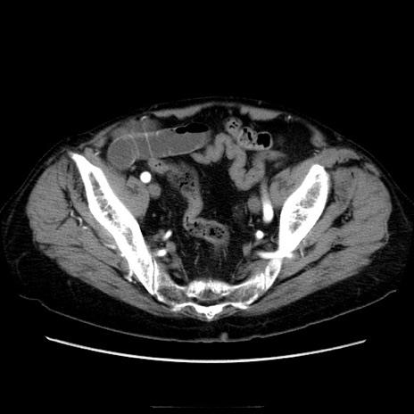
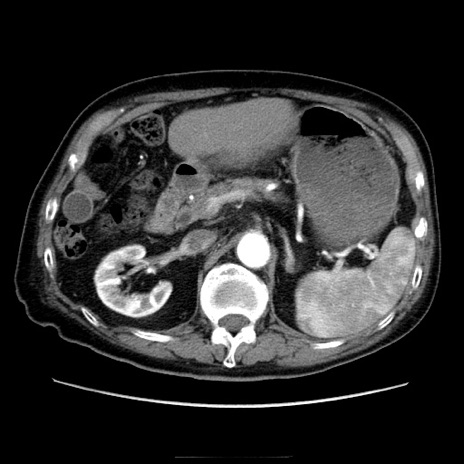
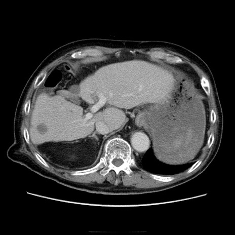
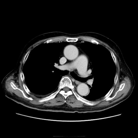
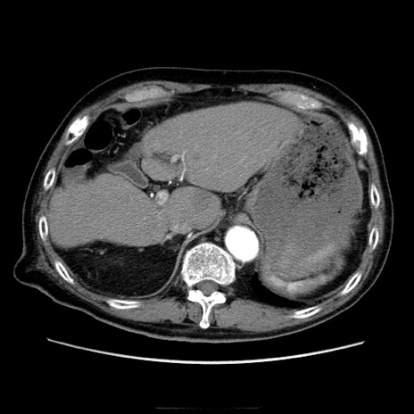
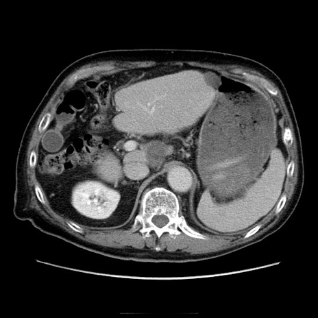
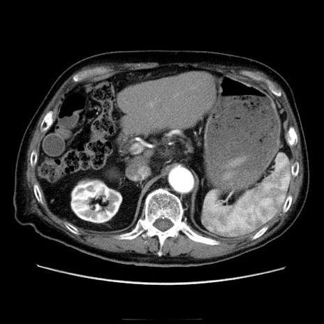
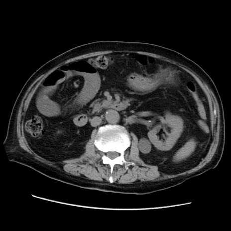
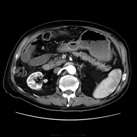
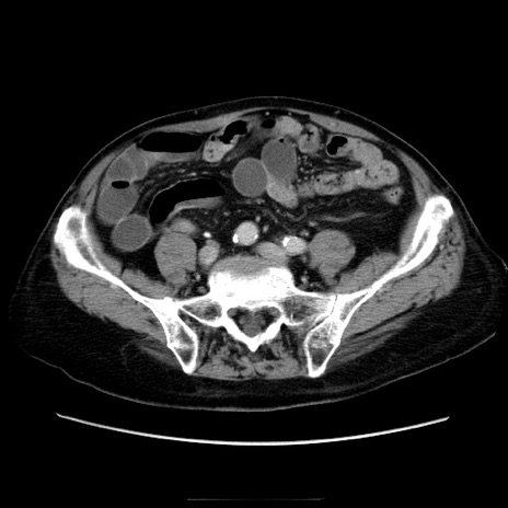
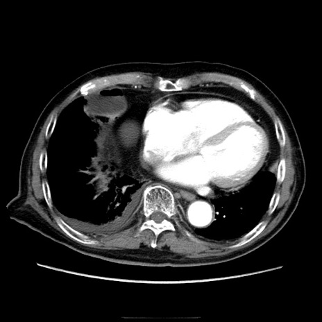
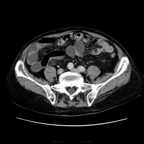
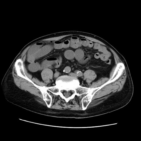
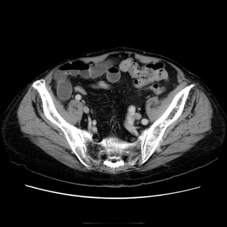
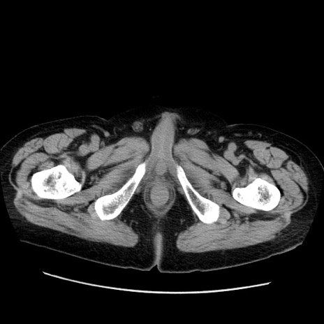
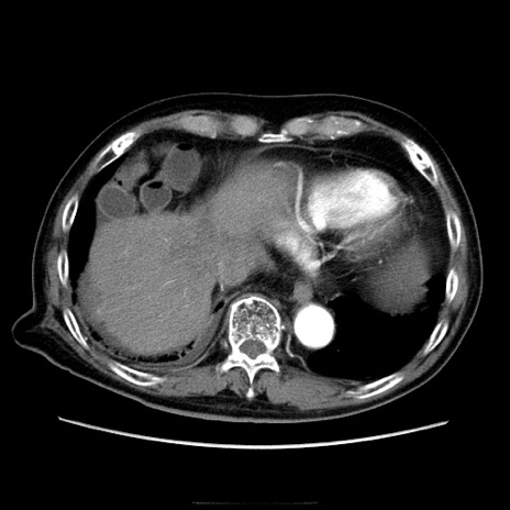
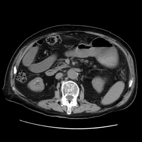
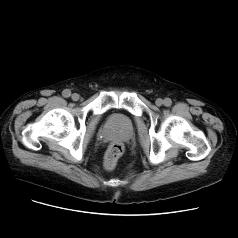
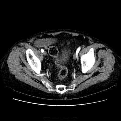
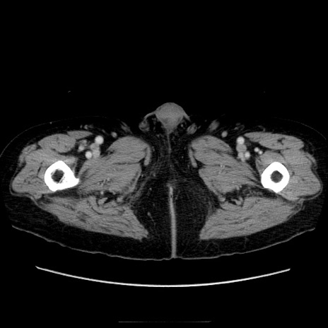
症例21(横断像)

 

症例

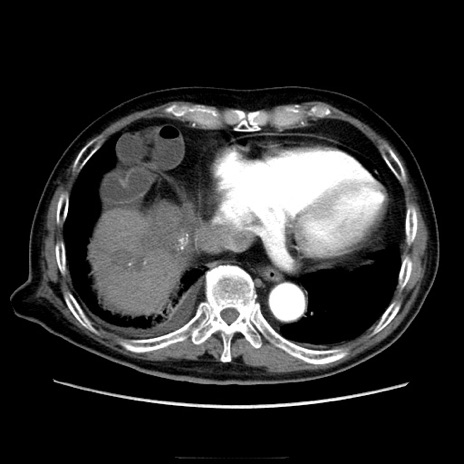
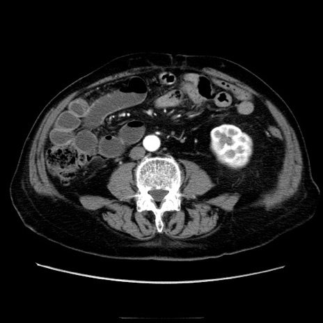
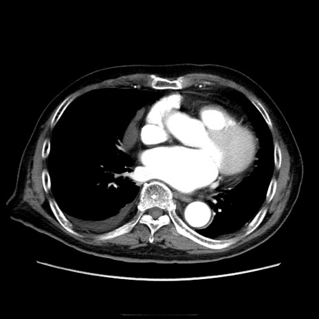
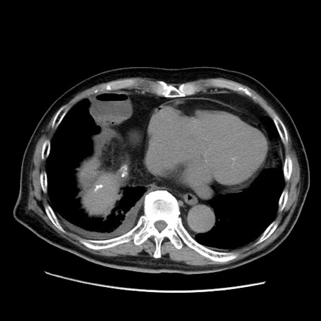
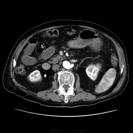
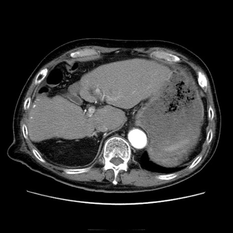
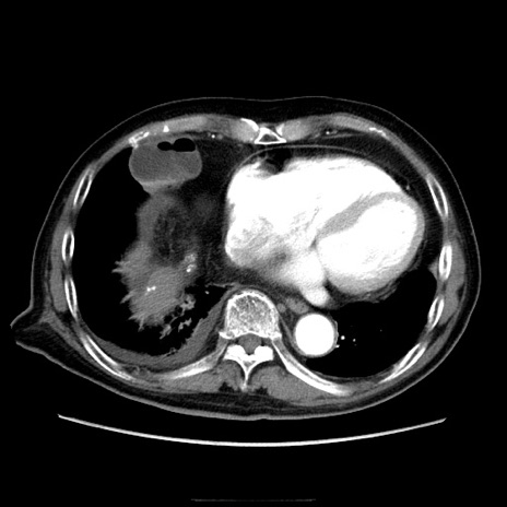
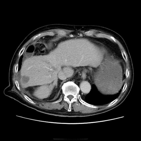
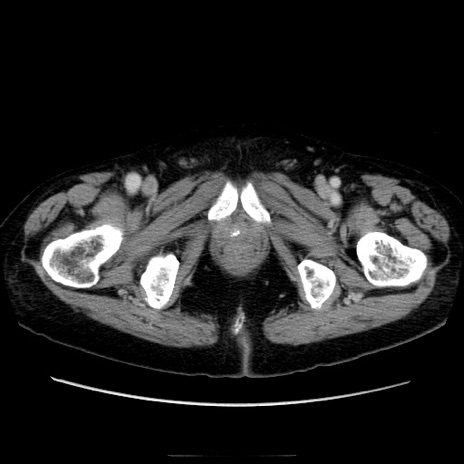
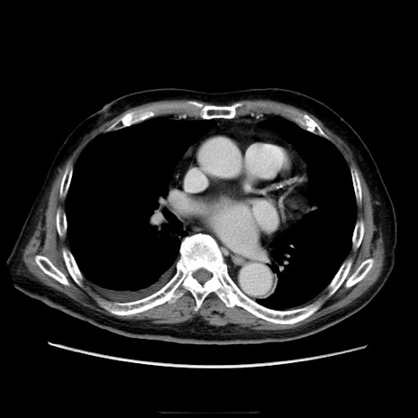
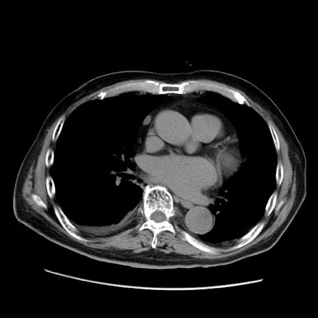
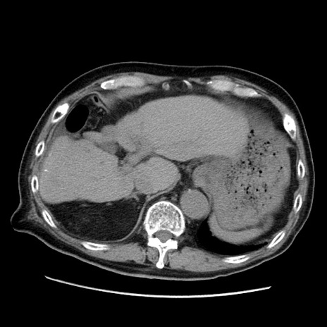
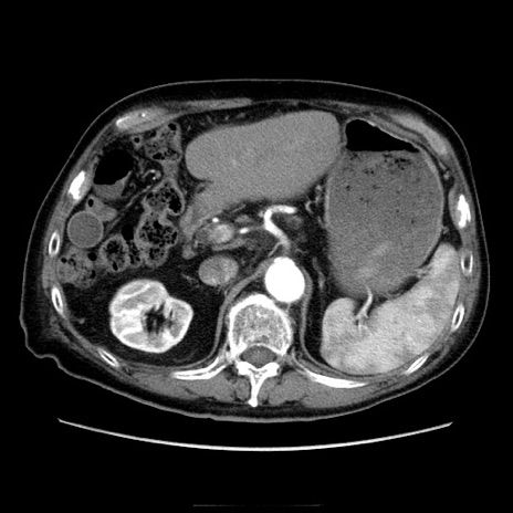
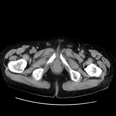
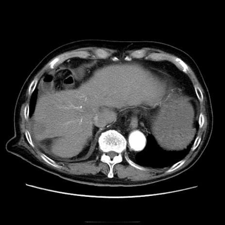
【症例】70歳代男性
【主訴】腹痛
【現病歴】肝硬変・肝細胞癌にてかかりつけの方。約9時間前に食後より腹痛出現。症状が徐々に増悪し、嘔吐出現したため来院。
【既往歴】肝硬変、肝細胞癌(RFA、TACE後)
【身体所見】意識清明、表情苦悶様、BT 36℃、BP 129/78mmHg、P 88bpm、SpO2 97%(RA)、右上腹部から心窩部にかけて圧痛あり、反跳痛なし、筋性防御あり。
【データ】WBC 5800、CRP 0.16

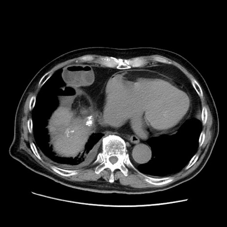
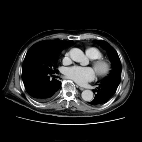
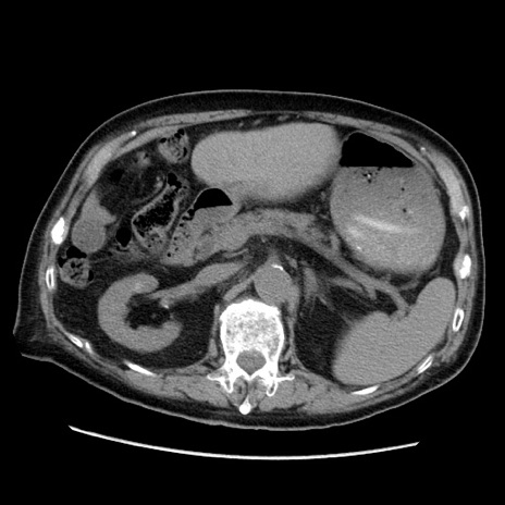
冠状断像